Periodontal cases demonstrate how instrument design improves working conditions during treatment
By Akta Amin, RDH, BS
A hand injury is a predominant cause of pain and disability among dentists and dental hygienists. Various studies have been conducted on the relationship between operator ergonomics and different instrument sizes, shapes, and composition. One of the correlations to hand injuries may be due to the high pinch forces involved in periodontal work.
A study published in the Journal of Human Kinetics, examined the effect of the instrument surface texture and material on static friction with a wet gloved fingertip. The study reported that an increase on static friction, done by increasing surface texture and material, is a key factor in enhancing the constraint of the instruments under these conditions.2 The pinch forces required to perform scaling may be reduced by increasing the friction between the tool and fingers.2 Therefore, using a lighter instrument with a wider diameter and either having indentations of some kind or a silicone grip may aid in the reduction or prevention of upper extremity pain associated with dental hygiene procedures.
One of the many companies that produce instruments that cater to ergonomics is LM Dental. The LM ErgoMax instrument line has handles that are made with an alloy metal core and a lightweight structure that has a metal-to-metal connection enhancing tactile sensitivity. The outer layer of the instrument handle is made up of a high-friction silicone coating giving a diameter of 11.5mm. With this composition, according to the previous study, these instruments would be ideal from an ergonomic standpoint.
The following is the presentation of a periodontal case study utilizing these instruments throughout all treatments performed.
Background/medical history-Ms. D is a 25 year-old Hispanic single mother of a six-month-old infant. She has not had preventive dental care in the last four years. Ms. D has no history of any systemic diseases, over-the-counter or herbal medications. However, she is practicing birth control by having the Depo-Provera shot every three months since October 2014, and has seasonal allergies as well as to cat dander and nuts, putting her in an ASA II (see Figure 1).
Dental history-Ms. D had her last prophylaxis cleaning in 2011 along with an extraction of #19 due to large decay that was unable to be salvaged with endodontic care. Ms. D stated that she was putting off any dental care until after she was in a stable place after giving birth to her first baby six months ago.
Social history-Ms. D is a single mother of an infant and does not eat at set times. She recently graduated an online school with a bachelor's degree in business administration, and works part-time as a cashier at a local car wash.
Chief complaint-"I need a cleaning, and my gums bleed a lot when I brush them and that's why I do not floss because they bleed."
Vital signs-BP: 124/82 mm Hg; pulse: 68 BPM; respirations: 18 RPM.
Clinical Assessment Data
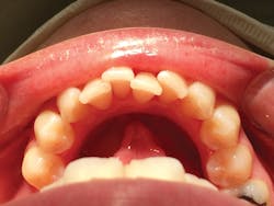
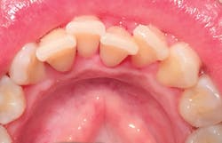
A complete clinical history was documented and several diagnostic assessments were performed, including full mouth radiographs, panoramic radiograph, clinical photographs and periodontal assessments (see Figures 2, 3, 4 and 5).
Extraoral/intraoral findings-Extraoral exam did not reveal any significant findings. Gingival description of the free gingiva had generalized areas of firm, coral pink, glossy papilla, which filled the embrasure space, along with localized areas of smooth erythematous, spongy edematous and bulbous tissue with rolled margins on facial/buccal and lingual surfaces of #1-3, 5-11, 14-16, and 22-27.
The attached gingiva had generalized pink with localized erythematous and stippling with the tissue firmly bound to bone. Ms. D admits she does brushes her teeth daily, at least twice a day, but does not use dental floss regularly. Ms. D is a tongue thruster and states she does sleep with her mouth open.
Radiographic findings-Radiographic interpretation shows generalized 1 mm to 2 mm of clinical attachment loss with localized areas of 3 mm to 4 mm of clinical attachment loss. Generalized horizontal bone loss is visible in the radiographs along with localized areas of vertical bone loss (Figures 2, 3).
