Airbag versus face: Post-crash journey leads author on search for dental normalcy
Post-crash journey leads author on search for dental normalcy
By Debra A. Viger, RDH, BHS
About a mile from home, on a road we adopted in honor of my sister, we were struck head on. Large sports car accelerating toward us in our lane; time moves slowly. See the impact coming ... hear the crunch ... arms braced on the wheel ... airbag deploys.
Here is what I've learned in the last seven years. Anytime a face is struck with an airbag, some damage may occur to the hard and soft tissues and should be carefully examined. Of course, triage with emergency personnel is the most important first step, as brain injuries and broken bones may occur. For the purpose of this article, we will focus solely on the dental implications.
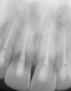
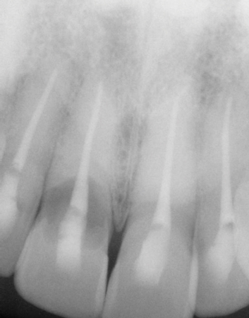
Figure 1: An X-ray revealed severe root resorption on No. 8.
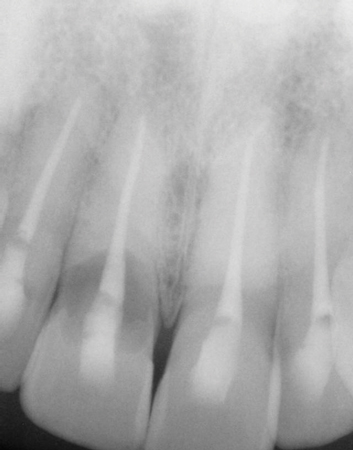
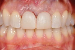
Figure 2: Prior to procedures, teeth appeared healthy with no clinical signs of trauma.
Figure 3: Tooth No. 8 shattered as expected during extraction.
Figure 4: Implant was placed.
Figure 5: Implant and bone graft completed on No. 8, and implant placed on No. 9.
Figure 6: Immediate-load temporaries are finished.
After the crash
Initially after the impact, there may be bruising of the soft tissues and chipped teeth may be noted. It is a great idea to recommend patients come in for an examination immediately whenever possible. Teeth should be assessed for mobility and color change, and sharp edges may need to be smoothed to avoid further damage. The contour of the tissue should be assessed for gingival tearing and bruising. Whenever possible, intraoral photos should be taken to document the injuries, and detailed notes must be taken because there is always the possibility that this information will be needed in a court case. Radiographs should be taken as a baseline of any potentially damaged teeth. Most often we assume it will be anterior teeth only, but depending on the angle of the strike, there can be shearing of the enamel in the posteriors as well.
Inform the patient that any changes should be noted and follow-up appointments scheduled. In my journey from the onset of airbag impact to date, it was a slow progression. The first few days involved swelling and general facial bruising with rough edges of the chipped incisal edges of Nos. 8 and 9. My general dentist immediately smoothed those rough edges, giving me slightly short teeth but not yet wanting to add composite material to avoid additional trauma. The first few months brought increased sensitivity to cold, occasional throbbing, some mild pressure sensitivity, and the general feeling that my smile would never feel or look the same again.
My dentist remained my ally and cheerleader, but over the course of six months, it became apparent that the sensitivity was becoming life-altering. Smiling in the wind was painful, cold foods intolerable, and it became clear that an endodontic consultation was needed. Almost one year after the air bag struck my face, it was deemed necessary to endodontically treat Nos. 7, 8, 9, and 10. Hearing all of the stories from patients in the past, I was pleasantly surprised that treatment was painless. For the first time in a year, I could enjoy ice cream like a champ!
Follow-up care
After the permanent restorations were placed to close the lingual access, I was able to begin planning for veneers or composite build-up to restore the length and shape of Nos. 8 and 9. Studying several dental books and photos from before the crash, I chose to lengthen and flatten the incisors with a slight rounding of the distal. At this point, it is important that we as practitioners understand the emotional impact of a trauma as well as the physical. When a smile is altered through trauma, we must prepare the patient for all that may occur. The physical changes to potentially prepare for and note: teeth may darken over time, an abscess may form, hypersensitivity may occur to temperature as well as to chewing.
Take the time to discuss these changes and even show photos of what may occur so the patient is completely informed and prepared to notify the office if any further changes do occur. In my case, tooth No. 9 continued to ache and throb on occasion even with root canal treatment (RCT). Pressure always lingered but was never much more than a slight irritant.
Six years after my endodontic treatment, I noticed that the palatal tissue of No. 8 had a rough edge and the tissue had begun to thicken. As a hygienist, I knew this was a potential crisis. Not yet willing to accept what I knew was going to be, I chose to wait for my next regularly scheduled examination and prophylaxis appointment three months later.
In those few short months I experienced multiple changes. At first, the palatal tissue became thicker and then bubbled. It was clearly feeling like granulation tissue and potentially lots of it. Floss was now shredding around No. 8. While I chose never to bite directly into anything like a carrot or apple, I began to feel that No. 8 was somehow less stable. Another two months, I noticed that if I closed my lips and sucked on my anteriors, I experienced a peculiar taste. It was time to face facts. Off to my favorite periodontist and hygienist I went.
A periapical of tooth No. 8 revealed my worst fears (see Figure 1). As a hygienist, as a woman, as a person who truly cares about health as well as appearance, I was devastated. Tooth No. 8 had completely failed and the root was resorbed to the point of complete instability. Everything I had been feeling and dreading the last three months was now out in the open on a giant screen in front of me. It was gaping damage and terminal.
