Ergonomic challenges
Occupational injuries threaten to derail a career before it starts
by Jessica Bosch, BS, RDH
When I was a young girl, my father told me to "sit up straight." When I was a dental assistant, the dentist would poke me in the middle of my back and say "stop slouching" as he followed me down the hall to my patient's operatory. I have struggled with posture for as long as I can remember. I knew I would not be able to improve my poor postural habits through willpower alone.
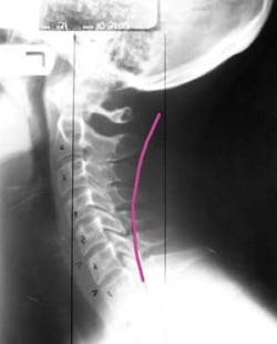
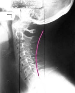
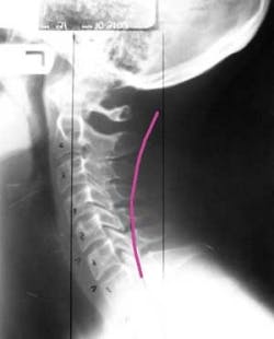
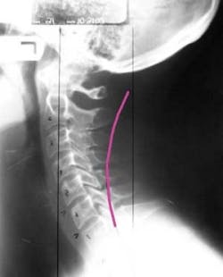
Radiograph taken of the author's spine in 2005. The pink line indicates where her vertebra should have lined up.
First, I sought the help of a chiropractor who obtained radiographs of my cervical spine. What we discovered shocked and alarmed me. I was already starting to lose the natural curvature of my spine and compromising nerves and disks, and I was only 20 years old.
Unable to maintain chiropractic treatments three times per week, I turned to physical therapy. This time, I hoped I could become educated about physical therapy exercises that could be done at home to improve my condition. I enjoyed the stretches and exercises I was learning and they did help with the back pain. But over time, I lost interest and fell back into my old ways.
A fellow student commented to the author, "You could place a glass of water on the back of your neck."
In the fall of 2009, I was accepted into the Montana State University College of Technology dental hygiene program. Throughout the entire program, I continued to struggle with posture and back pain. By my final semester, I could do little more than lie on the couch after clinic because of upper back and neck pain. I purchased magnification loupes and a light, hoping it would help. They did help, but I still had poor posture.
A homework assignment
During my final semester, we were given an assignment called the "senior learning contract." This gave me an opportunity to pick the areas I struggle with the most, create goals and objectives, and to monitor my progress throughout the semester.
I knew exactly what I wanted to focus on.
The truth is that no matter how capable I was or could become, my dental hygiene career would end prematurely due to ergonomic issues and back pain. My goal was to prolong not only a career, but also a healthy life.
To monitor my progress, I noted in a journal each day of clinic the level of pain perceived and asked other students to photograph me so I could evaluate my posture. I set objectives, including completing my prescribed physical therapy stretches daily.
What I discovered was that my pain significantly decreased by midterms. But my photos were terrible. I was appalled by my poor posture. By writing in the journal, I became aware that I would often look over my loupes rather than through them, which placed additional strain on my neck. I realized that the exercises were helping with my symptoms, but they were not helping with the cause of the pain.
Feeling I had exhausted my resources, I contacted the Orascoptic representative, Martha McDonald, wondering if it would help to have my loupes adjusted. She agreed to meet with me to evaluate the loupes and the usage of them. Martha also recommended that I contact Anne Nugent Guignon, RDH, MPH, for some advice. Anne is an international speaker on ergonomics in the dental field and instructor of multiple continuing education courses. Fortunately, Anne was willing and enthusiastic about helping me overcome my struggles. I emailed her multiple photos taken of me working in clinic, hoping she could give me some advice on what to do next.
In addition to the author's "slouching," she is perched on the edge of her seat, and the patient's head is not at the top of the headrest.
