Case Study Test
Joen Iannucci Haring, DDS, MS
A variety of topics were presented in the 1999 Case Study columns. The following 44 questions will allow you to review the year`s columns and determine your diagnostic skills. After completing the Case Study test, turn to page 30 to check your answers.
Case 1
Ameloblastic fibro-odontoma
The problem: Examination of the panoramic radiograph revealed a mixed radiolucent-radiopaque lesion. The lesion was seen in association with an unerupted tooth #3.
Ameloblastic fibro-odontoma
1. Identify the likely location for the ameloblastic fibro-odontoma:
- a. Maxilla more likely than mandible
- b. Mandible more likely than maxilla
- c. Equally possible in both maxilla or mandible
- d. Mandible only
2. Identify the likely radiographic appearance(s) of the ameloblastic fibro-odontoma:
- a. Unilocular radiolucency
- b. Multilocular radiolucency
- c. Dense radiopacity
- d. Either a or b
3. Identify the treatment for the ameloblastic fibro-odontoma:
- a. No treatment is necessary
- b. Radiation therapy
- c. Surgical removal
- d. None of the above
4. Identify the average age of an individual with an ameloblastic fibro-odontoma:
- a. 10
- b. 15
- c. 20
- d. 25
Case 2
Drug-related allergic mucosal reaction
The problem: Intraoral examination revealed a large, diffuse lesion. The lesion appeared to be erosive and ulcerated.
Drug-related allergic mucosal reaction
1. Identify the location(s) of a drug-related allergic mucosal reaction:
- a. Labial mucosa
- b. Buccal mucosa
- c. Tongue
- d. All of the above
2. Identify the precipitating factor(s) for a drug-related allergic mucosal reaction:
- a. Allergens
- b. Medications
- c. Exposure to heat or cold
- d. Any of the above
3. Identify the symptom(s) associated with a drug-related allergic mucosal reaction:
- a. Burning
- b. Pain
- c. Swelling
- d. Both a and b
4. Identify the type of medication that is used to lessen the symptoms of a drug-related allergic mucosal reaction:
- a. Antibiotic medication
- b. Corticosteroid medication
- c. Antihistamine medication
- d. Analgesic medication
Case 3
Cherubism
The problem: Examination of the panoramic radiograph revealed large bilateral, well-defined multilocular radiolucencies.
Cherubism
1. Identify the most common location for cherubism:
- a. Posterior mandible
- b. Posterior maxilla
- c. Anterior maxilla
- d. Anterior mandible
2. Identify the likely radiographic appearance of cherubism:
- a. Unilateral multilocular radiolucency
- b. Bilateral multilocular radiolucencies
- c. Unilateral unilocular radiolucency
- d. Bilateral unilocular radiolucencies
3. Identify the most common treatment for cherubism:
- a. No treatment required
- b. Surgical removal
- c. Radiation therapy
- d. Both b and c
4. Identify the average age at detection for cherubism:
- a. Five
- b. Seven
- c. Nine
- d. Twelve
Case 4
Dentin dysplasia
Dentin dysplasia
The problem: Radiographic examination revealed teeth with short W-shaped roots and obliterated pulp chambers
Dentin dysplasia
1. Identify the cause of dentin dysplasia:
- a. Heredity
- b. Developmental
- c. Infectious
- d. None of the above
2. Identify the appearance of a tooth affected by dentin dysplasia I:
- a. Normal crown / short roots
- b. Normal crown / long roots
- c. Abnormal crown / normal roots
- d. Any of the above
3. Identify the prognosis of teeth affected by dentin dysplasia I:
- a. Poor
- b. Excellent
- c. Depends on severity
- d. None of the above
4. Identify the color(s) of a tooth affected by dentin sysplasia II:
- a. Blue-gray
- b. Brown
- c. Yellow
- d. Either a or b
Case 5
Aneurysmal bone cyst
Aneurysmal bone cyst
The problem: Examination of the occlusal radiograph revealed a large well-defined radiolucency.
1. Identify the most common location for the aneurysmal bone cyst:
- a. Posterior mandible
- b. Posterior maxilla
- c. Anterior mandible
- d. Anterior maxilla
2. Identify the average age of a person with an aneurysmal bone cyst:
- a. 10 to 20
- b. 20 to 30
- c. 30 to 40
- d. Older than 40
3. Identify the treatment for the aneurysmal bone cyst:
- a. Surgical removal
- b. Radiation therapy
- c. Cryotherapy
- d. No treatment required
4. Identify which of the following is/are symptom(s) associated with the aneurysmal bone cyst:
- a. Pain
- b. Swelling
- c. Rapid growth
- d. All of the above
Case 6
Hand, foot, and mouth disease
The problem: Examination of the head and neck regions revealed enlarged superficial cervical and submandibular lymph nodes.
1. Identify the common location(s) for oral lesions seen with hand, foot, and mouth disease:
- a. Buccal mucosa
- b. Tongue
- c. Palate
- d. All of the above
2. Identify the virus that causes hand, foot, and mouth disease:
- a. Coxsackie virus
- b. Varicella zoster virus
- c. Herpes simplex virus
- d. None of the above
3. Identify the disease(s) often considered in the differential diagnosis for hand, foot, and mouth disease:
- a. Primary herpes
- b. Erythema multiforme
- c. Herpetiform aphthous ulcers
- d. Any of the above
4. Identify the treatment for hand, foot, and mouth disease:
- a. Palliative medications
- b. Antibiotic therapy
- c. Antifungal therapy
- d. No treatment required
Case 7
Hand, foot, and mouth disease
Polymorphous low-grade adenocarcinoma
The problem: Intraoral examination revealed a swelling, and palpation of the area revealed a firm, nonmovable, solid tumor mass that measured approximately 25 millimeters in diameter.
