Case #4
A 7-year-old male visited a pediatric dentist for a check-up. Oral examination revealed a soft, bluish swelling around the right maxillary central incisor.
History
The patient’s mother stated that the child had not complained of symptoms in the area. The patient had previously seen a general dentist for regular dental examinations and routine restorative dental treatment.
At the time of the dental visit, the patient appeared to be in an overall good state of health. No significant problems were noted during the medical history and no medications were being taken by the patient at the time of the dental examination.
Examination
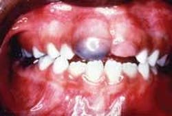
No unusual or abnormal findings were identified during the extraoral examination. Intraoral examination revealed a mixed dentition. A blue swelling, which surrounded the right maxillary central incisor, was noted (see photo). The lesion was soft and fluctuant.
Further examination of the oral soft tissues revealed no other abnormalities present.
Clinical diagnosis
Based on the clinical information presented, which of the following is the most likely clinical diagnosis?
mucoceleparulisgingival cysteruption cystdentigerous cystDiagnosis■ eruption cystDiscussionThe eruption cyst is a common soft-tissue lesion that is analogous to the dentigerous cyst found in bone. As the term eruption suggests, this soft-tissue cyst is always seen in association with an erupting tooth.The eruption cyst develops when the dental follicle separates from an erupting tooth, and fluid or blood accumulates in the follicular space. The cause of this developmental lesion is unknown.Clinical featuresThe eruption cyst is associated with deciduous or permanent teeth and typically occurs in children under 10 years of age. This lesion may occur with any erupting tooth, although it is most common in the mandibular molar region. Clinically, the eruption cyst appears as a well-circumscribed bluish swelling of the gingival mucosa superior to the site of an erupting tooth. The lesion is soft and fluctuant. If the eruption cyst is traumatized, blood may occur in the cystic fluid which imparts a purplish or deep blue color. In such cases, it is referred to as an eruption hematoma.DiagnosisThe diagnosis of an eruption cyst is based on the characteristic clinical presentation of the lesion. Rarely is a biopsy required to establish a definitive diagnosis.TreatmentNo treatment is required for the eruption cyst. In most instances, the tooth erupts without complication and the cyst ruptures. However, in some cases, the simple excision of the cyst roof may be necessary to facilitate eruption.Joen Iannucci Haring, DDS, MS, is a professor of clinical dentistry, Section of Primary Care, The Ohio State University College of Dentistry.
