A moist environment for sealants
Pediatric office embraces technique for pit and fissure sealing in a wet field.
Pit and fissure sealants are a great advancement in preventive dentistry, and a major reason why today’s children can be cavity free. A sealant is a non-toxic liquid plastic material applied to the occlusal surfaces of posterior teeth to protect them from developing dental caries. Although sealants have been in use since the late 1970s, advancements in the chemistry of bonding materials have made them better than ever.
Until four years ago I used a technique described as the “super-sealant.” In this technique the tooth was pumiced and thoroughly rinsed, then a phosphoric acid etchant was applied for 15 seconds, followed by a thorough (15 to 30 second) rinse. The tooth was then isolated and air-dried until it appeared frosty. Isolation from moisture was essential to ensure successful placement and bonding of the sealant. A non-filled adhesive (Scotchbond Multipurpose, 3M) was spread in a thin layer over the occlusal surface. A filled sealant material (Fluoroshield, Caulk) was then flowed into the pits and fissure of the occlusal surface and light cured by halogen light for 30 seconds.
Sealants placed this way were very successful in preventing occlusal caries. A recent study by Folke, Walton and Feigel in the Journal of Pediatric Dentistry (Sept/Oct 2004) reported that teeth sealed with this technique 10 years ago had a success rate of 87 percent.
In the spring of 2002 I was asked to evaluate a new pit and fissure sealant (Embrace WetBond, Pulpdent). Since I was very satisfied with the results of my present technique, I was hesitant to test a new material that might yield inferior results. But when I was told that this sealant material was extremely effective in a moist environment and bonded to a slightly moist tooth, my interest was piqued.
Our private pediatric practice has two suburban locations and five dentists. We place approximately 6,000 sealants per year. One of the biggest problems pediatric dentists encounter when placing sealants is maintaining a dry field. We’re dealing with wiggly tongues, hyperactive lips and exaggerated gag reflexes. Any product that claims to work on a moist tooth is of definite interest to us.
Technique
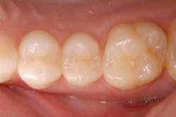
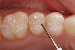
We followed the usual first steps with Embrace - pumicing, rinsing, and etching for 15 seconds with a phosphoric acid gel (Figures 1 and 2).
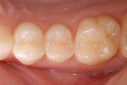
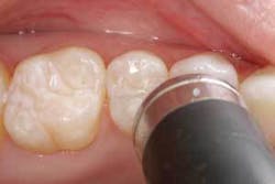
However, after the etchant is rinsed off, the occlusal surface is not desiccated. Rather, a short blast of air is applied or a cotton pellet is used to remove excess water, and the tooth surface is left slightly moist with a shiny appearance (Figure 3).
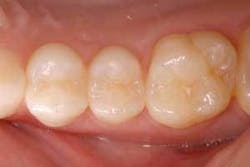
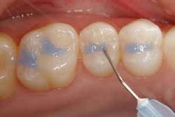
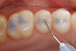
The bonding step is eliminated, which saves both time and money. Embrace WetBond Pit and Fissure Sealant is applied to the occlusal surface with either a small ball burnisher or the applicator tip supplied by the manufacturer (Figure 4).
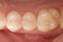
After the material is applied, it is light cured for 20 seconds with a halogen light or for four to six seconds with a fast curing LED light (Figure 5)
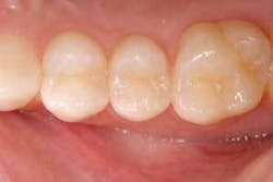
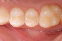
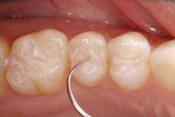
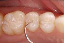
Our initial response to Embrace as a sealant material was extremely positive. The margins were silky smooth and undetectable, even with an explorer (Figure 6). The material appeared to actually integrate into the enamel, and there was no surface bubbling that sometimes occurred with our previous sealants. Furthermore, the fact that Embrace was moisture friendly made the whole process of placing a sealant faster and less technique sensitive.
My associates and I felt that we were able to provide a higher quality product in less time and with more comfort for our patients. The proof that this was a superior sealant, however, would require careful monitoring over a long period of time.
Independent longitudinal study
Thus, we embarked on an independent, longitudinal study of the Embrace sealants. Primary and permanent posterior teeth were selected for this study, provided they were non-carious and not restored. It should be noted that no patients were screened out of the study, regardless of the child’s cooperation, stage of eruption or difficulties in access and isolation. High-risk patients with poor oral hygiene and diets high in sugars and hard or sticky substances were included in the study. We examined each of our sealant patients at their regular preventive recall visits and checked the sealants for marginal integrity, presence of pits or bubbles, loss of sealant material or development of caries.
Longitudinal study results
Our results at six months, one year and two years were remarkably consistent. We analyzed 1,102 teeth that had been sealed with Embrace for two to three years. None of the teeth developed caries on the sealed surfaces; they were 100 percent caries-free. Ninety-five percent of the sealants had perfectly intact margins. They looked the same as they did the day we placed them. Five percent of the sealants had been repaired or replaced.
These results are very encouraging and demonstrate that the wet-bonding technique for sealing teeth with Embrace is very effective and clinically predictable for long-term success. Embrace WetBond Pit and Fissure Sealant appears to be an excellent choice as a pit and fissure sealant for our patients.






