GINGIVAL RECESSION AND PERIODONTAL THERAPY
EARLY IDENTIFICATION IS KEY
MARGARET M. RUTHERFORD, RDH, and ROBERT A. LEVINE, DDS
At the heart of a successful dental practice is an educated, proactive hygienist, dedicated to providing more than a "cleaning and check-up." A more personalized level of care builds an ongoing, trusting relationship with patients while maximizing the potential for growth of the practice and patient retention. Many patients remain with their current dentist because of a good rapport with their hygienist.
Periodontitis is a chronic bacterial infection that damages the soft tissue and bone supporting the teeth. Early treatment is essential and, left untreated, can lead to tooth loss. Observational studies* have noted a possible association between periodontal disease and more serious problems such as cardiovascular disease; however, there is no definitive evidence at the present time that proves gum disease causes heart disease or that treating gum disease reduces the risk.1 As ongoing research continues to define how periodontal disease is associated to this and other health problems, good oral health is essential.
In our role as hygienists, we can improve patient care through early detection of potential problem areas involving breakdown of enamel, soft tissue, and bone. A hygienist can lay the ground work for case acceptance. When we evaluate and discuss with our patients their needs, we can help them to appreciate what is possible.2 From the identification of a specific problem to the education about potential treatment, a patient is more likely to say "yes" to treatment before the clinician walks into the operatory after a discussion with the hygienist. Our mission should include an evaluation of our patients for any issues that may eventually compromise their overall health.
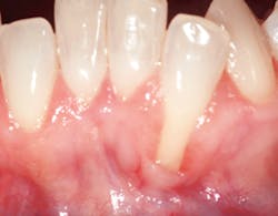
Identification of gingival recession can serve as a perfect example of how the hygienist can make a difference. This condition is a seemingly minor problem that many simply associate with esthetics. However, when patients have gingival recession with bleeding pockets it could be an open source of infection. Patients can have a healthy mouth and practice good oral hygiene and yet, still experience site specific areas of gingival recession. Most are not even aware of it. Areas of recession can be caused by toothbrush abrasion and trauma.3 All too often it is regarded as an unavoidable part of the aging process.
In some patients, areas of recession are stable based on previously documented measurements with no requirement for specific intervention or treatment . But with other patients, we know otherwise. Recession can lead to the exposure of the tooth's root surface, causing esthetic problems and sensitivity. Early diagnosis and treatment of gingival recession is important because the situation can worsen to where predictable root coverage isn't possible and esthetics become compromised. Many hygienists and clinicians see this problem in patients; however, they don't necessarily inform them so they could opt for treatment sooner. Correct initial diagnosis is key.4 The goal is to deliver optimal treatment outcomes and provide our patients with more predictable results.
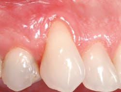
In our ongoing efforts to provide patients with the best standard of care, there are many products that are used to help the clinician, hygienist, and patient obtain optimal results. Straumann Emdogain when combined with a coronally advanced flap (CAF) is one such product. This product is a biology-based and scientifically proven solution designed to promote predictable regeneration of hard and soft tissues lost to periodontal disease for a natural-looking result.
Without the use of Emdogain, the periodontist performs a "periodontal plastic surgery" procedure in which connective tissue taken from the patient's palate is used to cover the exposed root. With the use of Emdogain, patients tend to have less pain and discomfort because there is no need for a second surgical site.5 Straumann Emdogain is designed to promote the regeneration of hard and soft tissues that anchor your teeth. When patients learn this, treatment compliance increases.
Prior to Emdogain, there was no tissue-stimulating protein on the market to regenerate the tissues and bone that support teeth. Today, over one million patients worldwide have been treated with Emdogain.**
Compared with traditional treatments, the use of Emdogain offers:
• Enhanced periodontal wound healing as reported by clinicians
• Less pain and discomfort5 for patients
Emdogain is designed to reverse recession naturally. How? In much the same way stem cells work to generate new cell growth, Emdogain uses proteins - which the body produces naturally - to regenerate lost gum tissue, bone, and the structures that anchor teeth to bone.6
Why Straumann Emdogain? Straumann has an affiliation with the International Team for Implantology in Basel, Switzerland, as well as philanthropic support of the National Foundation of Ectodermal Dysplasias, representing part of Straumann's commitment to research, science, and education. Through collaboration, they work closely with clinicians and researchers to provide evidence-based guidelines for diagnosis, referral, and treatment options.