Anne is a firm believer that proper magnification loupes and lighting play a key role in ergonomics. But, I was surprised that the thing she recommended was to change the operator chair I was sitting in to a modified English saddle. I thought, "How could a chair make that much difference?"
Anne taught me the benefits of using a chair that allowed the operator to be in a sit/stand position. Saddle seating reinforces the natural curvature of the spine, which allows the muscles of the back and neck to relax, prevents nerve impingement, and allows the operator to be in optimal positioning in relationship to the patient.
The author noticed an immediate improvement in posture after changing seating.
I was willing to try anything at this point. I approached the dental hygiene faculty and asked if they would be willing to let me bring my own operator chair into clinic as part of my senior learning contract. I am fortunate that the educators at my school are very open-minded and forward-thinking. They did not hesitate to approve my request.
My next step was to contact Crown Seating, who manufactures saddle seats. I could not wait for my own modified English saddle seat to arrive. I used it in my home office the day it came to familiarize myself with the new way of sitting before I tried it out in clinic. I immediately felt a difference. My back lost its hunch, my shoulders dropped down, and, for the first time, I felt like it was actually easy to sit up straight. No longer did I need to rely strictly on willpower to sit properly. The chair allowed for my spine to be in its most natural position which took stress off my muscles.
I will have to admit that my rear end did get a bit sore the first two days while I was getting used to the new style of sitting, but I was happy to accept this temporary discomfort for the huge relief it provided my back and neck.
The change in my posture the first day I tried the new sit/stand position in clinic amazed me. Not only did my posture change, but I was more relaxed and felt more confident. I felt a huge burden had been lifted. An area I had struggled with my entire life was now something I could manage.
I got some strange looks from my classmates as I wheeled my new chair into the clinic. It did not take long for them to become curious and one by one they tried sitting in the chair. Their reaction was similar to mine – astonishment that a chair can make you feel so good.
Some of my classmates have started to line up in hopes that they will get to try it out on a day that I don't have a patient. One student told me that she would get nerve pain in her left leg that would last up to two days after clinic and left her hobbling. She was given an opportunity to try my new chair and reported that she did not experience any leg pain after working with a patient for three hours.
As I discussed posture issues with classmates and instructors, I realized that I was certainly not the only one who struggled with pain.
Some of the instructors were given instructions on how to use the chair. They were shown how to adjust the chair properly and how to sit on the chair by standing behind it, not in front of it, and mounting it like you would a saddle. Not all instructors felt comfortable trying a different style chair in the middle of a busy clinic session. But, the ones who did could immediately tell the difference in the way the chair allowed the operator to sit and enjoyed trying the new type of seating. This year, the faculty is planning to purchase a saddle chair that can be kept at the clinic for all of the students to try.
I now realize that proper ergonomics is not just magnification loupes, good lighting, or a specialized operator chair, but the combination of all three. For me, the chair was the missing puzzle piece that I had been looking for. I would not be where I am today if it were not for the right referral, Anne's willingness to take the time to help me, progressive-thinking instructors, and a company with a passion to improve on the accepted idea of proper sitting.
I am happy to announce that I am almost 100% pain-free following clinic sessions and have continued to enjoy my new healthier habits. Proper ergonomics will always be something I will strive for, but I have achieved a great start to a long and healthy career. My hope for the future of this profession is that hygienists will seek out and adopt healthier ways of practice in order to avoid future musculoskeletal injuries. We not only have responsibility for our patients' health and well-being, but for our own as well. We must maintain a safe work environment and lifestyle that supports good overall health.
Jessica Bosch, BS, RDH, graduated from Montana State University-Bozeman with a degree in health and human development in 2006. After graduation, she spent three months in Thailand, attending a yoga school. When she returned to the United States, she began working as a dental assistant and became motivated to apply to dental hygiene school. She graduated with highest honors from Montana State University-Great Falls College of Technology in May 2011. Jessica can be contacted at [email protected].
Past RDH Issues