My periodontist looked at me and said my case would require an oral and maxillofacial surgeon to do a surgical extraction and that he could not place an implant for me. Argh. I love my periodontist, yet understand that this is why there are many different types of specialists. Clearly, with so little root left, this tooth was going to shatter imminently if not certainly during the extraction process. My general dentist then informed me that she, too, would prefer I see a prosthodontist as this was going to potentially change my entire smile. I was now dealing with a full bag of emotions, meeting a new team for restoration (see Figure 2).
Imagine a similar patient in your chair. We know that we have wonderful relationships with our patients built over time. This is the moment when our most empathetic side shines. Offer your knowledge, expertise, and time, as well as potentially a box of tissues. Share cases you may have seen or excellent results from others with implants or anterior reconstruction. As professionals, we need to allay fears and concerns our patients may have and seek out information when we do not know the answers. Our smile is such a huge part of who we are. When our patients' smiles may be forever changed, we need to be sensitive and prepared for an emotional response, at the risk of the patient potentially shutting down and not being ready to hear the treatment options.
It is always best for our practices to have several specialists to whom we can refer and whom we trust implicitly. I was lucky that I knew and had worked with the oral surgeon I was being referred to. Consultations were scheduled within the week. After a thorough examination and additional radiographs and a panorex, it was decided that both Nos. 8 and 9 would need extraction, bone grafts, and implants. It was deemed that micro fractures must be located somewhere on No. 9 for there to be continued throbbing and sensitivity. Thankfully, the option of a removable flipper was never discussed, because I was a candidate for immediate-load temporization. I would be treated at the surgeon's office, and the prosthodontist would come there to do the temporaries. While I had never heard of that, or even given it a thought, knowing I would leave the appointment with teeth was calming.
In two-and-a-half hours my treatment was completed: two implants, bone grafts, and temporary crowns. When your patients ask what it feels like, here's what you need to know.
Extractions are a horrifying concept, yet in actuality there is pressure but no pain. Tooth No. 8, as predicted, shattered with the first touch (see Figure 3). The sound was terrible, a super loud snap. It took a moment for me to regroup, take a breath, and literally grieve the loss of my front tooth. It sounds ridiculous, but for me this was my true moment of loss, and then beginning. The prosthodontist decided that we would prepare each tooth individually, from start to finish. One tooth out, lots of drilling to remove the root, then synthetic bone-graft material mixed with my own bone (see Figure 4). As it happens, I was offered bovine bone, treated cow bone. As a nonmeat eater, there was not a chance I could handle that in addition to losing my two front teeth! Choosing synthetic was a personal option for me. Let your patients know there are cow, pig, cadaver, and synthetic materials available; it is a personal choice (see Figure 5).
Through the entire procedure I was completely comfortable physically-no pain, only pressure. Truth is, when there is a gaping hole in the front of your mouth, it's a crazy feeling every time you swallow. My mouth was numb but my tongue could totally feel the absence, and my brain could imagine a train driving through this giant gap. Temporaries going in, shade chosen ... in hindsight recommend that your patients whiten to their desired shade in advance if there is time because this will be a forever shade (see Figure 6). I was numb for several hours, took three ibuprofen, and antibiotics which I had started two days prior. That evening, brushing was frightening but I felt nothing, literally nothing! The false tooth and tissue and my entire premaxilla was numb, void of all feeling. While it meant pain meds were unnecessary, it was disconcerting to have nothing there. I chose to use only plastic cups and silverware and eat completely soft foods. The temporaries are for appearance only, and mine were stunning, but they are not, not, not to be used for biting. This time is for healing and permanent restorations are not scheduled for 12-16 weeks.
First week of healing and the tingling began and the sensation started to return. Still soft diet, plastic cup, speech was good but some letters a little sloppy like "th" and "s." Second week: the tissue looked amazing, the papilla was slightly flattened, but the tissue was stippled and the color perfect on the facial, yet the lingual was still irritated. I have been using my power brush since the end of the first week and was carefully flossing since day three. Week three: slight throbbing and the postoperative appointment showed something was loose. I was pressure sensitive, no pain, the screw on the lingual was checked for tightness. Thankfully it was the crown, not the implant or graft.
Currently I am four weeks into this journey. I am still using plastic cups; the fear of an inadvertent bump damaging the graft or implant compels me to continue this. I bite nothing, not even cheese. I am hyperaware that until I have permanent restorations, nothing will touch these teeth. There is no pain, but I continue to feel pressure in my nose; it is slight but always present. The teeth are thinner and my speech is still a little off in my own head. My lips are chapped.
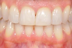
The most amazing thing on this journey has been that not one person has noticed! Seriously, not one person has noticed that my teeth are different. I went to work the day after the implants were placed.
Tell your patients what to expect, when to call for follow-up, what to eat, and most importantly, let your patients know they have an unexpected opportunity to even enhance their smile. Choose the shade, choose the shape, make a potential tragedy into something enhancing. I think I'll go lighter, longer, and slightly squarer, or maybe not. I have 12 more weeks to dream. RDH
Debra A. Viger, RDH, BHS, has 29 years of clinical dental hygiene, dental office management, and treatment coordination experience. She is past president of McHenry County Dental Hygiene Society and past chair of continuing education. Currently, she is dental outreach coordinator for Little City Foundation in Palatine, Illinois, teaching daily home-care techniques, nutrition for dental health, and desensitization for the developmentally delayed and autistic community. This programming is easily shared, including the video training. Reach out for further information to [email protected].






