Bulging, bulbous, and boggy gingiva: A sign of more than just periodontal issues?
As dental hygienists, we are all about gums/gingivae, are we not? Day after day we examine what those nasty microbes are doing to the supporting structures of teeth. There are times, however, when those bulging, bulbous, and boggy tissues are caused by something other than microbial activity. While there are always local factors at work, it is important to be knowledgeable about the various etiologies of gingival enlargement aside from gingivitis and periodontal disease activity. Dental hygienists can be on the front lines of preliminary diagnostic investigations, making the case for interdisciplinary collaboration.
Among the most common causes for gingival enlargement, aside from periodontal issues, are the effects of prescribed medications and systemic disease. Both can result in significant enlargement of gingival tissues. Less common conditions manifesting hyperplasia include hereditary disorders, most notably gingival fibromatosis, as well as many hereditary syndromes. Hormonal influence during puberty and/or pregnancy can be additional culprits of enlargement. Images of these enlargements in textbooks are typically very pronounced cases; however, many times the enlargement is much more subtle and requires a keen eye to identify it. This article will concentrate on medication-induced and disease-induced enlargements.
Pharmacologic effect
A close look at medications listed in the medical history during patient assessment procedures can be significant clues to findings during the intraoral exam. Many prescribed medications can affect the oral cavity in a variety of ways, from pigmentation to gingival enlargement, meriting a review of those responsible for affecting the size of gingival tissues.
The three most common medications causing gingival enlargement are calcium channel blockers (CCBs), anticonvulsants, and the immune suppressant cyclosporine. Some hypertensives and oral contraceptives can cause enlargement as well, but less commonly.1
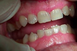
As cardiovascular issues are very prevalent in American society, dental hygienists regularly treat patients who are taking cardiovascular medications such as CCBs. These medications can be prescribed for a variety of cardiovascular issues, from hypertension to angina to abnormal heart rhythms. Most notable for causing gingival enlargement is nifedipine, producing enlargements in up to 25% of cases (figure 1).
In addition to nifedipine, a significant but weaker association has been documented for other CCBs such as diltiazem, amlodipine, and verapamil.2 As mentioned earlier, the enlargement can be much more subtle, as evidenced in Figure 2. Increased gingival stippling, higher gingival margins on the mandibular teeth, and lower gingival margins on the maxillary teeth prompted the hygienist to look at the medical history, and, as suspected, the patient was taking the calcium channel blocker amlodipine.
Anticonvulsant medications have been consistently recognized as producing gingival enlargement.2,3 We all remember from our dental hygiene board examinations that the gingival effects of phenytoin, a long-prescribed anticonvulsant, would most definitely be a question on the exam (figure 3). Other medications in the class of anticonvulsants known to cause hyperplastic gingiva include sodium valproate, phenobarbitone, vigabatrin, primidone, mephenytoin, and ethosuximide.
Medical science has become much more adept at organ transplantation in recent years. As a result, more and more patients in our dental chairs may be taking the immunosuppressant drug cyclosporin. Its effect on the gingiva is also one of overgrowth as seen in Figure 4. Though primarily used for transplant patients, cyclosporin may also be prescribed for some autoimmune conditions such as rheumatoid arthritis. The literature is mixed as to whether there is a dose relationship associated with the severity of the hyperplasia.2
Systemic disease effect
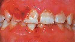
Several systemic diseases can affect the gingival tissues, producing enlargements that can even sometimes serve as an early indicator of the disease process. Dental hygienists can be among the first health-care professionals to detect these changes and refer the patient for additional diagnostics and subsequent treatment. Leukemia can sometimes present clinically with an infiltrate of leukemic cells into the gingival tissues, producing gingival enlargement. The diffuse, boggy, nontender gingival swelling may or may not be ulcerated. Those affected may also present with spontaneous gingival bleeding due to the thrombocytopenic activity associated with the disease. Among the various forms of leukemia, the acute myeloid form is most commonly associated with gingival enlargement (figure 5).4
Rare disease syndromes and other conditions can also produce perplexing enlargements of gingival tissues along with additional signs and symptoms, prompting dental professionals to delve deeper into the medical history and research to best accommodate patients. A recent case of tuberous sclerosis was observed by the author. It is an uncommon syndrome characterized by intellectual disability, seizure disorders, and angiofibromas of the skin. The most common oral manifestations are enamel hypoplasia and fibromatous gingival enlargements (figure 6).2 The diffuse gingival enlargement is reported even in patients not taking phenytoin for seizures.2 The facial angiofibromas and fibrous cephalic plaques, also called forehead plaques (figure 7), are clinical features key in diagnosing the condition.5
The dental hygienist’s role
The dental hygienist possesses a key role in identifying and providing recommendations for bulging, boggy, and bulbous gingival tissues. An astute clinician will recognize there are other causes for gingival enlargements along with periodontal microbes. Using inflammatory indicators can certainly help, as oftentimes enlargements of different origin do not necessarily present with typical signs of inflammation, such as redness and bleeding. Closely examining the medical history along with a thorough intra-/extraoral exam are imperative processes in patient assessment as we investigate for best preventive services as well as subsequent treatment and follow-up with the doctor. As trusted members of the dental team, the hygienist’s judgments and advisements in areas that may be perceived as additional roles can build respect and appreciation from patients as well as employers, elevating the preventive services of the practice.
Editor's note: This article appeared in the November/December 2024 print edition of RDH magazine. Dental hygienists in North America are eligible for a complimentary print subscription. Sign up here.
References
- De Falco D, Della Vella F, Scivetti M, Suriano C, De Benedittis M, Petruzzi M. Non-plaque induced diffuse gingival overgrowth: an overview. Appl Sci. 2022;12(8):3731. doi:10.3390/app12083731
- Neville BW, Damm DD, Allen CM, Chi AC. Oral and Maxillofacial Pathology. 4th ed. Elsevier; 2016:148, 705.
- Gallo C, Bonvento G, Zagotto G, Mucignat-Caretta C. Gingival overgrowth induced by anticonvulsant drugs: a cross- sectional study on epileptic patients. J Periodontal Res. 2021;56(2):363-369. doi:10.1111/jre.12828
- Sharan J, Mohapatra S, Chhabra G, et al. Gingival hyperplasia: an initial oral manifestation of acute myeloid leukemia. J Indian Soc Periodontol. 2023;27(2):201-206. doi:10.4103/jisp.jisp_54_22
- Bongiorno MA, Nathan N, Oyerinde O, et al. Clinical characteristics of connective tissue nevi in tuberous sclerosis complex with special emphasis on shagreen patches. JAMA Dermatol. 2017;153(7):660-665. doi:10.1001/jamadermatol.2017.0298
About the Author

Sherri Lukes, MS, RDH, FAADH
Sherri Lukes, MS, RDH, FAADH, has been a dental hygienist for 43 years, holding advanced degrees in education. As associate professor emerita, Southern Illinois University, Sherri taught oral pathology, public health, and multicultural dental hygiene courses. Current activities include presenting continuing education courses nationally and internationally. She holds a pathology fellowship in the American Academy of Dental Hygiene and is a member of the American Academy of Oral Medicine. Contact her at [email protected].








