Oral Pemphigus and Pemphigoid: Why are these conditions so hard to diagnose?
BY NANCY W. BURKHART, BSDH, EdD
Pemphigus vulgaris and mucous membrane pemphigoid are mucous membrane disorders that, like other mucosal disorders, can be difficult to initially diagnose. For many patients, the search for a correct diagnosis involves months or even years of anxiety and uncertainty.
One such patient is Becky Strong. She suffered for several years before obtaining an accurate diagnosis of oral pemphigus, even though she exhibited the oral lesions that are often an early symptom of pemphigus vulgaris. Becky and I are both affiliated with the International Pemphigus & Pemphigoid Foundation. Becky is a pemphigus vulgaris patient, and I am on the Dental Advisory Council.
------------------------------------------
Other articles by Burkhart
------------------------------------------
If you're not aware of it, you may be wondering, "What is the International Pemphigus & Pemphigoid Foundation (IPPF)?" The IPPF is a global organization dedicated to improving the quality of life of all people diagnosed with, or affected by, pemphigus or pemphigoid (P/P). The IPPF provides direct access to innovative and effective support, and it is a reliable source of information on P/P. I am proud to be associated with the IPPF as a member of its Dental Advisory Council, which includes an impressive list of hygienists, dentists, pathologists, oral medicine practitioners, and faculty and students from various medical and dental schools.
The IPPF recently launched an awareness website (pemphigus.org/awareness), built specifically with dental professionals in mind. The new website is the online home to the IPPF's Awareness Campaign, which is seeking to reduce diagnosis times of P/P. Kate Frantz, Awareness Program Manager, has organized the campaign around the slogan, "Put It on Your Radar."
The website has valuable information for both patients and dental providers, including access to peer health coaches, diagnostic resources, and clinical photos. There are opportunities to get involved with the organization, as well as a section for continuing education credits for dental professionals.
Understanding pemphigus and pemphigoid
What are pemphigus and pemphigoid (P/P)? What makes a diagnosis so difficult, and why are they confused with other disorders?
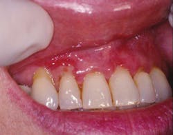
Pemphigus is a general term for a group of rare, autoimmune mucocutaneous diseases, with an established immunological basis, but unknown etiology. Pemphigus can be life-threatening. The two main types of pemphigus are pemphigus vulgaris (PV) and pemphigus foliaceus (PF). A key characteristic of PV is blistering that may occur orally. Oral practitioners may classify the appearance of PV and mucous membrane pemphigoid (MMP) as desquamative gingivitis or common types of oral ulcers, effectively misdiagnosing the patient. MMP may have the appearance of gingivitis and exhibit painful ulcerations and blisters.
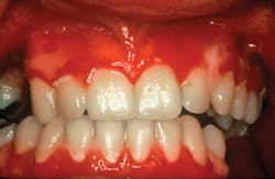
Desquamative gingivitis is a descriptive term and not a diagnostic term. Fewer than 50,000 people in the United States are affected, qualifying P/P as rare, ultra-orphan diseases. As with most autoimmune type diseases, women are affected more than men, with a mean onset of 50 to 60 years old. But both may occur in younger age groups as well (see Figure 1).
Several forms of pemphigus exist:
• Drug-induced pemphigus
• Endemic pemphigus
• Pemphigus erythematosus
• Pemphigus foliaceus
• Pemphigus vegetans
• Pemphigus vulgaris
• Paraneoplastic pemphigus
• Benign familial pemphigus (Hailey-Hailey disease)
Pemphigus features a separation of the epithelial cells caused by autoantibodies that attack a protein component of the desmosomes, which is the adhesion site between the epithelial cells. This protein component binds epithelial cells together in stratified squamous epithelium. Bulla formation and ulceration occur due to this separation.
Mucous membrane pemphigoid (MMP)
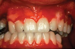
Mucous membrane pemphigoid (MMP) is a chronic, autoimmune, vesiculobullous disease. No contagion factors exist, it is rare in children, and our resources point to it generally affecting women more than men. Occurrences most often are diagnosed in the fifth decade of life with an increased incidence after age 70. The overall incidence is approximately seven to 10 new cases per million inhabitants per year. Antibodies that target the basement membrane and weaken the underlying attachment to the connective tissue cause MMP. MMP targets the gingiva and has the appearance of generalized gingivitis. When affecting the gingiva, MMP may be referred to using the descriptive term of desquamative gingivitis. As stated previously, the term is descriptive but not diagnostic (see Figure 2).
