Ushering in a new era of dental hygiene technology with PWR PAIR
Key Highlights
-
Enhanced patient comfort: Beginning debridement with air polishing using the HuFriedyGroup PWR Pair reduces discomfort from ultrasonic and hand instruments while effectively removing biofilm and stain.
-
Improved efficiency and ergonomics: Air polishing prior to scaling shortens procedure time by three to five times, decreases clinician fatigue, and provides superior access to challenging areas.
-
Tooth and tissue preservation: Gentle glycine and erythritol powders minimize root surface damage and offer therapeutic anti-inflammatory and antibacterial benefits for both natural teeth and implants.
I have been a dental hygienist for almost 25 years, and I am proud to say I do not practice dental hygiene in the exact manner I was taught in school. Over my career I learned on the job how to incorporate many new advancements such as digital x-rays, lasers, air polishing, contemporary ultrasonic instrumentation, digital scanning, and AI technology.
Dental hygiene is a fascinating field that has done nothing but grow and improve patient experiences and outcomes over time. One of the more recent technology changes involves debridement techniques. The arrival of air polishing devices that have multiple therapeutic and preventive applications have changed the landscape of dental hygiene procedures.
Patient experience
How many times have you heard a patient say they hate the sounds of ultrasonic and hand scalers? How many of your patients have anxiety surrounding these sounds and shudder even before you begin treatment?
I have completely changed my debridement approach by beginning procedures with air polishing prior to ultrasonic/hand-instrumentation. I am fortunate to use the brand new HuFriedyGroup PWR Pair (Piezo + air polishing), which has a dual function of air polisher and piezoelectric ultrasonic scaler (see case study).
- Air polishing removes biofilm, stain, and immature dental calculus.
- Piezoelectric ultrasonic removes firmly established dental calculus.
By air polishing first, I improve my patient’s debridement experience by decreasing the time of use with high-pitch frequency machines like the ultrasonic and scraping sounds with hand instruments. There are many studies reporting improved patient comfort during subgingival debridement with air polishing than compared to other forms of instrumentation.1-5
Ergonomics and efficiency
Time efficiency of debridement procedures is three to five times faster when air polishing is performed prior to other forms of instrumentation.1,2,4,6 I can complete my procedures in less time with less fatigue when I air polish first with my PWR Pair because I do not have to aggressively hand scale deposits or spend extra time with an ultrasonic.
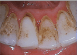
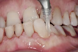
Air polishing accesses challenging areas more efficiently1,7 (figure 1) and reduces biofilm levels in periodontal pockets significantly more than hand-activated instrumentation.1,4,6 The PWR Pair offers the advantage of two powders:
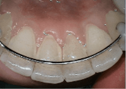
- Sodium bicarbonate powder for the removal of heavier stain supragingivally Glycine powder for supra/subgingival access with a standard nozzle that reaches PD up to 4 mm and subgingival nozzle for PD up to 5 mm.1 A flexible narrow tip is attached to the subgingival nozzle to allow for subgingival access with minimal tissue distention (figure 2).1,3,6
Conservation of tooth structure
Air polishing conserves tooth structures with studies showing similar root effects as ultrasonics, which cause 50% less alterations, roughening, scratching, and gauging of root surfaces than hand-activated instruments.1 All glycine and erythritol air polishing powders have a very low Mohs hardness rating (2-3) and are more uniformly shaped than polish paste of any grit size, leading to less abrasivity.1,8,9
Therapeutic applications
Glycine and erythritol powders are useful for the treatment and management of gingival inflammation of both natural teeth and implants.10
- Glycine powder has anti-inflammatory effects through inhibiting inflammatory cell activation and immunomodulatory effects through decreasing cytokines and toxic mediators.1,11
- Erythritol powder inhibits bacterial replication and slowing down extracellular matrix biosynthesis, which affects biofilm integrity.1,12
My hope is this testimony inspires others to adopt the new era of dental hygiene technology with PWR Pair to improve patient experiences and outcomes as well as improve your time efficiency and ergonomics.
Editor's note: This article appeared in the November/December 2025 print edition of RDH magazine. Dental hygienists in North America are eligible for a complimentary print subscription. Sign up here.
References
- Mayo L. Power Instrumentation for the Dental Professional. Jones & Bartlett; 2023.
- Moene R, Decaillet F, Andersen E, Mombelli A. Subgingival plaque removal using a new air-polishing device. J Periodontol. 2010;81(1):79-88. doi:10.1902/jop.2009.090394
- Ng E. The efficacy of air polishing devices in supportive periodontal therapy: a systematic review and meta-analysis. Quintessence Int. 2018;49(6):453-467. doi:10.3290/j.qi.a40341
- Sculean A, Bastendorf KD, Becker C, et al. A paradigm shift in mechanical biofilm management? Subgingival air polishing: a new way to improve mechanical biofilm management in the dental practice. Quintessence Int. 2013;44(7):475-477. doi:10.3290/j.qi.a29615
- Wennström JL, Dahlén G, Ramberg P. Subgingival debridement of periodontal pockets by air polishing in comparison with ultrasonic instrumentation during maintenance therapy. J Clin Periodontol. 2011;38(9):820-827. doi:10.1111/j.1600-051X.2011.01751.x
- Flemmig TF, Arushanov D, Daubert D, Rothen M, Muller G, Leroux BG. Randomized controlled trial assessing efficacy and safety of glycine powder air polishing in moderate-to-deep periodontal pockets. J Periodontol. 2012;83(4):444-452. doi:10.1902/jop.2011.110367
- Park B, Kim M, Park J, Jeong J, Noh H. Research on dental plaque removal methods for efficient oral prophylaxis: with a focus on air polishing and rubber cup polishing. Int J Dent Hyg. 2021;19(3):255-261. doi:10.1111/idh.12481
- Kozlovsky A, Artzi Z, Nemcovsky CE, Hirshberg A. Effect of air-polishing devices on the gingiva: histologic study in the canine. J Clin Periodontol. 2005;32(4):329-334. doi:10.1111/j.1600-051X.2005.00678.x
- Boyd LD, Mallonee LF, Wyche CJ. Wilkins’ Clinical Practice of the Dental Hygienist. 13th ed. Jones & Bartlett; 2021.
- Bidra AS, Daubert DM, Garcia LT, et al. Clinical practice guidelines for recall and maintenance of patients with tooth-borne and implant-borne dental restorations. J Prosthodont. 2016;25(Suppl 1):S32-40. doi: 10.1111/jopr.12416
- Zhong A, Wheeler MD, Li X, et al. L-glycine: a novel anti-inflammatory, immunomodulatory, and cytoprotective agent. Curr Opin Clin Nutr Metab Care. 2003;6(2):229-240. doi:10.1097/00075197-200303000-00013
- Hashino E, Kuboniwa M, Alghamdi SA, et al. Erythritol alters microstructure and metabolomic profiles of biofilm composed of Streptococcus gordonii and Porphyromonas gingivalis. Mol Oral Microbiol. 2013;28(6):435-451. doi:10.1111/omi.12037
About the Author
Lisa Mayo, MHA, BSDH, RDH
Lisa Mayo, MHA, BSDH, RDH, graduated magna cum laude with a bachelor’s degree in dental hygiene from Baylor College of Dentistry and a master’s degree in health-care administration from Ohio University. She is the academic chair of dental hygiene, dental assisting, and surgical technology at Dallas College, as well as the author of Power Instrumentation for the Dental Professional, a textbook published by Jones & Bartlett in 2023. Lisa has written peer-reviewed courses, white papers, and articles for various dental journals. You may contact her through her website at lisamayordh.com.








