Sleep bruxism in young children
Nancy W. Burkhart, EdD, MEd, BSDH, AFAAOM
Carol Perkins, BA, AS, RDH
Parents often complain to dentists and hygienists that their young child is making a noise at night, saying, “It sounds as though he/she is grinding his/her teeth.” Parents often say that the noise is so loud that it will wake them up when the child is sleeping. Severe damage can result, leading to very worn teeth, but often parents are most concerned about the general health of their child. They may ask: “Is there some psychological component?” or “What can I do?”
Bruxism is a repetitive jaw-muscle activity characterized by clenching or grinding the teeth and/or by bracing or thrusting the mandible. Bruxism has two distinct circadian manifestations: it can occur during sleep and is indicated as sleep bruxism (SB), or it can occur during wakefulness or daytime and is indicated as awake bruxism (AB).1,2
Daytime bruxism is characterized by teeth clenching (TC). This parafunctional habit can sometimes be corrected by making the parents aware of the habit and discouraging this behavior in the child. This is more successful in older children and much less successful in young children.3
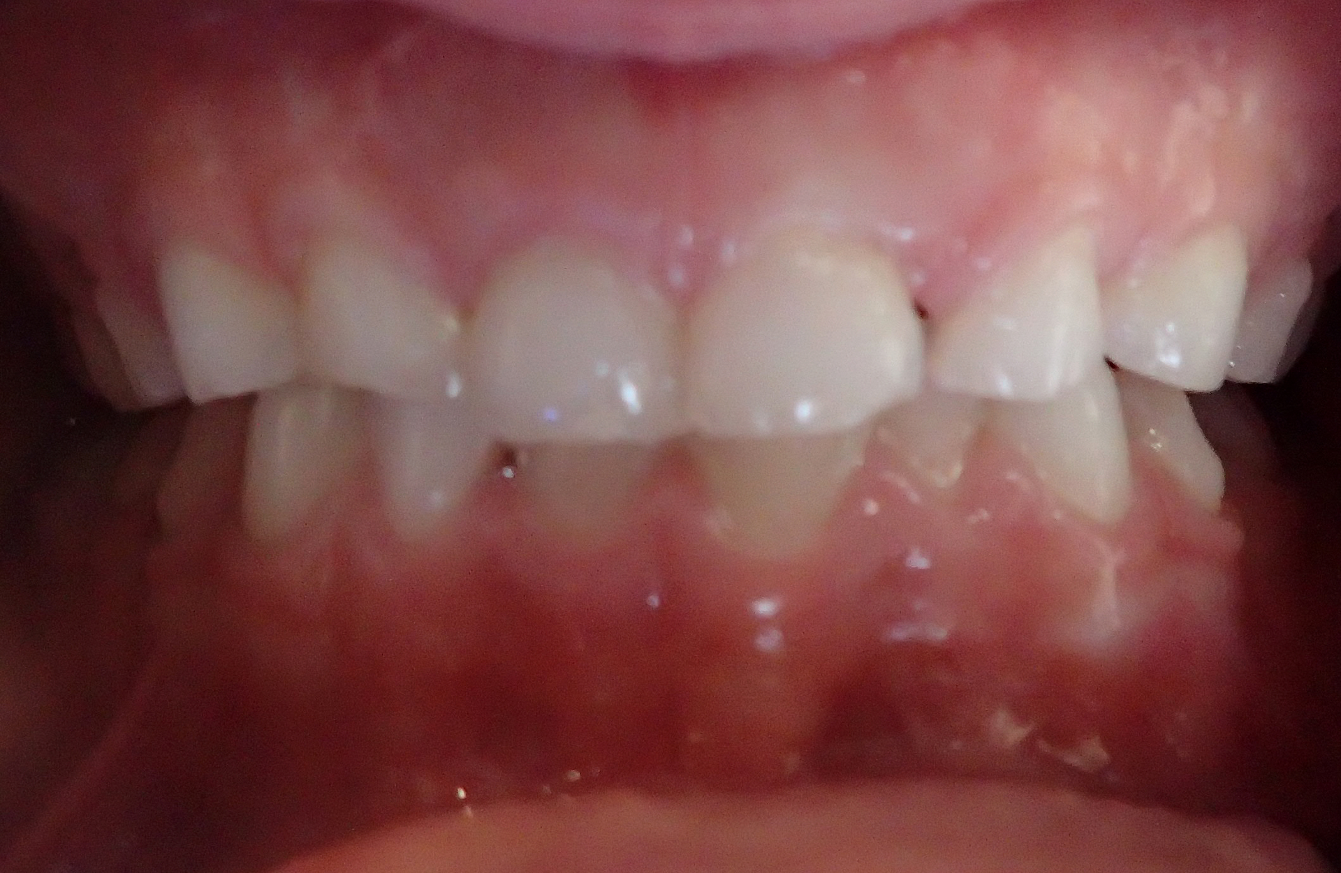
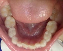
SB may cause damaged teeth, headaches, muscle pain, and temporomandibular disorders.3 It is not readily diagnosed because the disorder is usually multifactorial in nature. SB may accompany attention deficit disorder or other medical considerations, and it may also be intertwined with gastroesophageal reflux disease (GERD) as seen by a small pit formation on the lower teeth (figure 1). The patient may also display problems with nighttime breathing4 and anxiety issues that, in many cases, lead to insomnia. A definitive diagnosis is often complicated due to the various components that may be present and contributing to the SB. Therefore, sorting out the specific contributing factors is very time-consuming for the parent and the dental and/or medical professional. A team approach involving a professional who is well versed in sleep medicine can be used.
