Bleeding gums are not normal! Dental practice tries two-step home care product
Dental practice finds promising results with two-step home care product
By Lauren F. Gardner, RDH
You've probably heard your patients say: "My gums bleed, but that is just normal for me." Although gingivitis is an everyday occurrence in the dental practice, we don't want our patients to think of it as normal. They sometimes become so accustomed to minor bleeding when brushing their teeth that they don't consider it to be anything unusual.
If patients do become concerned-or annoyed-they turn to their hygienist for advice. I tell them to think of bleeding as an inflammatory response. Their gums are trying to fight off infection, and it's important to stop it and prevent it from recurring. Bleeding gums should not be taken lightly, as they may be associated with an underlying systemic condition.
It can be difficult to treat patients with gingivitis. For many years the main go-to treatment in addition to regular brushing and flossing has been a chlorhexidine rinse. While it is effective, there are drawbacks associated with its use-mainly tooth staining and an unpleasant taste, which can contribute to poor compliance. Because patients often present clinically with stained or yellowed teeth in addition to bleeding gums, we try to help them with both problems.
Crest Pro-Health HD is a daily two-step system that helps improve gingival health and also significantly whitens teeth-results that our patients notice right away.
The first step, used for one minute of brushing, is an anti-plaque and anti-gingivitis paste with high bioavailable stannous fluoride. The second step, used during the second minute of brushing, is a 3% hydrogen peroxide whitening gel. Patients should not rinse between the two steps.
At Mark Hyman Family and Cosmetic Dentistry, we prefer to use products that are supported by results we've seen among our own patients, as well as data from randomized, controlled clinical studies.
Case Study
We recently evaluated the use of Crest Pro-Health HD in some of our patients with gingivitis. We noticed substantial improvements. Gum inflammation and bleeding were significantly reduced, and the patients were happy with the improved whiteness of their teeth. Our patients reported that Crest Pro-Health HD was easy to use and had fast results.
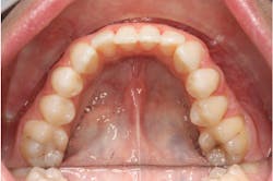
Matt (not his real name) is one of the patients who participated in the case study with Crest Pro-Health HD at our practice. He presented with moderate gingivitis and bleeding with minimal probing. Though he reported brushing twice a day, he had gotten out of the habit of daily flossing. His gums were red and moderately swollen, and he noticed that they frequently bled when he brushed.
We suggested that Matt participate in our evaluation of Crest Pro-Health HD because it is a solution that would be easy to use given his hectic schedule. As shown in the before and after photos, he had significant improvement in gingivitis after two months of using Crest Pro-Health HD. He indicated that he would switch to the two-step system because his mouth felt cleaner, his bleeding was reduced, and his teeth were whiter.
Another patient, Jennifer, is a college student undergoing everyday stress from school, and she takes medications that cause dry mouth. Stress, dry mouth, and the presence of moderate plaque can all be factors that contribute to her overall oral health. We noticed that she had generalized gingivitis even though she brushes two times a day.
We suggested Crest Pro-Health HD to improve her gingival health. She loved the whitening results after only a couple of days of product use, and she went from having red, swollen gums to pink, stippled gums with no bleeding. She gave the product the highest possible satisfaction rating.
Clinical Study Support
The results we're seeing with Crest Pro-Health HD in our practice are supported by numerous clinical trials conducted in larger groups of patients. Eight separate research presentations on Crest Pro-Health HD were presented at the 2015 General Session of the International Association for Dental Research. Several presentations are particularly relevant to our patients.
Six-fold improvement after one week. One of the studies reported on a clinical trial with 61 healthy adults, assessed as having gingivitis and stain, who were assigned to either Crest Pro-Health HD or a regular toothpaste.1 Subjects used the assigned product for one week and then were reassessed for gingivitis using the Gingivitis Bleeding Index and for extrinsic tooth stain using the Lobene Stain Index. Both of these measures are standardized scoring systems widely used in the industry.
