When public drinking water was first fluoridated in 1945, fluoride was hailed as the greatest public health advancement of the century.1 How, then, has fluoride become so villainized? Claims and counterclaims fuel the fires of controversy surrounding the safety of fluoridation, and the debate swirls on. Dental professionals should understand the many options for fluoride beyond community water. This article will examine the evidence for systemic and topical fluoride, its safety, and give clinicians tools for communicating with fluoride-hesitant patients.
Systemic fluoride
Prior to eruption, systemic fluoride ions replace hydroxyl ions inside the crystaline structure of the tooth as the tooth bud is forming. This is the foundation upon which water fluoridation is predicated. The tooth with incorporated fluoride is more resistant to decay. Fluoride, after being digested, is distributed to developing tooth tissues in children through the circulatory system. At this cellular level, it becomes incorporated into the enamel-forming ameloblasts. Exposing teeth at the preeruptive stage to systemic fluoride can improve the deposition of enamel in both quantity and quality. This may produce teeth that are more caries-resistant due to the formation of fewer pits and fissures and shallower grooves (hiding places for plaque); however, this claim is unsubstantiated.
Systemic ingestion of fluoride is no longer considered the principal mechanism of caries prevention.2 This is not to say that it is no longer necessary, but merely that the crystallization, preeruptively, of better-formed, more caries-resistant enamel surfaces is difficult to gauge.
In order to account for other caries-forming environmental variables (e.g., diet, genetics), one would have to compare teeth in the same mouth—that is, teeth subject to the same conditions. The nature of systemic fluoride makes this impossible. Therefore, it is not possible to state unequivocally that systemic fluoride has the benefit of forming decay-resistant teeth with better-coalesced occlusal surfaces.
This leads us to the hypothesis that systemic fluoride may not be necessary in the fight against caries, which can be used as an argument against dispensing it through community water systems. We are not able to conclusively prove that occlusal surfaces exposed to systemic fluoride pre-eruptively will form with shallower topography. With all the methods of topical application available, why continue to fight the battle? Why not let people choose to purchase fluoride in one of its other forms?
Water fluoridation
The fact that water fluoridation provides public health benefits that cut across socioeconomic strata is also an important consideration. The surgeon general reports that less than two-thirds of the US population accesses fluoridated water. The report continues to suggest that water fluoridation needs strong advocates because too many children are not receiving any other preventive dental care.3 Water, with the properly prescribed dosage of fluoride, comes into the house regardless of income, insurance coverage, or level of education attained by parents. Accessing professional dental care and purchasing fluoride products requires knowledge of the importance of these acts, as well as the ability to afford care. Where fluoride is naturally occurring or added in trace amounts, not to exceed safe recommended doses, it has a bacteriostatic effect on cariogenic organisms. At the proper concentration, it can repair or halt the advance of incipient lesions.
Topical fluoride
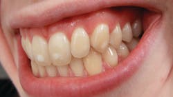
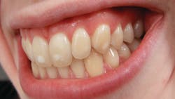
Topical fluoride sources include toothpaste, mouthwash, varnish, and gel. The effect of fluoride increases with its concentration. Recommended doses of fluoride intake are between .25 and .35 milligrams per day. Overdose can occur at 1.5 milligrams per kilogram per day.4 As is true of many pharmaceutical agents, too much of a good thing can be toxic. Ingesting slightly over the recommended dose of fluoride can cause fluorosis (figure 1), brown stain mottling, or a milder form of fluorosis commonly known as white spot lesions.
Products for use by high-cariogenic-risk patients can combat demineralization and prevent further destruction of tooth structures. Some products are supplied through in-office professional application while others can be obtained either by prescription or are available over the counter. Other uses of fluoride are relieving tooth sensitivity and as an adjunct to orthodontic treatment. The intended purpose of the product dictates the amount and type of fluoride. The concentration can vary from 1.45 parts per million to 5,000 parts per million. The efficacy can be evaluated as a direct ratio with the amount; the higher the concentration, the stronger the effect.
Remineralization
Remineralization using fluoridated products has recently been a hot topic for researchers. To assess the effect of Remin Pro, a Voco product, on enamel microhardness, extracted teeth were whitened with a bleaching agent to reduce hardness. They were then tested using Vickers hardness test. The use of the bleaching agent diminished the enamel hardness. These teeth were then treated with an application of Remin Pro, which increased hardness. The results consistently showed a statistically significant difference.5 Remin Pro improved the hardness and thereby the caries resistance of the tooth.