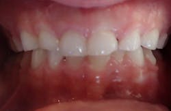
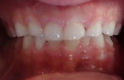
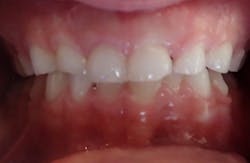
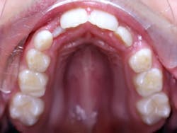
Bruxism is reported as highest in childhood, and it frequently decreases as the child gets older. In a case where the severity is limited, a wait-and-see approach is usually taken. In a study by Huynh et al., the majority of parents completing a questionnaire about their child’s SB reported no signs, even though further testing confirmed the disorder. A smaller number of parents reported related signs of SB. The researchers presumed that those parents who were reporting signs of SB may be more aware of the signs and symptoms of the disorder and, therefore, more cognizant of sounds or clues related to this issue.2 In other research studies, the prevalence of SB in children varied in reports, from 3.5% to 40.6%.5 It appears that SB is underreported even by the parents. Other tests and observations need to be performed and a total composite made to assess SB (figure 2).
Mouth breathing may increase and cause upper airway resistance during sleep. This can occur following tonsil and adenoid removal, making the situation worse in children in some cases. The upper airway is a collapsible tube that increases during sleep.6 Orofacial dysfunction may be part of obstructive sleep apnea as well.4 Bruxism occurs during stage 11 sleep (non-REM [rapid eye movement] sleep that occurs before REM sleep), not during REM sleep. Sleep cycles consist of three to five cycles of non-REM and REM periods from 90 to 120 minutes. These non-REM episodes are categorized as light sleep (stages 1 and 2) and deep sleep (stages 3 and 4). Most SB episodes occur in the light stages of non-REM sleep (i.e., stages 1 and 2). Stage 2 produces sleep arousal and activates the muscles in the jaw, legs, and other muscles. During REM sleep, muscles are usually relaxed to the point of paralysis, but brain activity is similar to that experienced when awake.5
Recent study results (using a Circadian Energy Scale) indicate that the association of sleep characteristics may alter the individual’s sleep pattern. Nocturnal agitation and nightmares were associated with possible SB in children. Chronotype categories were noted in 12.5% of children with SB categorized as morning types, while 26.4% were categorized as intermediate types, and 47.8% were categorized as evening types compared to those without SB. Young children with an evening chronotype had a tendency toward SB.7,8
When a psychological approach is taken, behavioral therapy with biofeedback, cognitive therapy, and stress and relaxation management may be considered. There does not seem to be a large consensus that these techniques work short or long term for SB in children. A behavioral approach may be more useful with bruxism involving TC and AB, since the child will be able to alter the behavior through awareness and change the habit long term.
Dental management may consist of occlusal therapy, splints, night guards, and adjustments.9 Occlusal splints are used to protect the teeth and rarely used or recommended with young children. Also, in some cases, intraoral appliances are used to open airways in obstructive sleep apnea cases and treat snoring in adults, but the appliances are not effective in young children. While there is often a wait-and-see approach in children, wear on the permanent teeth is not acceptable. Bite plate retainers can be made to prevent incisor wear while still allowing for normal dental development. Adult-type splints are not indicated, because during eruption and exfoliation, teeth splints will not last very long. When other factors such as GERD are involved, alterations in diet can be effective.10,11 The enteral nutrition therapy diet is sometimes suggested to reduce inflammation in inflammatory bowel diseases. Low-acid diets are suggested for GERD symptoms.12
The following signs and symptoms may be an indication of bruxism and airway issues during the dental professional’s assessment.
