Dental care for patients with Down syndrome: Understanding the challenges and accommodations
Down syndrome, characterized by the presence of an extra copy of chromosome 21, is a prevalent genetic disorder affecting approximately one in every 700 births in the United States each year.1 Individuals with Down syndrome face physical and intellectual disabilities that present unique challenges in various aspects of health care, including dental care. Here I explore the background, statistics, health implications, dental treatment accommodations, and behavioral issues related to dental care for patients with Down syndrome.
Background details and statistics
First described by John Langdon Down in 1866, Down syndrome is associated with physical features such as upward slanting eyes, flat nasal bridge, small mouth, and protruding tongue. People with Down syndrome often experience cognitive delays, intellectual disabilities, and various health complications, such as cardiac defects, respiratory problems, and hearing loss.1 The prevalence of Down syndrome varies across populations due to factors such as maternal age and genetic predisposition.
There are three types of Down syndrome: trisomy 21 (nondisjunction), mosaicism, and translocation.2 Trisomy 21 is 95% of all Down syndrome cases. It’s a result of a triplicate of the 21st chromosome that’s in every cell of the body. Mosaicism accounts for 2% of cases. Only some of the cells have 47 chromosomes while others have the normal 46. These people have the least amount of Down syndrome characteristics. Translocation accounts for the remaining 3% of Down syndrome cases. With translocation, there’s an extra copy of the 21st chromosome that attaches to another chromosome, typically the 14th chromosome, while still having the normal 46 chromosomes in total. These individuals have the typical characteristics of Down syndrome.1
Health implications of Down syndrome
Patients with Down syndrome are at an increased risk of developing oral health conditions such as dental anomalies, periodontal disease, malocclusion, and bruxism. Dental anomalies can involve missing or extra teeth, abnormal tooth shape, or delayed tooth eruption, and these patients also typically have large tongues. Poor oral hygiene, decreased manual dexterity, and immune system deficiencies contribute to an increased risk of periodontal disease. Dental and skeletal abnormalities can result in malocclusion, such as an open bite, crossbite, or crowding. Additionally, individuals with Down syndrome often exhibit bruxism, which can cause tooth wear, jaw pain, and headaches.
Dental treatment accommodations
Providing dental care for patients with Down syndrome requires special considerations to ensure a positive experience. Dentists and dental hygienists should implement the following strategies.
- Establish trust and communication: A trusting relationship with the patient is crucial. Dental practitioners should communicate in a calm and friendly manner, allowing ample time for the patient to process information and respond.
- Use visual aids and simplified language: Pictures or diagrams, along with simplified language, help those with Down syndrome understand dental procedures and instructions.
- Incorporate behavioral management techniques: Positive reinforcement, distraction techniques, and desensitization can help reduce anxiety and promote cooperation.
- Employ modified positioning: Adjusting the patient's position in the dental chair to accommodate physical limitations or sensory sensitivities can enhance their comfort and cooperation.
- Accommodate sensory sensitivities: Create a calm and sensory-friendly environment by controlling noise levels, minimizing bright lights, and providing sunglasses for the lights.
Behavioral issues and strategies
Behavioral challenges may arise during dental visits for people with Down syndrome due to anxiety, sensory sensitivities, and difficulty understanding instructions. Dental professionals can implement some strategies to manage behavioral issues.
- Previsit preparation: Preparing the patient in advance can help alleviate anxiety and increase predictability. Providing information about the dental visit through social stories or visual schedules can help them understand what to expect. This preparation can include explaining the purpose of the visit and procedures and introducing the dental team. It’s important to communicate in a clear and concise manner while using simple language and visual aids as necessary.
- Parental involvement: Encouraging parents or caregivers to participate in the dental visit can provide comfort and support to the patient. Parents can create a familiar and reassuring atmosphere by staying during the appointment, holding the patient's hand, and offering encouragement. Their presence can enhance the patient's cooperation.
- Use of sedation or anesthesia: In some cases, people with Down syndrome may require sedation or general anesthesia to undergo dental procedures. This approach ensures the safety and cooperation of the patient while minimizing anxiety and discomfort. Dentists should work closely with medical professionals to determine the appropriate sedation options based on the patient's health condition and individual needs.
