Revitalizing gingival health: A case study on SRP with glycine-based air polishing
Listen to the article on our podcast!
There’s been a shift from traditional rubber cup polishing to air polishing technology. This is due not only to time management, patient comfort, and stain removal, but also to the evidence-based research on the effects of subgingival air polishing on the periodontium.1
When air polishing devices were introduced in the 1970s, their intended use was stain removal and supragingival plaque disruption, using sodium bicarbonate, but because this substance is highly abrasive, it carries a risk of gingival irritation, sensitivity, and damage to composites or sealants. The devices had significant limitations and didn’t offer patient comfort.2
In the 2000s, glycine powder brought innovation to air polishers. Due to its smaller particle size, glycine offers a much gentler removal of supra- and subgingival biofilm and stain. The smaller and softer powder allows for more applications as it is safe on implants, root surfaces, orthodontic brackets, and restorations, and it is overall soft-tissue friendly.3
Case study
This case study aims to capture a comprehensive review of the treatment provided chairside with subgingival glycine air polishing and its effects throughout nonsurgical periodontal therapy on a 35-year-old male who had not received preventive care in over five years due to a combination of fear of pain, discomfort, and a busy lifestyle. The patient’s chief concern was bleeding gums and halitosis.
The initial 90-minute new-patient appointment included a full-mouth series of x-rays, panoramic image, oral cancer screening, blood pressure readings, intraoral photos, iTero scan, comprehensive charting, oral hygiene education, sequencing planning for nonsurgical treatment, and supragingival polishing with glycine powder as well as supragingival scaling on the lower anterior dentition to provide the patient with a better understanding of what to expect in the upcoming visits to reduce his anxiety and to help him understand sensitivity.
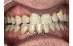
The full-mouth series revealed vertical bone loss, radiographic calculus, a lower lingual retainer, localized widened periodontal ligament spaces, no history of restorations on adult dentition, and a total of 28 intact teeth (figures 1-3). The full periodontal assessment included measurement of 168 sites. Generalized 5 to 6 mm pocket depths and a total of 140 bleeding sites were noted on probing.
Generalized moderate to severe calculus was present on the lingual surfaces of the mandibular dentition, with black calculus apparent upon activation of the piezo tip when placed subgingivally. The tissue was generally bulbous and dark in color, with severe generalized erythemic tissue and distended tissue in the upper and lower anterior regions.
Upon the patient’s return, I provided nonsurgical scaling and root planing on his right side. I began air polishing with glycine to remove residual stains and biofilm. The device warms the water, providing additional patient comfort. After the air-polishing treatment, I removed the remaining calculus using a piezo tip specifically designed for heavy calculus removal. I selected the Soft Mode of the PWR Pair Device to minimize patient discomfort without compromising effectiveness of the hard and soft tissue removal.
For this case, I committed to using only glycine subgingivally to determine effectiveness of the glycine powder alone. This means that there was no laser therapy, desiccation therapy, antibiotic use, or tray therapies implemented.
The patient was instructed to use a water flosser twice daily along the gumline, making Ms on the top teeth and Ws on the bottom. He was also advised to use a toothpaste with stabilized stannous fluoride twice daily, along with a power brush, and return for debonding of the left side. The process that was completed on the right side will be followed to treat the left side: piezo scaling, supra- and subgingival air polishing with glycine powder, and hand scaling to remove hard deposits post power scaling.
It is essential to understand the scientific basis behind the use of glycine powder. Subgingival air-polishing powders based on glycine and trehalose have been found to possess antimicrobial properties capable of reducing periopathogenic bacteria, such as Porphyromonas gingivalis and Tannerella forsythia.4 In vitro studies have suggested that powders for air-polishing tools that can be applied subgingivally may control cytokine expression, cell survival, and proliferation. Even though some patients with periodontitis can regain their periodontal health, most will always be at risk of developing the condition again.5
Results
The patient returned for a four-week follow-up appointment to evaluate whether the tissue had responded well to the soft-tissue treatment. He presented with a total of three sites that bled upon probing. That meant that we saw significant improvement and reduction of bleeding at 137 sites.
When assessing the tissue, the patient presented with tissue that had tightened to the tooth, with only 10 sites remaining over 4 mm. Due to his tissue response and improved home care, we have placed him on a maintenance appointment and will continue to motivate him to achieve meticulous home care.
Not only did we achieve the desired tissue result, but the patient’s home-care compliance was superior. Additionally, he had reported increased gingival comfort when brushing and flossing. The patient noted that the treatment was “the most detailed and thorough hygiene visit I have ever had, without any pain.”
Join me in providing treatment that will improve patient outcomes, increase compliance, and enhance your workflow!
Editor's note: This article appeared in the June 2025 print edition of RDH magazine. Dental hygienists in North America are eligible for a complimentary print subscription. Sign up here.
References
- Zhu M, Zhao M, Hu B, Wang Y, Li Y, Song J. Efficacy of glycine powder air-polishing in supportive periodontal therapy: a systematic review and meta-analysis. J Periodontal Implant Sci. 2021;51(3):147-162. doi:10.5051/jpis.1902340117
- Sodani P, Dogra S, Raj D, Bhagat V. A comparative study of sodium bicarbonate and hyaluronidase on pain perception, anesthesia, and akinesia during peribulbar anesthesia for cataract surgery. Anesth Essays Res. 2022;16(1):31-35. doi:10.4103/aer.aer_128_21
- Boeira PO, dos Santos CS, de Azevedo Kinalski M, et al. Glycine air-polishing versus curette debridement for the treatment of peri-implant mucositis: a systematic review and meta-analysis. Dent Rev. 2021;1(1):100003. doi:10.1016/j.dentre.2021.100003
- Wenzler JS, Krause F, Böcher S, et al. Antimicrobial impact of different air-polishing powders in a subgingival biofilm model. Antibiotics (Basel). 2021;10(12):1464. doi:10.3390/antibiotics10121464
- Vinel A, Al Halabi A, Roumi S, et al. Non-surgical periodontal treatment: SRP and innovative therapeutic approaches. Adv Exp Med Biol. 2022;1373:303-327. doi:10.1007/978-3-030-96881-6_16
About the Author

Amber Auger, MPH, RDH
Amber Auger, MPH, RDH, is an international lecturer, 2019 Sunstar/RDH Award of Distinction recipient, and creator of Thrive in the OP and the certified Functional RDH. With more than 24 years in the dental field and practicing hygiene since 2010, Amber empowers professionals through on-demand courses and coaching. She specializes in root-cause soft tissue management, practical protocols, and career development, inspiring clinicians to enhance patient care and achieve career satisfaction. Reach Amber at a[email protected].