Polymorphous low-grade adenocarcinoma
1. Identify the most common location(s) for polymorphous low-grade adenocarcinoma:
- a. Hard & soft palates
- b. Upper lip
- c. Buccal mucosa
- d. Any of the above
2. Identify the cause of polymorphous low-grade adenocarcinoma:
- a. Excessive sun exposure
- b. Smoking
- c. Alcohol use
- d. None of the above
3. Identify the age range of a person with polymorphous low-grade adenocarcinoma:
- a. 20 to 40
- b. 40 to 50
- c. 50 to 70
- d. Older than 70
4. Identify the percentage of polymorphous low-grade adenocarcinoma cases that recur following treatment:
- a. 10 percent
- b. 25 percent
- c. 40 percent
- d. None of the above
Case 8
Basal cell carcinoma
The problem: The extraoral examination revealed on lesion that measured approximately 7 millimeters in diameter and exhibited a rolled and indurated border with a depressed, crusted center.
Basal cell carcinoma
1. Identify the common location(s) for basal cell carcinoma:
- a. Scalp
- b. Face
- c. Ears
- d. Any of the above
2. Identify the cause of basal cell carcinoma:
- a. Excessive sun exposure
- b. Fungal infection
- c. Developmental anomaly
- d. Unknown cause
3. Identify the typical age of a person with basal cell carcinoma:
- a. Under 25
- b. Over 40
- c. 15 to 25
- d. Any age group
4. Identify the treatment for basal cell carcinoma:
- a. Curettage
- b. Scalpel excision
- c. Laser surgery
- d. Any of the above
Case 9
Odontogenic keratocyst
The problem: Radiographic examination of the area revealed a well-defined cyst with corticated borders distal to the roots of tooth #31.
Primordial cyst / odontogenic keratocyst
1. Identify the most common location for the odontogenic keratocyst (OKC):
- a. Anterior jaws
- b. Posterior jaws
- c. Mandible more likely than maxilla
- d. Both b & c
2. Identify the radiographic appearance of the OKC:
- a. Unilocular radiolucency
- b. Multiple radiopacities
- c. Multilocular radiolucency
- d. Either a or c
3. Identify the treatment for the OKC:
- a. Radiation therapy
- b. Laser surgery
- c. Surgical removal
- d. No treatment
4. Identify the percentage of OKC cases that recur following treatment:
- a. 10 percent
- b. 20 percent
- c. 30 percent
- d. 40 percent
Case 10
Early onset periodontitis
The problem: Oral examination revealed shiny gingiva with a lack of stippling in the area of involvement.
Early onset periodontitis
1. Identify the most common area(s) of involvement for juvenile periodontitis:
- a. First molars and incisors
- b. Molars only
- c. Premolars and canines
- d. Any of the above
2. Identify the number of types of early onset periodontitis:
- a. One
- b. Two
- c. Three
- d. Four
3. Identify the age range for juvenile periodontitis:
- a. 12 to 32
- b. 15 to 42
- c. 25 to 35
- d. Younger than 15
4. Identify the average age of an individual with rapidly progressive periodontitis:
- a. 10 to 20
- b. 20 to 35
- c. 25 to 40
- d. None of the above
Case 11
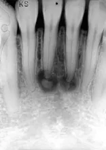
The problem: Radiographic examination revealed mixed lucent-opaque lesions around the apices of teeth #24 and #25.
Periapical cemento-osseous dysplasia
1. Identify the most common location for periapical cemento-osseous dysplasia (PCOD):
- a. Mandibular posterior
- b. Mandibular anterior
- c. Maxillary posterior
- d. Maxillary anterior
2. Identify the person most likely to develop PCOD:
- a. Middle-aged Caucasian female
- b. Middle-aged Caucasian male
- c. Middle-aged African-American female
- d. Middle-aged African-American male
3. Identify the symptoms associated with PCOD:
- a. Pain
- b. Swelling
- c. Numbness
- d. None of the above
4. Identify the recommended treatment for PCOD:
- a. Surgical removal
- b. Antibiotic therapy
- c. Curettage
- d. No treatment required
Joen Iannucci Haring, DDS, MS, is an associate professor of clinical dentistry, Section of Primary Care, The Ohio State University College of Dentistry.
Answers
CASE 1
1 = c; 2 = d; 3 = c; 4 = a
CASE 2
1 = d; 2 = b; 3 = d; 4 = b
CASE 3
1 = a; 2 = b; 3 = a; 4 = b
CASE 4
1 = a; 2 = a; 3 = c; 4 = d
CASE 5
1 = a; 2 = a; 3 = a; 4 = d
CASE 6
1 = d; 2 = a; 3 = d; 4 = a
CASE 7
1 = d; 2 = d; 3 = c; 4 = b
CASE 8
1 = d; 2 = a; 3 = b; 4 = d
CASE 9
1 = d; 2 = d; 3 = c; 4 = c
CASE 10
1 = a; 2 = c; 3 = a; 4 = b
CASE 11
1 = b; 2 = c; 3 = d; 4 = d















