Supernumerary Teeth
BY NANCY W. BURKHART, BSDH, EdD
Timothy is a 10-year-old African-American child arriving for a general maintenance appointment. His mother assists in giving you an appraisal of his health and past dental treatment. The past dental history appears to be insignificant except for limited dental care.
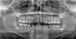
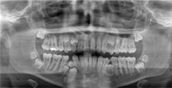
The presence of protrusive occlusion is noted in the extraoral examination. Upon taking a Panorex for the patient, you discover an increased number of teeth leading to a diagnosis of supernumerary teeth. It is suggested to the patient and parent that additional evaluation rule out other syndromes and disorders associated with multiple supernumerary teeth.
--------------------------------------------
Other articles by Burkhart
--------------------------------------------
A prophylaxis and home-care instructions are completed at the appointment. The patient is asked to consider an appointment with an expert in a local hospital, but the mother declines the invitation. During the appointment, the mother indicates that both she and her mother have a history of multiple supernumerary teeth. Since there are a number of genetic disease states that are associated with multiple supernumerary teeth, the dentist further encourages a complete evaluation for such diseases. In this case, the number of supernumerary teeth is significant (see Figure 1). Specific considerations for this patient would be cleidocranial dysplasia (CCD) and Gardner syndrome.
Although a diagnosis cannot be rendered, the patient is encouraged to seek further evaluation.
Definitions related to the
development of the teeth:
Several definitions pertain to the presence of teeth or the absence of teeth in the mouth (Neville et al.).
• Anodontia refers to the total lack of tooth development.
• Hypodontia refers to the lack of development of one or more teeth.
• Oligodontia indicates the lack of development of six or more teeth.
• Hyperdontia refers to an increased number of teeth, and these additional teeth are termed supernumerary.
• Supernumerary refers to the additional teeth beyond the normal number of teeth.
Supernumerary classification is recognized as the presence of more than 20 deciduous teeth or more than 32 permanent teeth in one individual, and this alteration in number is classified as odontogenic anomalies. The teeth may be multiple, unilateral, or bilateral, and some may be malformed while others appear normal.
Etiology - Some causes of the presence of supernumerary teeth are suggested in the literature, such as hereditary factors, disease processes, dichotomy of the tooth germ, excessive growth of the dental lamina, and atavism. Atavism refers to the recurrence in an organism of a trait or characteristic typical of an ancestral form and usually due to genetic recombination (Kumar and Gopal, 2013).
However, since multiple teeth can be found in addition to the normally found tooth, some authors do not believe this a viable explanation of supernumerary teeth since this is not reported in other mammals. The environment is believed to play a role in influencing the development of supernumerary teeth as well. The dental lamina is very sensitive to environmental influences and may be altered during development.
Typically, the disease states that have been associated with hyperdontia, and in some cases also with hypodontia, are the following:
• Cleidocranial dysplasia
• Gardner syndrome
• Anderson-Fabry disease
• Hallermann-Streiff syndrome
• Oral-facial-digital syndrome type 1
• Sturge-Weber syndrome
• Down syndrome
• Ehlers-Danlos syndrome
• Apert syndrome
• Crouzon syndrome
• Angio-osteohypertrophy syndrome
Additionally, other disease states/syndromes that are considered very rare are: craniometaphyseal dysplasia, Curtius syndrome, Ellis-van Creveld syndrome, fucosidosis, incontinentia pigmenti, Klippel-Trenaunay-Weber syndrome, Laband syndrome, Leopard syndrome, Nance-Horan syndrome, oral-facial-digital syndrome type III, and tricho-rhino-phalangeal syndrome.
The recognition of disease processes associated with those listed are usually not as definitive in a diagnosis as those found in Gardner syndrome and cleidocranial dysplasia since these two exhibit notable supernumerary teeth. Additionally, in Gardner syndrome, osteomas/odontomas may be apparent. Patients with cleidocranial dysplasia may exhibit as many as 50 teeth within a mixed dentition. Cleidocranial dysplasia and Gardner syndrome are at the top of a differential diagnosis with regard to delayed exfoliation, delayed eruption of permanent teeth, and multiple supernumerary teeth.
Cleidocranial dysplasia - CCD (previously called cleidocranial dysostosis) is transmitted genetically and is an autosomal dominant trait disorder. A parent is affected in most cases but in 40% of the cases, there is no known parent associated with cleidocranial dysplasia. CCD is caused by a deletion of genetic material on the short arm of chromosome 6 in region 21 (6p21). The CBFA 1 gene is a core-binding factor that plays a role in osteoblast formation and the differentiation of other cells necessary for normal bone development (Mundlos 1999) (DeLong, Burkhart 2013).