The implementation of Straumann patient education materials and referral development tools has contributed to the growth of our practice. From customized eMarketing campaigns to letters educating patients on gingival recession to referral follow-up notes, these valuable practice-building tools have helped our practice continue to grow.
Don't let today's economic recession influence you when it comes to identifying gingival recession in your patients. Even in a weak economy, people want to look and feel good. Through the identification of dental problems and the education of treatment options, you can help your patients get the results they want and improve their overall health and well-being while providing them with a level of care that can enable them to obtain optimum dental health.
Creating a successful dental hygiene department does not happen by chance. What is needed is a commitment to new philosophies and a continual effort to implement new skills, materials, and treatment protocols. Treatment of gingival recession is just one way to do this. Don't let the next patient with gingival recession walk out of your operatory without options. With more than 400 clinical studies demonstrating its effectiveness and proven, long-term results,7 Emdogain is designed to give your patients the chance to reverse their recession before the esthetics of their smile could become compromised.
Special thanks to Mrs. Paula Chernoff for her excellent editorial skills.
REFERENCES
1. American Heart Association. Periodontal Disease and Atherosclerotic Vascular Disease. Retrieved May 24, 2012, from http://newsroom.heart.org/pr/aha/periodontal-disease-and-atherosclerotic-234243.aspx.
2. Levine RA, Shanaman RH. Translating clinical outcomes to patient value: an evidence-based treatment approach. Int J Periodontics Restorative Dent. 1995;15:187-200.
3. Levine, Robert A. "Aesthetics in Periodontics: The Subepithelial Connective Tissue Graft for Root Coverage: Report on 20 Teeth in 10 Patients." Compendium of Continuing Education in Dentistry, XII:8:568, 1991.
4. Amsterdam M. Periodontal prosthetics. Twenty-five years in retrospect. Alpha Omegan. 1974;67:8-52.
5. McGuire MK, Nunn M. Evaluation of human recession defects treated with coronally advanced flaps and either enamel matrix derivative or connective tissue. Part I: comparison of clinical parameters. J Perio. 2003;74(8):1110-1125.
6. McGuire MK, Cochran DL. Evaluation of human recession defects treated with coronally advanced flaps and either enamel matrix derivative or connective tissue. Part 2: Histological evaluation. J Periodontol. 2003;74(8):1126-1135.
7. McGuire MK, Scheyer ED, Nunn M. Evaluation of human recession defects treated with coronally advanced flaps and either enamel matrix derivative or connective tissue: Comparison of clinical parameters at ten years. J Periodontol. 2012 [Epub ahead of print].
* Observational studies are not designed to determine cause and effect - instead, they look at subjects to see if they have a relationship or association.
** Based on units sold.
ROBERT A. LEVINE, DDS, maintains a full-time private practice in the Philadelphia area, focusing on surgical implant placement, cosmetic oral plastic surgery procedures, and reconstructive and regenerative therapy. He is a clinical professor in post-graduate periodontics and dental implantology at the Temple University Kornberg School of Dentistry. Dr. Levine is a Diplomate of the American Board of Periodontology and a Fellow of the College of Physicians in Philadelphia. He has lectured extensively both nationally and internationally and has been featured on several local and national television and radio shows. Dr. Levine has authored over 60 articles and four book chapters. One of the pioneers of the "immediate load" revolution in dental implants, Dr. Levine is one of only a handful of periodontists nationwide who have been performing this procedure since 1994. His SameDay Smile allows patients to complete an implant surgery and leave the dental chair with beautiful, functional teeth in a single visit.
MARGARET M. RUTHERFORD, RDH, received her dental hygiene degree in 1982 from Northampton Community College in Bethlehem, Pa. She has worked in various dental practices over the years, including a year spent in a private practice in Switzerland. Her love for the specialty of periodontics led to her current position with Dr. Robert A. Levine at the Pennsylvania Center for Dental Implants and Periodontics in Philadelphia, Pa. She is also coordinator of the Greater Philadelphia Dental Hygiene Study Club, which serves to promote and implement continuing education courses for the area's hygienists and EFDAs. Dr. Levine founded the Greater Philadelphia Dental Hygiene Study Club in 2009 which currently comprises 80 members.