In order to minimize bias, the examiner was blinded to patient treatment type. At the end of the one-week trial period, patients using Crest Pro-Health HD had a statistically significant-more than six-fold-improvement in both gingivitis and staining compared to the patients using regular toothpaste. Crest Pro-Health HD was well tolerated overall by patients assigned to that treatment group.
Significant improvement by objective measures. Another study described results from a clinical trial with 38 subjects assigned to twice-daily use of Crest Pro-Health HD or to a regular fluoride toothpaste and chlorhexidine rinse.2 The products were used for three weeks following a 14-day induced gingivitis period.
Changes in gingivitis and in tooth color were evaluated using digital image analysis by an evaluator who was blinded to study treatment. The use of digital imaging and blinded assessment allowed the study researchers to assess patients' results accurately and objectively. Twice daily brushing with the two-step paste and gel system resulted in similar improvements in plaque and gingivitis compared to regular brushing and chlorhexidine rinse use, but with significantly improved stain response for the two-step system.
Additional studies presented at the conference further reinforced the significant benefits of Crest Pro-Health HD in reducing plaque and gingivitis while providing tooth whitening benefits.
These results, from carefully controlled clinical trials, give us confidence in recommending Crest Pro-Health HD to our patients. Crest Pro-Health HD provides noticeable results, including reduced gingivitis and whiter teeth after as little as one week of regular use. Because Crest Pro-Health HD is an over-the counter product, it is widely available in places where our patients shop for oral care products.
At Mark Hyman Family and Cosmetic Dentistry, we've seen first-hand that Crest Pro-Health HD offers an effective solution to the common problem of bleeding gums-with the added benefit of whiter teeth. Sometimes I want to ask my patients, "If your hair bled every time you brushed it, would you think that was normal?" I'm sure they'd say no, and ask me what I recommend to reduce bleeding gums. My answer? "Brush twice daily with Crest Pro-Health HD and floss daily."
To learn more about Crest Pro-Health HD, visit dentalcare.com/rdhhd. RDH
Lauren F. Gardner, RDH, is a dental hygienist and treatment coordinator at Mark Hyman Cosmetic and Family Dentistry in Greensboro, N.C. She is excited to work with a team of compassionate and dedicated professionals who provide exceptional care to their patients.
References
1. Amini P, Anastasia MD, Sagel PA, Gerlach RW. 1-Week Effects of Paste/Gel Sequence on Gingivitis and Stain. Presented at: IADR/AADR/CADR 93rd General Session, March 11-14, 2015, Boston MA, USA. Abstract #1642. Available at: http://www.dentalcare.com/media/en-US/research_db/pdf/iadr/2015/2015IADRPAmini1642.pdf
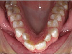
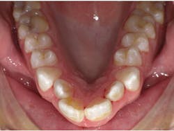
Before: A patient presented with moderate gingivitis and bleeding with minimal probing. Although the patient reported brushing twice daily, gums were red and visibly swollen. Photos courtesy of Dr. Mark Hyman and Lauren Gardner, RDH
A
B
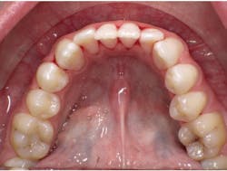
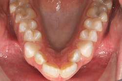
After: After two months of using Crest Pro-Health HD, the patient reported significant improvement, including less bleeding, visibly whiter teeth, and an overall generally cleaner-feeling mouth. Photos courtesy of Dr. Mark Hyman and Lauren Gardner, RDH
A
B
2. Gerlach RW, Rubush ME, Barker ML, Terezhalmy G, Archila L. Concurrent Image Analysis of Gingivitis and Whitening with Two-Step Paste/Gel. Presented at: IADR/AADR/CADR 93rd General Session, March 11-14, 2015, Boston MA, USA. Abstract #1644. Available at: http://www.dentalcare.com/media/en-US/research_db/pdf/iadr/2015/2015IADRWinston293.pdf