Without osteoblasts, there is no normal bone development. The individual is usually of short stature. Clavicles may be missing or underdeveloped. Scoliosis and frontal bossing may be observed to varying degrees. The disease produces a wide array of clinical features. The bones of the entire body may be affected, and the midface is often deficient, resulting in the appearance of the overdevelopment of the lower jaw. The palate is often cleft.
When viewed radiographically, the indications are often very clear with numerous supernumerary teeth present. Patients routinely have 10 or more supernumerary teeth that are producing crowding and preventing eruption of deciduous teeth. There is an obvious mix of dentition with this disorder. Another characteristic of the disorder is the lack of deposition of cellular cementum on the roots of the teeth.
To further complicate matters, there are cases reported in the literature regarding the presence of nonsyndromic supernumerary teeth. These cases present without any known associated diseases or syndromes. The patients are thought to have a genetic propensity toward supernumerary teeth. Khambete and Kumar (2012) present a case in which multiple supernumerary teeth were present and documented to extend three generations. Therefore, the practitioner must conduct a thorough evaluation of the patient to reach a conclusive diagnosis.
Gardner syndrome - The second differential diagnosis that is associated with numerous supernumerary teeth may be Gardner syndrome (familial adenomatous polyposis). This syndrome involves multiple supernumerary teeth as well as osteomas. This syndrome is an autosomal-dominant transmitted disorder. Gardner syndrome is highly penetrant, meaning that the patient who inherits the defective gene from a parent will normally show many, if not all, of the characteristic features (Delong, Burkhart, 2013).
The presence of supernumerary teeth may not be as numerous as those found in cleidocranial dysplasia. The skin, skull, face, and both hard and soft tissues may be highly affected with tumors and cysts. The recognition of this disorder is one that should be familiar to the practitioner and considered as a possibility especially when osteomas are present. Multiple odontomas and osteomas are a clue to this disorder and the mandible is the favored location for the osteomas and odontomas. The angle and ramus of the mandible are often involved, producing irregularly dense radiopaque masses on dental panoramic film that are not seen in any other disease process. Polyps in the intestines and rectum make the diagnosis of the disorder important since these polyps will eventually become cancerous with adenocarcinoma. The colon is usually prophylactically removed. The oral implications precede the development of the polyps found in the colon, so early intervention is crucial.
Treatment - Supernumerary teeth are often extracted or carefully monitored. The complications and considerations include disease states that are associated with this occurrence, development of cysts, pathology, crowding, delayed eruption, resorption of teeth, rotation of adjacent teeth, and diastemas. In consideration of associated disease states, there are often multiple causes, and there may be overlapping characteristics with other illnesses.
Assessing the clinical presentation, radiographs, histology, and careful questioning of the patient may provide enough information to narrow the considerations making a diagnosis possible. Referral to facilities such as clinics or hospitals that treat such patients is the best course of action.
As always, continue to ask good questions and always listen to your patients. RDH
NANCY W. BURKHART, BSDH, EdD, is an adjunct associate professor in the department of periodontics, Baylor College of Dentistry and the Texas A & M Health Science Center, Dallas. Dr. Burkhart is founder and cohost of the International Oral Lichen Planus Support Group (http://bcdwp.web.tamhsc.edu/iolpdallas/) and coauthor of General and Oral Pathology for the Dental Hygienist. She was a 2006 Crest/ADHA award winner. She is a 2012 Mentor of Distinction through Philips Oral Healthcare and PennWell Corp. Her website for seminars on mucosal diseases, oral cancer, and oral pathology topics is www.nancywburkhart.com.
References
Alvira-Gonzalez J, Gay-Escoda C. Non-syndromic multiple supernumerary teeth: meta-analysis. J Oral Pathol Med. 2012 May; 41(5): 361-6. doi:10.1111/j.1600-0714.2011.01111.x.Epub 2011 Nov 18.
Burkhart NW. Double teeth leads to differential diagnosis. RDH. 2010; 30(1): 46-47, 67.
http://www.rdhmag.com/articles/print/volume-30/issue-1/columns/8216double-teeth39-leads-to-differential-diagnosis.html
Burkhart NW. Mesiodens. RDH. 2014; 34(4): 78-79.
Delong L, Burkhart NW. General and Oral Pathology for the Dental Hygienist. 2nd edition. Lippincott, Williams & Wilkins. Baltimore 2013.
Khambete N, Kumar R. Genetics and presence of non-syndromic supernumerary teeth: A mystery case report and review of the literature. Contemp Clin Dent. 2012, Oct-Dec; 3(4): 499-502.
Kumar DK, Gopal KS. An epidemiological study on supernumerary teeth: A survey on 5,000 people. J Clin Diagn Res. July 2013; 7(7): 1504-1507.
Mundlos S. Cleidocranial dysplasia: clinical and molecular genetics. J Med Genet 1999;36:177-82.
Neville BW, et al. Oral and Maxillofacial Pathology. W.B. Saunders Co., Philadelphia. 61-63, 1994.

