Areca nut and betel quid use
by Nancy W. Burkhart, RDH, EdD
[email protected]
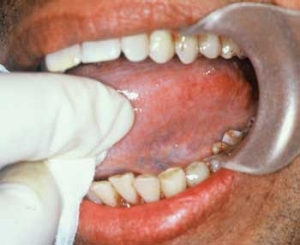
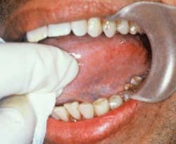
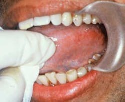
Your patient today is a 57-year-old male, Deepak. The new patient appointment (90 minutes) follows your usual protocol of a patient exam and treatment plan, radiographs, a thorough medical history, and prophylaxis. During the conversation with Deepak, you notice that his teeth are stained and they appear somewhat worn. During the exam, you also notice discoloration of the tissue in the vestibule especially, and you observe further white thick striations within the tissue. Recession is noted throughout. The tissue appears smooth and the striations appear to be intrinsic rather than extrinsic.
Figure 1: Submucous fibrosis noted with white striations.
You begin to search the possibilities for these observations and the etiology. As you question Deepak, you find that he has used areca nut and practiced betel nut chewing throughout his life. In this case, what you are observing is oral submucous fibrosis (SMF) resulting from chronic use of these products (Figure 1).
Figure 2: Quid. Note the red staining of the fingers with chronic handling of the product. Courtesy of Dr. A Ross Kerr, New York University College of Dentistry
The practice of betel chewing and areca nut use is documented around the world, but very common in countries such as India, Southeast Asia, East Asia, Pakistan, Bangladesh, Nepal, Sri Lanka, and parts of China, Taiwan, Melanesia, and the Pacific Islands. With more nationalities populating the United States, the possibility of seeing a patient who uses these products has become more commonplace. With travel to these existing locations, the opportunity for the United States youth to try these substances has increased as well and may further extend this practice locally.
Betel nut chewing is not only addictive over time, but is usually a ritual in most of these cultures. Cultural norms are not easily discouraged and even more difficult for individuals who are just becoming acclimated to a new culture here in the United States.
Arecoline is the substance found in areca nuts. Products are combined depending upon the geographic location and usually take the form of betel quid, which is a mixture of various products such as areca nuts, slaked lime (making the areca nut even more potent in releasing arecoline), tobacco, flavoring agents, etc.
The areca nut has a fibrous inner core that is chewed and produces a red color that is visible on the teeth. In recent years, chewing processed areca nut preparations available commercially has become popular with youth. The commercially prepared products known as gutkha/pan masala are marketed as freeze-dried preparations of areca nut in a powdered form. Some areca nut products may be chewed individually or combinations are placed in a vine piper betel leaf, wrapped and used as a quid (Figure 2).
These products are highly addictive, producing a sense of euphoria. With the added tobacco used by many consumers, the oral cancer risk is more increased with areca and tobacco combinations (see Figure 3). Users of these products can commonly be identified by the red/orange or brown intraoral pigmentation on the tissue and teeth. Over time, the wearing away of tooth structure from both chemicals and friction can be observed (Figure 4).
Bans in many locations such as India have not had any effect on the use of the products by youth. Most products are available online, making purchases easy for anyone – especially youth. Gutkha may have combinations of products and, since they have a very pleasant flavor, they appeal to younger individuals. An added element is the sense of euphoria that is produced as well, making cessation most difficult.
Depending upon the geographic location, individuals may also use betel and areca nut by chewing the product in addition to quid placement or as a separate habit. Some individuals may even sleep with the quid in place. In India, catechu, a product that is derived from acacia pods and poor quality areca nuts that are boiled or roasted in the sun, is another option available at low costs. The mixture is considered especially astringent due to the high concentration of tannin and even more so when mixed with lime that enhances the release of alkaloid from the areca nut.
Figure 3: Betel leaf with added products. Note the whole areca nut, slaked lime, tobacco, and flavoring agents. When rolled, it is called a quid.
The use of such products stimulates the production of collagen by fibroblasts, and chronic use of the substances causes a cross-linking of the newly formed fibers. The body cannot break these down and they continue to strengthen. The white striations that are visible clinically denote what is happening microscopically. The tissue goes through several stages of progression to the premalignant state of submucous fibrosis.
Figure 4: Note the pigmented tissue.
Stage 1: Generalized stomatitis – This stage may present with ulcers, erythema, and vesicles. Because of the pigmentation of the areca nut, the teeth become stained, and the staining usually promotes questioning by the dental professional in trying to determine the etiology.
