Your role before, during, and after orthodontic treatment
Hygienists play a critical role in ensuring the ortho patient's success in completing treatment
By Deborah Mills, RDH
For a hygienist in general practice, watching a patient undergo orthodontic treatment can actually be a fun and interesting process. Since many ortho patients are tweens or teens, you are working with them during an exciting period of their lives in which they undergo changes to much more than their smiles.
But orthodontic treatment also brings a number of hygiene concerns. The good news is that the dental team can play a big role in helping patients keep their teeth and gums healthy during this period. This article will summarize some of the most common practices that hygienists can implement to help patients finish ortho treatment with the best possible results.
Before Treatment: Lay the Groundwork
Before treatment starts, hygienists can begin stressing the importance of stepping up efforts to keep teeth clean even before patients have braces put on. When I know a patient is planning to get braces soon, I take the opportunity to talk with them (and their parents, if applicable) about the hygiene changes they should adopt. These include brushing more frequently, avoiding soda and sports drinks (or at least rinsing with water as often as possible) and coming in for prophy visits every three months. Because so many orthodontic patients are tween and teen patients who don't necessarily have great hygiene habits to begin with, this early counseling is important to begin raising their awareness as soon as possible.
-------------------------------------------------------------------------
Other articles of interest:
- Let's get this straight: addressing the frustration over bonded retainers
- Habit appliances for the general dentist
- The power of occlusal observation: Hygienists can help pinpoint problems with occlusion
-------------------------------------------------------------------------
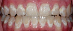
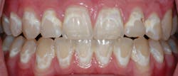
To help emphasize the importance of great hygiene during orthodontics, I talk with patients about the possibility of decalcification and show them a photo of the condition (see Figure 1). This gives them a much better idea of the consequences of poor hygiene and helps motivate them to avoid the problem.
During Treatment: The Real Work Happens
The patient's time wearing braces is the window when it is most necessary for the hygienist and patient to work together to help keep teeth healthy. Practices that follow CAMBRA protocols will recognize that most orthodontic patients are bumped into the high-risk category during this time, as the brackets and wires trap plaque and make it much harder to keep teeth clean.
In my office, we recommend a number of tools and practices to help patients manage the hygiene issues that might arise with orthodontics.
- More frequent prophy visits. As noted above, we ask orthodontic patients to come to the office for cleanings every three months versus every six. This enables several things. First, it gives us additional touchpoints to monitor how the patient is doing with hygiene and bring any issues to their attention as soon as possible. Second, it gives us the ability to remove accumulated calculus and polish the teeth. I frequently use a polish with ACP for these patients for added preventive power.
Finally, we also apply a fluoride varnish such as 3M ESPE Vanish 5% Sodium Fluoride White Varnish with Tri-Calcium Phosphate. This varnish is able to continue flowing after application is complete, which helps it get into interproximal and other hard-to-reach areas -- of which there are many for orthodontic patients. Varnish applications every three months are a great way to help prevent problems for high-risk patients.
- Brushes and other cleaning tools. Power brushes are a good idea for nearly any patient, and particularly so for orthodontic patients. We emphasize that they help remove more plaque and also help patients brush for the recommended two minutes.
As an alternative to a power brush, I also recommend a Waterpik, which can help keep interproximal areas clean. Proxy brushes are another tool we hand out to clean around brackets and wires. Finally, I like to give patients a compact travel toothbrush that they can keep in their backpack for quick brushing after meals away from home.
- Prescription toothpaste. In conjunction with more thorough and frequent brushing, we recommend a prescription toothpaste such as 3M ESPE Clinpro 5000 1.1% Sodium Fluoride Anti-Cavity Toothpaste. This paste has 5,000 ppm fluoride, which, like the 3M ESPE fluoride varnish, has TCP to help strengthen teeth for high-risk patients. The high concentration of fluoride helps remineralize teeth, and has also been shown in lab studies to help reverse white-spot lesions.
- Dietary counseling. While this is a typical part of the hygienist's routine with any patient, it can take on a bigger role with orthodontic patients. It's a good idea to maintain a dialogue about the patient's diet and remind them of the foods and drinks they should watch out for.
A typical teen ortho patient is likely to frequently indulge in sugary drinks and foods, so it can be helpful to remind them of the biological processes that sugar touches off in the mouth. This can help them understand how to counteract the problem and reinforces the importance of all the other preventive measures you recommend. I let patients know that, at the very least, drinking more water is an easy practice that can help rinse sugar and food particles away.
- Progress photos. Just as intraoral photos can be motivational in other dental situations, they can be a great way to monitor progress and keep patients motivated during orthodontic treatment. If your office has an intraoral camera, be sure to capture photos periodically. This helps the patient see how their teeth have moved, as well as to observe the condition of the gums and any visible plaque buildup.
After Treatment: Managing Any Surprises
Once orthodontic treatment is over, most patients are logically relieved and ready to enjoy their new smiles. One minor issue that the hygienist might notice at the patient's first visit after removal is excess bonding material remaining in the bracket area. It's obviously important to remove this in order to prevent additional buildup of plaque around the material.
In some cases, the removal of brackets can reveal how well the patient has complied with the dental team's instructions over the past year or more. Despite the hygienist's advance warnings about decalcification, some hygiene-challenged patients may still be disappointed to see white spots once brackets are removed. However, the dental team has a number of tools that can help address this issue after orthodontic treatment is completed. If patients are most interested in a cost-effective and easy-to-use treatment, they may simply continue with use of Clinpro 5000 toothpaste, which can help reverse the lesions.
The completion of orthodontic treatment is an exciting time for almost any patient. By working closely with patients while their treatment is underway, hygienists can play a big role in helping ensure the most satisfying results when those brackets or aligners are finally removed.
Special Considerations for Clear Aligners
For clear aligner patients, many of the same precautions and practices for patients with traditional brackets and wires apply. But these patients have the advantage of being able to remove their aligners for normal brushing and flossing.
I have also found that, at least in my practice, adults are more likely to have clear aligners than younger patients, so in many cases their hygiene is better to begin with. (This makes sense when we consider the demographic profile for a clear aligner patient -- an adult who is cosmetically motivated and therefore more likely to pay attention to good oral hygiene.)
Nonetheless, it's important to remind these patients about cleaning their teeth thoroughly after meals before replacing the aligners, in order to avoid trapping food against the teeth. Clear aligner patients should also avoid drinking anything but water when their aligners are in place, since the aligners can prevent saliva from flowing to the surfaces to help clean away sugar.
Deborah Mills, RDH, brings 23 years experience to Dr. Gary Alex's cosmetic/prosthetic practice in Huntington N.Y. She holds a number of qualifications including an Invisalign certification, license to deliver local anesthesia, and has been a part of the 3M ESPE hygiene advisory panel. Mills lives in Huntington with her husband, two children, and values her healthy, active lifestyle.
Past RDH Issues