- Reports of snoring
- Sour taste in the mouth
- Allergies
- Large tongue and tonsils
- Obesity
- Orthodontic issues9 (facial, skeletal, and dental development)
– Cone beam CT evaluation of the airway dimensions; evaluation of the size of adenoids, tonsils, nasal airway/turbinate size, shape, and volume
– Amount of potential expansion to resolve crowding while also increasing nasal airway dimensions and oral cavity volume for tongue
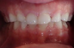
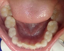
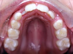
- Shape of narrow palate (see figure 3)9 can be an indication of mouth breathing and vertical and facial jaw development
- Behavior (hyperactivity, attention issues at school, falling asleep in the afternoon)
- Sleep disturbances (snoring is not acceptable in pediatric patients)
- Lack of sleep (dark circles under eyes can also indicate allergies)
- Pits on chewing surfaces of the teeth (see figures 1 and 4)
- Wear on incisal edges of teeth
Conclusion
Sorting through issues that indicate SB, clenching, and possible airway issues is time consuming and often requires a concentrated team approach to resolve these concerns. Trained individuals in sleep medicine, orthodontics, and dentistry are necessary. Parental involvement to correct parafunctional habits is crucial. Childhood GERD may be an issue for some children, so any signs indicating reflux should be addressed.
As always, continue to ask good questions and always listen to your patients.
References
- Lobbezoo F, Ahlberg J, Glaros AG, et al. Bruxism defined and graded: an international consensus. J Oral Rehabil. 2013;40(1):2-4. doi:10.1111/joor.12011.
- Huynh NT, Desplats E, Bellerive A. Sleep bruxism in children: sleep studies correlate poorly with parental reports. Sleep Med. 2016;19:63-68. doi:10.1016/j.sleep.2015.09.023.
- Saulue P, Carra MC, Laluque JF, d’Incau E. Understanding bruxism in children and adolescents. Int Orthod. 2015;13(4):489-506. doi:10.1016/j.ortho.2015.09.001.
- Guilleminault C, Huang YS. From oral facial dysfunction to dysmorphism and the onset of pediatric OSA. Sleep Med Rev. 2018;40:203-214. doi:10.1016/j.smrv.2017.06.008.
- Yap AU, Chua AP. Sleep bruxism: current knowledge and contemporary management. J Conserv Dent. 2016;19(5):383-389. doi:10.4103/0972-0707.190007.
- Lee SY, Guilleminault C, Chiu HY, Sullivan SS. Mouth breathing, “nasal disuse,” and pediatric sleep-disordered breathing. Sleep Breath. 2015;19(4):1257-1264. doi:10.1007/s11325-015-1154-6.
- Ribeiro MB, Manfredini D, Tavares-Silva C, et al. Association of possible sleep bruxism in children with different chronotype profiles and sleep characteristics. Chronobiol Int. 2018;35(5):633-642. doi:10.1080/07420528.2018.1424176.
- HealthPrep Staff. What causes circadian rhythm disorders? HealthPrep website. https://healthprep.com/sleep-disorders/causes-circadian-rhythm-disorders/.
- Bonetti GA, Piccin O, Lancellotti L, Bianchi A, Marchetti C. A case report on the efficacy of transverse expansion in severe obstructive sleep apnea syndrome. Sleep Breath. 2009;13(1):93-96. doi:10.1007/s11325-008-0206-6.
- GlaxoSmithKline Consumer Healthcare Holdings (US) LLC. Sensodyne ProNamel 6 to 12 years. Drugs.com website. https://www.drugs.com/otc/470575/sensodyne-pronamel-6-to-12-years.html. Revised December 2016.
- Acid erosion and the modern diet: addressing a growing oral health issue. (GlaxoSmithKline Consumer Healthcare, unpublished data, January 2015).
- Parent’s take home guide to GERD (Gastroesophageal Reflux Disease). GIKIDS, the patient outreach and education effort of NASPGHAN—the North American Society for Pediatric Gastroenterology, Hepatology and Nutrition. https://gikids.org/files/documents/resources/GERD%20Parent%20Take%20Home%20Guide_11-13-13.pdf. Accessed November 24, 2019.
Nancy W. Burkhart, EdD, MEd, BSDH, AFAAOM, is an adjunct professor in the department of periodontics-stomatology at Texas A&M University College of Dentistry. Dr. Burkhart is founder and cohost of the International Oral Lichen Planus Support Group (dentistry.tamhsc.edu/olp) and coauthor of General and Oral Pathology for the Dental Hygienist, in its third edition. She was awarded an affiliate fellow status in the American Academy of Oral Medicine in 2016. She received the Dental Professional of the Year award in 2017 through the International Pemphigus and Pemphigoid Foundation and is a 2017 Sunstar/RDH Award of Distinction recipient. She can be contacted at [email protected].
Carol Perkins, BA, AS, RDH, has worked as a dental hygienist for 44 years in private practice in California. She was presented the Leadership & Professionalism Award by the Fresno Madera Dental Society at her dental hygiene graduation ceremony in 1975 at Fresno City College. She has been published in Access Magazine by the American Dental Hygiene Association and has contributed to RDH magazine. She frequently does outreach to children by teaching hygiene in grammar and special needs schools. Contact her at [email protected].




