Tongue-Thrust Swallow
by Connie L. Sidder, RDH, BS
Early recognition of a child with a tongue-thrust swallow can ward off orthodontic failure, speech impediments, and sleep disorders. Swallowing correctly is something most of us take for granted. Tongue-thrust swallowers usually are not aware they have a problem until it is pointed out to them.
A person will swallow 800 to 2,000 times in 24 hours. During each swallow, the tongue will exert one to six pounds of pressure on the surrounding structures. A tongue-thrust swallow can cause deformities, while a normal swallow does not.
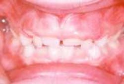
In a normal swallow, the tongue is on the roof of the mouth behind the front teeth with the lips closed and teeth lightly together. No pressure is transferred to the teeth or jaws. The tongue-thrust swallow is characterized by the tongue being thrust between the front teeth with the lower lip and chin showing contraction. (Okay, everyone swallow.) The results of this abnormal swallow are an anterior open bite and retruded lower jaw. It affects the muscles of the face and neck and has repercussions on breathing by forcing the child to breathe through the mouth, rather than the nose.
In reviewing my school textbook, "Clinical Practice of Dental Hygienists," by Dr. Esther Wilkins, there was no reference for tongue thrust swallow. Yet orthodontists often consider this the biggest challenge they face. Unless the problem is corrected, orthodontic treatment is more likely to fail.
Recognizing a tongue thrust in a child can save years in orthodontics. All infants begin with a swallow in which the tongue goes between the gums. Remember that first solid food feeding? The baby would first push the food back out of the mouth! This is all part of normal development. The child is learning how to "work" the spoon-fed food back with the tongue. Most children will learn proper tongue movement naturally. But if they don't by age seven, then intervention becomes necessary.
There are telltale signs of a tongue-thrust swallow to help the hygienist. First, the patient licks his lips before swallowing. Also, if you were to grasp the lower lip of a suspected patient, you could observe the tongue thrusting forward and the difficulty the patient has in swallowing because the muscles of the lower lip are involved in the swallow. The tongue thrust swallower is often a thumb sucker (or past sucker) and has an anterior open bite. In extreme cases, it appears that the maxillary central incisors are not descending. Often, the protrusion of the upper teeth affects the child's speech.
Early detection is important in treating the tongue-thrust swallow. Yet debate continues over the "best" time to treat as well as who should treat. The two ways tongue thrust can be treated are by an orthodontist or by a speech pathologist. Speech pathologists recommend simple treatments for children as young as three years of age, offering exercises that are taught and repeated many times a day. For example, one exercise may require the patient to hold a cough drop on the tongue while swallowing. Speech pathologists say they have the most success with patients younger than eight years old. The treatment time usually lasts from a few weeks to a few months.
Orthodontists feel that simple tongue thrusts are corrected during orthodontic treatment, when realignment of the teeth helps the tongue to reposition. However, a number of cases require appliances to correct the swallow for the orthodontics to work. One appliance is a positioner that blocks the tongue from thrusting. It is removable, but should be worn a few hours a day and during sleep. Another tongue-habit device is a metal, fixed appliance called a "crib" or "fangs, which is worn 24 hours a day.
A tongue-thrust swallow can be treated successfully. The speech pathologist to which I refer patients has done a good job in correcting the problem before orthodontics. Being able to identify the tongue thrust swallow patient at an early age helps in alerting the parents to various treatment options. The older the child, the less likely speech pathologists are able to help and the possibility that orthodontics will fail. Keep this in mind when treating young children. Your observations can save them time and money.
Connie L. Sidder, RDH, BS, is based in Fort Collins, Colo. She can be reached by e-mail at [email protected].