- Individualized treatment plans: These should be tailored to the specific needs and abilities of patients with Down syndrome. This may involve shorter appointments, frequent breaks, or dividing treatment into multiple sessions to accommodate attention span and comfort level. By adapting the treatment plan to the patient, dental professionals can optimize the experience and outcomes.
- Regular preventive care: Emphasizing regular preventive dental care is essential. Educate caregivers about the importance of maintaining good oral hygiene practices, including flossing techniques and daily brushing. Additionally, routine dental checkups and professional cleanings are crucial for early detection and management of any dental issues.
Case study
Katie is a 30-year-old female with Down syndrome. She has high dental anxiety and has received little dental care. Katie is an incredibly happy person with a smile for everyone. She recently came under the care of a sibling. She does not allow anyone to help her brush and attempts her oral health herself, but her care is not adequate. She wants to cooperate but fears what will be done to her, and she continually states that she’s nervous.
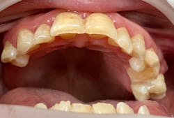
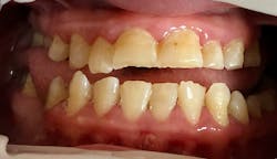
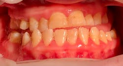
Katie presented with multiple areas of dental decay, heavy plaque buildup, and light to moderate supragingival calculus with little subgingival calculus. There are signs of bruxism with wear and small fractures on her teeth (figures 1 and 2). Katie has a large tongue that often covers her teeth while her mouth is open (figure 3). She has an anterior and posterior crossbite (figure 4) and a retained primary tooth. Katie was cooperative for radiographs, which were taken while working with her verbally and using positive wording and demonstrations. Extra time was taken to allow her to process what was being described and to abate her fears.
Katie allows for a full exam in the office with a show-and-tell approach to ease her anxiety. She cooperates for the prophylaxis procedure as long as treatment is in short bursts, for example, scaling one sextant and then taking a short break before moving on to the next sextant. She tolerates the polishing and does not mind the texture or taste. However, rinsing with the water is a challenge for her. She must do it with short bursts of water, then evacuate quickly. She does not like the “tiny drain,” as she calls the slow speed evacuation. She prefers to leave a little prophylaxis paste to avoid too much water in her mouth.
Katie is extremely fearful of the restoration process. In her case, sedation was chosen due to the extent of decay, her level of fear, and her inability to cooperate for the more invasive procedure. With all procedures for the decay completed, she can now visit the office for routine recare.
Home care was discussed with both Katie and her sibling. Simple and positive language was used with Katie and more in-depth information was discussed with her sibling. Talking with Katie and her sibling together about home care and Katie’s need for help was helpful. This was explained to help Katie understand that if she allows her sibling to assist her with home care, this will hopefully limit the need for future hospital visits.
Dental care for patients with Down syndrome requires a patient-centered approach that addresses their unique challenges and accommodates their specific needs. By understanding the background details, health implications, and statistics related to Down syndrome, dental professionals can provide effective and compassionate care. Implementing dental treatment accommodations, managing behavioral issues, and encouraging regular preventive care contribute to maintaining optimal oral health in people with Down syndrome.
Editor's note: This article appeared in the October 2023 print edition of RDH magazine. Dental hygienists in North America are eligible for a complimentary print subscription. Sign up here.
References
- Data and statistics on Down syndrome. Centers for Disease Control and Prevention. 2020. Accessed June 4, 2023. https://www.cdc.gov/ncbddd/birthdefects/downsyndrome/data.html#
- About Down syndrome. National Down Syndrome Society. Accessed June 4, 2023. https://ndss.org/about#p_783
About the Author

Lisa Curbow, BAAS, RDH, CDP
Lisa Curbow, BAAS, RDH, CDP, has been in clinical practice for almost three decades, serving in both periodontal and general offices. She has also served as an office manager and hospital coordinator. Lisa’s passion is in educating and empowering others to be better equipped to treat patients with special needs. She is a member of the SCDA, AADMD, and iADH. Lisa can be contacted at [email protected].