The gingiva may slough and exhibit a Nikolsky's sign. The skin, genitalia, anterior nares, eyes, rectum, and esophagus may be involved. Diagnostically, immunofluorescence will clearly identify MMP and PV, as well as rule out erosive lichen planus, erythema multiforme, discoid lupus erythematosus, and additional allergy type responses. The histological appearance viewed by using immunofluorescence and histological staining, will indicate sub-basal separation of the epithelium from the underlying connective tissue.
Figure 1: Oral pemphigus vulgaris
Becky's search for a diagnosis
I interviewed Becky Strong about her difficult journey to obtain a diagnosis and subsequent treatment. Becky is a nurse, and she also speaks to various groups of patients, dental students, and health-care providers about her diagnosis and treatment.
She found the process of obtaining a diagnosis to be time-consuming and exhausting, both physically and emotionally. Becky commented that, as a nurse, she had a difficult time finding the correct health-care provider to establish a diagnosis. She believes that, if she could not make sense of what was occurring, the average patient would be in a far worse situation.
She began to have oral ulcers in 2008, and could not explain them away. Her most memorable ordeal began in 2009. She had bouts of no detectable oral lesions, followed by bouts of painful oral lesions. Becky was examined by dentists, physicians, gastroenterologists, oral surgeons, and other health-care professionals, but didn't receive a definitive diagnosis until 2010. During this time, while trying to establish a diagnosis, she was given various medications and forms of treatment.
The one phrase that she heard many times was, "I don't know if this will help, but it certainly won't hurt." She describes the process of a diagnosis as "hit or miss" during the entire ordeal.
Becky commented that, at times, she felt as though she may be dying, and that the medical/dental community had failed to find what was causing her illness. She felt badly that her husband had been on this roller-coaster ride with her.
"He did not initially sign up for all of these issues," she said. She commented that "he told me later he thought he was watching his new wife as she was dying." Becky also said that her parents were worried for her, and she felt badly for them as well. Becky and her husband wanted to start a family, but her condition caused her much anxiety about potential problems for her baby. When she successfully became pregnant in 2014, her doctors followed her very closely for any complications to her and her unborn child.
The years of anxiety, frustration, fear, and total perplexity in the inability to obtain a diagnosis continue to amaze her. Becky feels that a more methodical approach by both dental and medical providers would have rendered a more timely diagnosis.
Considerations for your radar
Frantz (2014) lists some key recognition messages for dental hygienists. Practitioners should think of PV/MMP when there is a combination of multiple oral lesions, chronic lesions, primary lesions, and lesions that also occur outside of the mouth (skin surfaces). The lesions may also occur with minor trauma.
As the new slogan, "Put It on Your Radar," is being promoted, perhaps the consideration of both pemphigus and pemphigoid will be on your differential diagnosis list, if these relevant factors appear visible for your patient.
As always, listen to your patients and continue to ask good questions! RDH
References
1. Burkhart NW. Mucous membrane pemphigoid. RDH. 2007; 27(3): 66,67,114.
2. Burkhart NW. Oral pemphigus vulgaris. RDH. 2007; 27(4): 84,85,94.
3. Frantz K. Oral pemphigus and pemphigoid: The role of the dental hygienist. Access April 2014.
NANCY W. BURKHART, BSDH, EdD, is an adjunct associate professor in the department of periodontics, Baylor College of Dentistry and the Texas A & M Health Science Center, Dallas. Dr. Burkhart is founder and cohost of the International Oral Lichen Planus Support Group (http://bcdwp.web.tamhsc.edu/iolpdallas/) and coauthor of General and Oral Pathology for the Dental Hygienist. She was a 2006 Crest/ADHA award winner. She is a 2012 Mentor of Distinction through Philips Oral Healthcare and PennWell Corp. Her website for seminars on mucosal diseases, oral cancer, and oral pathology topics is www.nancywburkhart.com.