Stage 2: Fibrosis – The accumulations of fibrous bands are noted within the collagen. A white striation is also noted clinically. The deeper tissues are affected and eventually the muscles of the oral cavity tighten. The fibrosis makes the mouth restricted and continues to tighten as the tissue changes progress. Movement of the tongue is restricted and speech may be affected. Over time, the lips, soft palate, esophagus, and the oropharynx are affected as well.
Stage 3: The SMF is classified as premalignant leukoplakia-type lesions.
With continued use, the teeth become worn from not only the chemicals but also from the chronic friction produced in chewing the products. Consumption is such a part of many geographic locations that it is a vital component of celebration when families gather for any occasion and is offered in many of the same ways that alcohol such as wine or beer may be offered to guests in the United States. Because of the cultural aspects, the use is often difficult to disassociate with celebration and lifestyle. This in addition to the highly addictive component may make cessation even more difficult than tobacco cessation. The dental practitioner should be well versed in behavior modification techniques.
The use of the areca nut causes several problems for patients in addition to the potential malignant state. The patients report:
- An inability to open the mouth, ultimately affecting movement of the tongue
- A burning sensation within the oral tissues.
The foods consumed by these populations are usually spicy and, again, this affects cultural norms because of reported burning when consuming spicy foods. Many types of treatment modalities have been introduced over the years from surgery to topical agents as well as physical therapy.
A systemic review was conducted recently (Kerr et al. 2011) suggesting research into various populations as well as clinical interventions for the various stages of submucous fibrosis.
Several new research studies have introduced some possible adjunct treatment modalities that may be considered. A research study by Rao used alpha lipoic acid, an antioxidant, in conjunction with intralesional steroids (betamethasone) and hyaluronidase. Alpha lipoic acid is able to scavenge more wayward free radicals than other antioxidants. The study treated two groups of patients who were diagnosed with SMF with one group receiving the added ingredient of alpha lipoic acid over a 3-month period. The group using the added component of alpha lipoic acid resulted in statistically significant improvements.
Other studies have suggested that both lycopene and curcumin may have benefits in precancerous lesions. The benefits of both antioxidant ability and anti-inflammatory capabilities have been studied and suggest an anticarcinogenic ability in oral cancer (Kumar, 2007).
The use of antioxidants, polyphenols and anti-inflammatory agents found in food groups is becoming more accepted and well-documented as potential anti-cancer adjunct therapy in many disease states.
As I have stated before: if your great, great grandmother would not recognize what you are about to place in your mouth, don't do it. Remember also: Do not feed yourself at the same place you feed your car. If you would not place a product in your mouth, do not put it on your skin!
As more individuals from varying cultures make the United States their home, dentists and hygienists need to be informed about the products used in other locations throughout the world so that clinical protocol may be considered in individual patient treatment.
As always, keep asking good questions and always listen to your patients.
Nancy W. Burkhart, BSDH, EdD, is an adjunct associate professor in the department of periodontics, Baylor College of Dentistry and the Texas A & M Health Science Center, Dallas. Dr. Burkhart is founder and co-host of the International Oral Lichen Planus Support Group (http://bcdwp.web.tamhsc.edu/iolpdallas/) and co-author of General and Oral Pathology for the Dental Hygienist. Her website for seminars is www.nancywburkhart.com.
References
Akhter R, Monsur Hassan NW, Aida J, Takinami S, Morita M. Relationship between betel quid additives and established periodontitis among Bangladeshi subjects. J Clin Periodontol 2008;35:9-15.
Burkhart NW. Submucous Fibrosis. RDH, July 2008. 28(7):92-94.
Kerr AR, Warnakulasuriya S, Mighell AJ, Dietrich T, Nasser M, Rimal J, Jalil A, Bornstein MM, Fortune F, Hazarey VH, Reichart PA, Silverman S, Johnson NW. A systematic review of medical interventions for oral submucous fibrosis and future research opportunities. Oral Diseases 2011 17:1, 42-57.
Kumar A, Bagewadi A, Keluskar V, Singh M. Efficacy of lycopene in the management of oral submucous fibrosis. Oral Surg Oral Med Oral Pathol Oral Radiol Edod 2007;103: 207-213.
Rao PK. Efficacy of alpha lipoic acid in adjunct with intralesional steroids and hyaluronidase in the management of oral submucous fibrosis. J Cancer Res Ther 2010 Oct-Dec;6(4):508-10.
Wright J. White lesions from DeLong L and Burkhart NW. General and Oral Pathology for the Dental Hygienist. Lippincott, Williams & Wilkins. Baltimore, Md. 2008.
Past RDH Issues




