Chairside Impact: How Mouthwatch provides patients with a clear view of their oral health
When it comes to utilizing intraoral cameras in the dental operatory, convenience is key. As dental professionals, we all understand that time is of the essence with our demanding schedules. No matter how well an intraoral camera functions, if it is not convenient, dental professionals are not going to use it on a regular basis. This is where the company Mouthwatch steps in and makes a name for itself.
When I first received the Mouthwatch camera, I was concerned about how much time it might take to install the camera into all five operatories at my office. Thankfully, Mouthwatch came to my rescue. All I had to do was go to their website and click on an icon to download the software. Then their support team (at no charge) quickly took over my screen and did their magic. They changed my settings from my old intraoral camera to my new Mouthwatch camera. Each room was up and running in a matter of a few minutes!
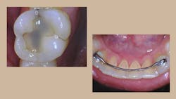
One of my favorite things about the Mouthwatch intraoral camera is how it integrates almost effortlessly with any dental software. I have Dexis at my office and it only takes me a couple of clicks and my Mouthwatch camera is ready to go. I also am highly impressed with the quality of the pictures in comparison to other intraoral cameras that I have seen. Additionally, this camera has a fixed focus range that is custom designed for the human mouth, so that I can confidently take a crisp, clear picture instantly.
One of the most striking features of this camera is the reasonable price point. My colleague, Jessica Raymond Albritten, has used Mouthwatch cameras for the past several years at her dental office and says there is no need to spend a lot of money on an intraoral camera in order to get impressive results. She explains that cameras are conveniently kept in every room because they are so affordable. The Mouthwatch website lists the camera price beginning at $299 each, with several options available for discounted bundles.
Mouthwatch’s intraoral camera has been widely touted as a must-have tool to have on hand when practicing teledentistry. The ultra-lightweight camera plugs in easily to a laptop and is highly portable. The pictures can easily be shared remotely with their dentist who ends up feeling like they have actually looked inside the patient’s mouth in person.
Finally, the greatest value of a Mouthwatch camera lies in the perception of your patient. When they can fully understand what is going on in their mouth, you don’t have to talk them into getting their treatment completed. The pictures that they see will serve as irrefutable proof of any developing dental issues and motivate them to eliminate those threats ASAP. Cheers to Mouthwatch for helping our patients make their dental health a priority!
Amber Metro-Sanchez, BA, RDH, practices dental hygiene with Chris Bible, DDS, at Comfort Dental in Fort Wayne, Indiana. She also works as a professional educator on behalf of Waterpik. Amber was a member of the 2015 Colgate Oral Health Advisory Board. She is also a contributing author for the Colgate Professional and Colgate Oral Care Center webpages. Reach her at [email protected].
About the Author

Amber Metro-Sanchez, BA, RDH
Amber Metro-Sanchez, BA, RDH, practices dental hygiene with Chris Bible, DDS, at Comfort Dental in Fort Wayne, Indiana. She also works as a professional educator on behalf of Waterpik. Amber was a member of the 2015 Colgate Oral Health Advisory Board. She is also a contributing author for the Colgate Professional and Colgate Oral Care Center webpages. Reach her at [email protected].