Plaque/calculus findings-Ms. D had a plaque score of 58%, a bleeding score of 62%, and her marginal bleeding index was 40%.
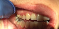
Periodontal assessment findings-Periodontal probing depths revealed generalized 3mm to 4mm with localized areas of 5mm to 6mm on posterior sextants of each arch. Recession measurements of generalized 1 mm with localized 2 mm on #23 and 25 on the lingual surfaces were noted (see Figure 4). It is important to note the presence of lower anterior dental crowding as a risk factor that favors bacterial plaque accumulation.12
Treatment Plan
Upon reviewing clinical findings with the patient and doctor, patient's periodontal ADA/AAP classification was determined as "generalized ADA II and AAP of slight chronic periodontitis with localized areas of ADA III and AAP of moderate chronic periodontitis plaque and calculus induced." Full-mouth quadrant scaling and root planing (with two quadrants at each visit and re-evaluation at four to six weeks) and continuous three-month periodontal maintenance was diagnosed along with other restorative needs, and a treatment plan was constructed.
After explaining the procedure along with the importance of the relationship between oral health and overall systemic health, the patient agreed and signed to give consent to begin treatment. Oral hygiene instructions were given to patient on brushing using the modified bass technique and flossing using the "c-shaped" flossing method.
Oral hygiene education-Oral hygiene instructions and aids were given to Ms. D to maintain her oral health. We reviewed the modified bass brushing technique, using a soft bristle toothbrush and explained to the patient the importance of being gentle on her gums while brushing. Since the third molars are present and difficult to get to, an end tuft brush was recommended for better access in keeping up with her oral hygiene.
Flossing was also an area where the Ms. D struggled, so we reviewed "c-shaped" flossing on a mouth model, and I had her demonstrate what she learned in her mouth, and guided her as needed. She was also instructed to rinse her mouth with warm salt water to help with the healing of any areas of tenderness post scaling and root planning.
Figure 1
Figure 2
Figure 3
Figure 5
Figure 6
Periodontal Debridement
Full mouth scaling and root planing was completed in two visits using local anesthesia. The anesthesia used was Lidocaine 2% with 1:100,000 epinephrine vasopressor, no adverse reactions were noted. A magnetostrictive ultrasonic scaler was utilized for removal of plaque and calculus in conjunction with LM Dental ErgoMax hand scalers.
First appointment-Vitals were taken and were within the normal ranges to proceed. Both extraoral and intraoral exams were done, and both findings were within the normal limits. Local anesthetic was administered with no adverse reactions.
The right side of the mouth, both upper and lower right quadrants had scaling and root planing performed using the ultrasonic scaler to breakdown any tenacious calculus prior to utilizing the hand scalers. Oral hygiene instructions and post-operative instructions were given to rinse with warm salt water, and continue to brush and floss daily.
Second appointment-Again, vitals were taken and were well within the normal ranges, and an extraoral and intraoral exam was done, with findings all within the normal limits. Local anesthetic was administered with no adverse reactions. The left side of the mouth, both upper and lower left quadrants had scaling and root planing performed using the ultrasonic scaler to breakdown any tenacious calculus prior to utilizing the hand scalers. Again, oral hygiene instructions and post-operative instructions were given.
Four-week re-evaluation-Patient returned for a four-week re-evaluation where the gingiva was observed, and any areas of bleeding were noted and re-scaled (see Figure 6). The gingival tissue showed great improvement; free gingiva was coral pink with a localized area of slightly erythematous rolled margin on #10-MB, firm papilla filled the embrasure space and showed slight stippling on the interdental papilla, the attached gingiva was pink and firmly bound to bone. Tooth #10 was re-scaled using the Micro Sickle due to its shorter working end that aided in the detection, adaptation, and removal of the residual calculus.
Oral hygiene instructions were given to further assist the patient with individualized home care, and patient was scheduled to be seen again in within three to four months.
