To disclose or not to disclose? Routine use of disclosing agents helps the dental clinician out too
By Karen Davis, RDH, BSDH
So, when is the last time you got disclosing solution all over your patient's lips, your lab coat, and even left a drop on the floor? Was it in school? Many dental hygienists gladly left messy disclosing solutions behind when they graduated, although there are a few die-hards out there who have used it in private practice from day one. I am not one of those; however, the wonderful world of disclosing deserves another look!
I consistently used disclosing solution on the really awful cases-you know, the "I'll show them" approach. But recently I have become convinced that I am a better clinician if I use disclosing solution routinely! If this is true for me, then it's possible it's true for the masses. What I've discovered is that when I can actually see the enemy during biofilm removal, I don't leave it behind-in nooks, crannies, pits and fissures, on restorative materials, the works.
The way I introduce or reintroduce the use of a disclosing agent to my patients is simple. I tell them I'm going to cover their teeth with a dye that accomplishes two things. It enables them to see what they are leaving behind, and it enables me to see where the enemy is so I can be thorough in removing it. That's easy enough, but what about the mess? I have good news-there is a simple way to manage that.
First of all, if you are not already covering your patient's lips with a lip conditioner prior to treatment, start there. It prevents the lips from drying out while the patient's mouth is open and suction is being used. The barrier also protects the lips from disclosing agents and dyes. Secondly, if you use a cotton swab saturated-but not dripping-to apply a liquid solution, it is easily contained and can be applied to the teeth only. Asking the patient to swish with water after applying the solution removes excess solution from the teeth.
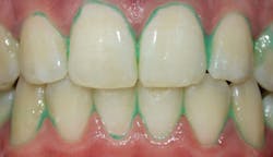
What type of disclosing agent should you use? Well, this is where a few things have changed. First of all, not all disclosing agents are solutions. GC America has a plaque-disclosing gel, called GC Tri-plaque ID, that reveals new, mature, and acid-producing biofilm. New plaque is disclosed as pink, mature is purple, and acid-producing biofilm is a light blue as seen in Figure 1. An interesting study examined the clinical benefit of this three-way disclosing agent in conjunction with caries risk assessments for children. The study revealed a correlation between an increase in purple and blue dye on the teeth and an increase in carious lesions.1
Figure 1: Tri-Plaque ID discloses acidic biofilm light blue. Photo courtesy of Pamela Maragliano-Muniz, BSDH, DMD.
Figure 2: F.L.A.G. fluoresces plaque biofilm with the Newtron LED light.
Figure 3: Plaque HD toothpaste discloses plaque left behind.
Acteon combines a novel method of disclosing and fluorescing plaque biofilm that relies on its Newtron B LED ultrasonic handpiece to fluoresce it. The fluorescent disclosing liquid, called F.L.A.G., identifies plaque bacteria and fluoresces with the handpiece's blue LED light as seen in Figure 2. Calculus does not fluoresce; it stains orange or yellow. HurriView and HurriView II are single-use, cellophane-packaged, prefilled Snap-N-Go swabs that contain either red dye or two-tone red and blue dy. With this you can quickly see what you're up against with biofilm management.
TePe makes PlaqSearch, a two-tone disclosing solution that stains plaque older than 12 hours blue and newer plaque red. Young Dental also makes a two-tone disclosing solution called 2Tone. This solution stains older plaque blue and newer plaque red.
A word of caution for dental hygienists who think they've seen a bottle of disclosing solution somewhere in the office and are now motivated to go find it. Start fresh and buy new! The shelf life on many of these agents is months, not years.
In an effort to improve daily plaque removal, Plaque HD toothpaste has incorporated a plant-based dye called Targetol. The dye adheres to plaque biofilm and leaves a brilliant teal color visible on surfaces with remaining plaque (see Figure 3). Patients could be instructed to use this at the beginning of a dental visit to see what they are leaving behind and where biofilm still remains. It is impossible to miss the brilliant teal color. A small-population clinical trial, recently published in the International Journal of Dentistry and Oral Science, reported a 51.3% reduction in visible plaque when brushing with Plaque HD compared to toothpastes without disclosing agents.2 If you haven't tried disclosing toothpaste yet, here's a warning: It can be a humbling experience the first time you brush with it.
To disclose or not-you get to decide. But rather than using any of these agents solely for the purpose of showing patients where they need to improve, I challenge you to use disclosing agents to see if you are more effective in removing the enemy when you can see it. If you aren't convinced, go ahead and perform your routine procedures and then disclose at the end of the appointment to see what you are about to leave behind! RDH
References
1. Jayanthi M, Shilpapriya M, Reddy VN, Elangovan A, Sakthivel R, Vijayakumar P. Efficacy of three-tone disclosing agent as an adjunct in caries assessment. Contemp Clin Dent. 2015;6(3):358-363.
2. Stevens K, Belavasky BZ, Evans CA, Viana G, Wu CD. Evaluation of plaque removal efficacy of a novel dye-containing toothpaste: a clinical trial. Int J Dentistry Oral Sci. 2016;3(1):185-189.
Karen Davis, RDH, BSDH, is the founder of Cutting Edge Concepts, an international continuing education company, and practices dental hygiene in Dallas, Texas. She is an independent consultant to the Philips Corp., Periosciences, and Hu-Friedy/EMS. She can be reached at [email protected].



