Case Study
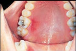
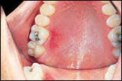
Oral examination revealed a red lesion on the hard palate of a 26-year-old male receiving routine dental treatment.
History
The patient stated that the red lesion on his palate had appeared three days earlier. He described the area as painful and claimed that both eating and drinking intensified the pain. The patient remembered burning the roof of his mouth while eating pizza a few days earlier. The patient denied any history of recurrent similar lesions. The patient's medical history was reviewed. No significant findings were noted. At the time of the examination, the patient was not taking any medications.
Examinations
Examination of the head and neck regions revealed no unusual or significant findings. Oral examination revealed one superficial erosion on the palatal mucosa adjacent to molars. The lesion measured approximately two centimeters by one centimeter in diameter (see photo). The lesion appeared red in color. Further oral examination revealed no other oral lesions present.
Differential diagnosis
Based on the clinical information provided, which one of the following is the most likely diagnosis?
- Aphthous ulcer
- Traumatic ulcer
- Thermal burn
- Chemical injury
- Morsicatio buccarum
Diagnosis
• Thermal burn
Discussion
A superficial burn of the oral mucosa is associated with thermal injury. Most burns of the oral mucosa can be classified as erosions. The erosion can be defined as a depressed lesion that results from the partial loss of mucosa. The erosion is a very shallow lesion because there is only incomplete, rather than complete, loss of the outer layer of oral tissue.
Clinical features
The thermal burn is associated with the ingestion of hot, sticky foods that adhere to oral tissues. Pizza and other foods topped with hot, melted cheese often are the cause of thermal burns. Hot liquids or foods that are unevenly heated in microwave ovens may also cause thermal burns. The microwave oven often is associated with thermal injury because it can produce food that is cool on the outside but extremely hot on the inside.
Thermal burns caused by hot foods are found most often on the tissues of the hard palate and posterior buccal mucosa. Thermal burns caused by hot liquids are likely to involve the tongue and soft palate. The thermal burn typically appears as an erythematous, superficial erosion. The size and depth of the lesion vary, depending on the type of food, the temperature of the food, and the length of time the food was in contact with the oral tissues.
A superficial sloughing of the oral mucosa may be seen around the periphery of the thermal burn. The patient with a thermal burn is typically able to identify the cause of the lesion. Most thermal burns become less painful after several days and heal within one to two weeks.
Diagnosis
The diagnosis of a thermal burn is made on a clinical basis. The diagnosis is established based on the history of injury to the affected area. If a thermal injury is suspected, pertinent questions must be asked concerning the ingestion of excessively hot foods or liquids.
Treatment
Treatment of thermal burns is quite variable. For extensive lesions with considerable pain, analgesics may be recommended. Most thermal burns can be treated with local, symptomatic therapy or palliative relief. Topical preparations may be applied to protect the lesion and allow the patient to eat and drink more comfortably. Over-the-counter products such as Zilactin® or Zilactin-B® (with 10 percent benzocaine) gel can be used to protect this lesion. When applied to the erosion, the Zilactin products form a tenacious adhesive film over the lesion that lasts for four to six hours and serves to protect the erosion from oral irritants.
Joen Iannucci Haring, DDS, MS, is an associate professor of clinical dentistry, Section of Primary Care, The Ohio State University College of Dentistry.