Three-month periodontal maintenance-A periodontal maintenance cleaning was done three months post the initial scaling and root planing procedure. The magnetostrictive ultrasonic scalers along with the LM-Dental hand scalers were used to remove plaque and calculus.
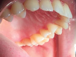
At this time, intraoral images and full mouth probing depths were done to monitor the overall periodontal health of the patient (see Figures 4, 7). Periodontal probing readings were generalized 2 mm to 3 mm with localized areas of 4 mm pocket depths on the posterior of the maxillary premolars and molars. There was a significant decrease from the 5 mm to 6 mm probing depths to the 3 mm to 4 mm around the mandibular/maxillary posteriors and the lower anterior facials. The patient was not compliant with flossing regularly and this may have contributed to the areas of interproximal bleeding with plaque and calculus formation.
Oral hygiene instructions were provided again using the patient's intraoral photos for comparison. In addition, the patient was instructed to demonstrate brushing and flossing with alterations that were made to provide the best outcome for the patient. Patient was happy and left in good condition and understands the importance of maintaining periodontal health.
Discussion
During the root planing procedure, the instruments I used for the posterior molars included: Gracey 12/13; Gracey 11/14 mesial-distal gracey curettes; and the Gracey 9/10 curette. I particularly liked the mesial-distal graceys, since I was able to move directly from the distal surfaces to the mesial without changing instruments on each respective buccal or lingual surface of the quadrants being scaled.
The Gracey 9/10 curette was used on the buccal and lingual surfaces of the posterior molars and premolars using the advanced instrumentation technique of "opposite end-toe down" or "horizontal technique." The instrument design contributed to allowing the ability to reach further subgingival and maintain great adaptation and angulation when approaching the line angles.
Due to the engineering of these instruments, in addition to enhancing tactile sensitivity, I was able to apply the indicated amount of lateral pressure to remove the more tenacious calculus without getting any flexing of the instrument. As a result, I did not need to overwork my hand to accommodate the flexibility of other instruments.
The Barnhart 5-6, was a great universal instrument used for the posterior region, the length of the shank allowed for an optimal reach to the molars. The Mini McCall 13S-14S was the preferred instrument I used when scaling the mesial and distal surfaces of the premolars along with the anterior dentition, having narrow and deep pockets with concavities. Subgingival insertion and adaptation was seamless due to the smaller and shorter cutting edge with a tapered tip.
Figure 7
Figure 8
The sickle scalers I used on Ms. D were the Sickle 204S and the Micro Sickle. Both were great for the anterior and posterior interproximal hard to reach areas. The Micro sickle worked really well on the anterior crowded region and was used on the removal of residual calculus found on tooth #10-MB at the four week re-evaluation appointment. It was preferred due to the size of the working end, 6 mm smaller than that of a traditional sickle scaler and 3 mm smaller than a mini sickle scaler.
The thinner tip and smaller size allowed for better subgingival insertion in areas where the gingiva was tightly adhered to the tooth and using traditional fulcrums I was able to get great adaptation and maintain shorter controlled working strokes that effectively removed the residual calculus. These scalers were used after the gracey curettes in the respective areas. Another instrument used was the Crane-Kaplan, which is a very strong, rigid and has a sharply angled cutting edge that aided in the removal of heavy supragingival calculus.
The handles of these instruments provided great tactile sensitivity and a non-slip grip, which aided in detecting residual calculus and effectively removing calculus without hand fatigue.
Conclusion
While using the LM ErgoMax instruments, the increase in tactile sensitivity and the lightweight of the instrument was significantly noted.
When selecting your instruments and focusing on weight, diameter, and tactile sensitivity, one can review the study in the Journal of Human Kinetics. This study states, the increase in the surface texture and diameter can decrease the pinch force,2 the high friction silicone coating on these specific instruments did indeed produce a non-slip grip during instrumentation and did not require an excessive pinch force, thereby reducing strain.
