Cancer drugs and ONJ
Dental hygienists must stay alert for drug-induced ONJ
BY LYNNE SLIM, RDH, BSDH, MSDH
This is my third consecutive column on a topic that is critical for dental hygienists to grasp. Comprehensive dental assessment by a dental hygienist and dentist prior to targeted cancer treatment is necessary, and many of the new cancer drugs have powerful, unwanted side effects, including osteonecrosis of the maxilla, mandible, or both.
Over the next 20 years, the overall cancer incidence is expected to increase by 45% between 2010 and 2030. About 70% of all cancers will be diagnosed in older adults, and 28% of all cancers will be diagnosed in minorities.
Denosumab injection (Xgeva) and IV bisphosphonates (both used to treat some types of cancer that cause bone damage) have been implicated in the pathogenesis of osteonecrosis of the jaws (ONJ). As a result of this correlation between these drugs and ONJ, there's continued uncertainty concerning prevention, management and resolution of directed treatments.1 The anti-angiogenic drug bevacizumab (Avastin) and the tyrosine kinase inhibitor sunitinib (Sutent), also cancer drugs, are associated with ONJ (based on case reports), but both of these drugs have too few cases and a low incidence to date of developing it.1
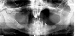
Medical diagnosis: Multiple myeloma
Drug therapy: Aredia 16 months; Zometa 14 doses
Dental treatment: Two months chlorhexidine gluconate and clindamycin. Root canal tooth #20 to avoid extraction. Patient was asked to avoid mandibular partial denture. Three-month hygiene recare with fluoride trays.
Photo courtesy of Drs. Robert E. Marx and Richard A. Kraut
Cancer patients receiving bisphosphonates or denosumab develop ONJ sooner, and it is typically more extensive and refractory to nonsurgical management, frequently requiring a more aggressive surgical treatment.1
In all cases of drug-induced ONJ, the following simple staging system is recommended:
• Stage 0 - Clinical or radiographic evidence of drug toxicity in the jaws (such as sclerosis of the lamina dura, widening of the periodontal ligament space, tooth mobility, or pain not explained by a more obvious cause.)
• Stage I - Exposed bone limited to one quadrant
• Stage II - Exposed bone involving two quadrants
• Stage III - Exposed bone involving three or four quadrants, the presence of a cutaneous fistula, osteolysis of the inferior border, or a pathologic fracture or, if in the maxilla, extension into the maxillary sinus1
Prevention Strategies for Cancer Patients
Medical oncologists should refer the patient to an experienced dentist or oral and maxillofacial surgeon for an urgent examination before beginning treatment with any drugs associated with ONJ. A close working relationship between the oral health-care professional and medical oncologist is advised.1,2
Pre-treatment dental care is necessary to reduce the need for invasive oral surgical procedures after cancer treatment begins and therefore lessen the chances of initiation of ONJ. In order of urgency, the following steps are recommended (as needed) by Marx and colleagues from the University of Miami, Division of Oral and Maxillofacial Surgery:1
1. Perform necessary tooth extractions and request from oncologist a two-month postponement of drug therapy, if possible. Partial bony impactions that represent a risk for pericoronitis should be removed. Fully covered impacted teeth are best left alone unless there is radiographic evidence of pathology.
2. Perform necessary osseous periodontal surgery as needed
3. Perform prophylaxis and non-osseous periodontal care
4. Initiate caries control measures and occlusal adjustment
5. Root canal therapy
6. Prosthetic appliances
7. Hygiene recare every three months
During drug therapy, the goal is to reduce the need for surgical trauma such as tooth extractions, osseous periodontal therapy, or root resection, etc., and to balance the occlusion so as to avoid these initiating factors for ONJ. During cancer drug therapy, abscessed teeth and tooth fractures that extend into the roots and certain surgical procedures may be required. In such cases, it is best to provide written informed consent concerning the relative risk of ONJ based on the cancer drug, dose, frequency, and length of time the patient took the drug as well as the degree of surgery required.
Common recommended dental treatment might include:
1. Root canal therapy that might require crown coverage or crown amputation, leaving treated root(s) in place
2. Splinting mobile teeth
3. Occlusal adjustment
4. Operculectomy
5. Caries control and restorative dentistry
6. Non-osseous periodontal procedures
7. The full spectrum of prosthetic appliances.
Surgeons should use extreme caution before placing dental implants in cancer patients during drug therapy. Observing bone remodeling in extraction sockets along with a long drug holiday of over two years should be considered in the decision-making process and informed consent is recommended.1
Management strategies and treatments options for ONJ remain focused on control/resolution of exposed bone and secondary infection and pain, if present, without significant interference with cancer treatment.
Jaw Resection
Resection of the necrotic bone in the mandible and maxilla may be required in many cases of IV bisphosphonates or denosumab-induced osteonecrosis of the jaws (DIONJ), but this surgery is reserved only for those patients with clear indications for resection and there are contraindications.
In the University of Miami database, 60% of cancer patients with DIONJ were effectively managed (infection control/pain free state) with exposed bone using 0.12 % chlorhexidine gluconate and systemic antibiotics.
In reviewing the 2014 position papers by Marx, Broumand, and Tursun from the University of Miami and the American Academy of Oral and Maxillofacial Surgeons (AAOMS), it is clear that clinicians must be vigilant in observing and reporting drug complications such as ONJ. Like Vioxx and Fen Phen that were linked to life-threatening side effects, complications from bisphosphonates, denosumab, bevacizumab and sunitinib were unexpected and not adequately addressed by drug companies even with Food and Drug Administration approval.
According to the Special Committee of the AAOMS, the number of osteonecrosis cases involving the maxilla and mandible is growing.2
Drug-induced ONJ (DIONJ) adversely affects the quality of a patient's life and produces significant morbidity. As 10,000 baby boomers reach the age of 65 each day, the incidence of cancer at about 70% between 2010 and 2030 will bring continued attention to these aforementioned drugs and their debilitating side effects. Dental hygienists can provide an even higher standard of care by adding DIONJ prevention and management to their collaborative, multidisciplinary care model.
References
1. Marx RE, Broumand V, Tursun R. University of Miami, Division of Maxillofacial Surgery. Position paper on drug induced osteonecrosis of the jaws. April 15, 2014. (unpublished)
2. http://www.aaoms.org/members/resources/aaoms-advocacy-and-position-statements/
LYNNE SLIM, RDH, BSDH, MSDH, is an award-winning writer who has published extensively in dental/dental hygiene journals. Lynne is the CEO of Perio C Dent, a dental practice management company that specializes in the incorporation of conservative periodontal therapy into the hygiene department of dental practices. Lynne is also the owner and moderator of the periotherapist yahoo group: www.yahoogroups.com/group/periotherapist. Lynne speaks on the topic of conservative periodontal therapy and other dental hygiene-related topics. She can be reached at [email protected] or www.periocdent.com.