Many patients report increased tooth sensitivity after whitening treatments, which makes Remin Pro an excellent adjunct for dentists to recommend in conjunction with bleaching. Another study comparing products of differing formulations demonstrated that those using a hydroxyapatite-based paste demonstrated the greatest increase in enamel hardness.6
Remin Pro is a remineralizing, water-based cream that has a unique formulation of nano-hydroxyapatite, fluoride, and xylitol. The nano-hydroxyapatite fills the eroded enamel, fluoride seals the dentinal tubules, and xylitol acts as an antibacterial agent. It is recommended for the management of dentinal hypersensitivity, enamel demineralization, and to promote remineralization of enamel subsurface lesions.7 Remin Pro exhibited an increase in enamel microhardness compared to other home-use fluoride products and can be considered an effective remineralizing agent.7 Subsurface lesions, such as white spot lesions, that might have been caused by a mild case of fluorosis or be exhibited at the conclusion of orthodontic treatment show promising results with highly concentrated fluoride products.
The typical teen undergoing tooth realignment with traditional orthodontic treatment is not usually performing his or her best when it comes to home care. It is true that bands, brackets, and wires make it difficult to remove biofilm effectively. Orthodontic treatment often requires significant out-of-pocket expense and may not be covered by dental insurance. Parents may be alarmed by the resultant white spot lesions at the conclusion of treatment. Remin Pro is an effective agent in reversing this incipient damage to the enamel.
Insurance: adults vs. children
If fluoride products are so effective in combating decay, why is it that children are the main recipients in dental offices? That is a question for the insurance industry. Insurance companies cap fluoride treatments at different ages. Some will cover the cost up to age 15 and others until age 18.
An adult orthodontic patient complained to me about sensitivity since starting treatment. He was so discouraged that he was considering stopping treatment and having the appliances removed. I convinced him that his investment in his mouth via orthodontic alignment was certainly worth the additional cost of a professional fluoride application and the outlay for highly concentrated fluoride paste at home. At his next visit, he expressed gratitude for that advice and felt that fluoride would help him see his orthodontic treatment through to completion.
Conclusion
I once had a patient express her antifluoridation views this way: “I can fix cavities, but I can’t fix cancer.” When you are faced with such strong sentiments, facts do not matter to someone who believes that fluoride is a cancer-causing foe. Years of solid, rigorous scientific studies have shown that at the proper concentration, following manufacturers’ directions, there are no deleterious side effects to the proper use of fluoridated water and adjunctive products as aids to preventive dental care.
Caries still ranks as the number one childhood disease, which places fluoride and its anticaries effect strongly on the side of friend. Fearing scientific studies and government reports seems to be driving people into a state of emotional frenzy, while what we should fear is the alarmist, propagandist pseudoscience generated by fluorophobes without substantiating facts. The fact is, there is nothing mystical about the anticavity benefits of our friend, fluoride.
Editor’s note: This article is sponsored by Voco. Content has been reviewed for editorial integrity per RDH guidelines. For more information on RDH standards of editorial excellence, see rdhmag.com/page/submission-guidelines.
References
- The story of fluoridation. National Institute of Dental and Craniofacial Research. Reviewed July 2018. https://www.nidcr.nih.gov/health-info/fluoride/the-story-of-fluoridation
- Miller M, Truhe T. Fluoride: an update for the year 2000. Dent Today. 1994;13(10):34-41.
- The Face of a Child: Surgeon General’s Workshop and Conference on Children and Oral Health. May 2001. Proceedings available at: https://pdfs.semanticscholar.org/ff9e/bca994bd62069c0e6d7fadbd5615581abc4d.pdf
- Recommendations for using fluoride to prevent and control dental caries in the United States. Centers for Disease Control and Prevention. MMWR Recomm Rep. 2001;50(RR-14):1-42.
- Kamath U, Sheth H, Mullur D, Soubhagya M. The effect of Remin Pro on bleached enamel hardness: an in-vitro study. Indian J Dent Res. 2013;24(6):690-693. doi:10.4103/0970-9290.127612
- Thakur S, Darshana D, Hegde MN. Comparative evaluation of the effect of various remineralizing agents on bleached enamel surface: An in vitro study. J Pharm Sci Innov. 2016;4:324-328. doi: 10.7897/2277-4572.04671
- Jayashankara CM, Setty JKN, Kumar PS, Girish SA. Comparative evaluation of SHY-NM and Remin Pro on the microhardness of bleached enamel: An in vitro study. Int J Inf Res Rev. 2016;3(12):3464-3468.
Linda Hecker, MA, RDH, CDA, is the original director of the dental hygiene program at Rowan College at Burlington County, New Jersey. She recently retired after more than 40 years as both a clinical hygienist and educator. Her area of special interest is improving access to care for underserved populations.
About the Author

Linda Hecker, MA, BS, RDH
LINDA HECKER, MA, BS, RDH, is the original director of the dental hygiene program at Rowan College at Burlington County. She recently retired after more than 40 years as a clinical hygienist and educator. One of her areas of special interest is improving access to care for underserved populations.