Along with the ergonomic features of the instruments, it is important to maintain good posture, proper fulcrums, correct patient and operator positioning, as well as use sharp instruments in order to get the best outcome for not only the oral health of our patients, but also to prevent injury and improve the longevity as clinicians in the profession of dental hygiene. RDH
Akta Amin, RDH, BS, is an instructor at Moreno Valley College Dental Hygiene Program in Moreno Valley, Calif. She teaches both clinical and didactic courses, including radiology, ethics, clinical dental hygiene, anesthesia laboratory, and nutrition. Amin practices clinical dental hygiene part-time in both general and periodontal offices. Amin is an active member of the American Dental Hygienists' Association (ADHA) and California Dental Hygienists' Association (CDHA) through involvement within her local component.
References
1. Simmer-Beck M, Branson BG. (2010). An evidence-based review of ergonomic features of dental hygiene instruments. Work. 35(4).
2. Laroche C, Barr A, Dong H, Rempel D. (2007). Effect of dental tool surface texture and material on static friction with a wet gloved fingertip. Journal of Biomechanics. 40:697-701.
3. Fehrenbach MJ, Weiner J. (2013). Saunders Review of Dental Hygiene. 2nd ed. St. Louis: Elsevier; 398-399.
4. Matsuda S. (2009). Instruments and principles for instrumentation. In: Wilkins EM, ed. Clinical Practice of the Dental Hygienist. 10th ed. Baltimore: Lippincott, Williams, & Wilkins; 619-622.
5. Nevela N, Sormunen E, Remes J, Soumalainen K. (2013). Evaluation of Egronomics and Efficacy of Instruments in Dentistry. The Ergonomics Open Journal. 6, 6-12.
6. Sancibrian R, Gutierrez-Diaz M, Torre-Ferrero C, Benito-Gonzalez M, Redondo-Figuero C, Manuel-Palazuelos J. (2014). Design and evaluation of a new ergonomic handle for instruments in minimally invasive surgery Journal of Surgical Research. 188;1:88-99.
7. Jacob S, Nath S, Zade R. (2012). Effect of periodontal therapy on circulating levels of endotoxin in women with periodontitis: A pilot clinical trial. Indian Journal of Dental Research. 23:6:714-718.
8. Tarannum F, Faizuddin M. (2010). Effect of periodontal therapy on pregnancy outcome in women affected by periodontitis. Journal of Periodontal Research.45:1-7.
9. Jimenez, M, Sanders A, Mauriello S, Kaste L, Beck J. (2014). Prevalence of periodontitis according to Hispanic or Latino background among study participants of the Hispanic Community Health Study/Study of Latinos. Journal of American Dental Association. 45(8)805-16.
10. Migliario M, Franchignoni M, Soldati L, Melle A, Carcieri P, Ferriero G. (2012). Ergonomic anaylsis of the handle of manual instruments for dental hygiene. Giornale italiano di medicina del lavoro. 34(2):202-6.
11. Dong H, Barr A, Loomer P, Rempel D. (2005). The effect of finger rest positions on hand muscle load and pinch force in simulated dental hygiene work. Journal of Dental Education. 69(4):453-60.
12. Renvert S, Persson G. (2004) Supportive periodontal therapy. Journal of Periodontology; 36: 179-195
13. Cobb C. (2002). Clinical significance of non-surgical periodontal therapy; an evidence-based perspective of scaling a root planing. Journal of Clinical Periodontology; 29 (supl 2): 6-16.
14. Doungudomdacha S, Rawlinson A, Walsh T, Douglas C. (2001). Effect of non-surgical periodontal treatment on clinical parameters and the numbers of Porphyromonas gingivalis, Prevotellaintermedia and Actinobacillus actinomycetemcomitans at adult periodontitis sites. Journal Clinical Periodontology; 28: 437-445.
15. Finsen L, Christensen H, Bakke M. (1998). Musculoskeletal disorders among dentists and variation in dental work. Appl ergon; 29(2):119-25.














