How dental consultants and hygienists can weigh the scientific evidence about Remin Pro
By Elijah Desmond, RDH, BS
Show me the science and then show me clinical evidence. I need to see the proof! In 2009 I graduated from Ohio State University, and the educators permanently left an impression on my brain that says, “Show me the science.” I currently hold an active license in Hawaii and Ohio and have an obligation to my profession. This obligation is to continue to educate myself on dentistry’s most recent products.
In this article, I will touch on two different points of view when it comes to the product Remin Pro from Voco—the point of view as a dental hygienist and a point of view as a dental consultant. While the two hats that I wear are very different, they both are heavily rooted in science and evidence. In general, science to a consultant and science to a dental hygienist are the same thing. However, in my experience the two perspectives view evidence differently. When I analyze the evidence as a dental hygienist, my first thought is to request the clinical numbers and to examine the science in detail, under a microscope. I need to see it. When I analyze the evidence as a consultant, I want to see and understand the bigger picture. As a consultant, I need to see before-and-after photos that are compelling enough to tell a story in other practices for their patients with clinical needs.
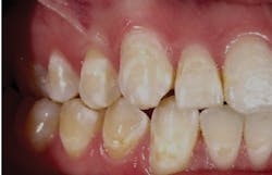
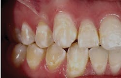
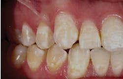
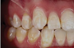
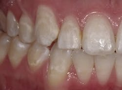
Figure 1 : Courtesy of Merrillville Family Dental Care in Merrillville, Ind.
As a dental hygienist
Let’s first look at this from my perspective as a hygienist. Remin Pro is a water-based tooth cream with nano-hydroxyapatite, xylitol, and fluoride. It is important to know that the fluoride is sodium fluoride and delivers 1,450 ppm compared to similar products that have a lower fluoride content. It is indicated for patients who have sensitivity or are looking to prevent sensitivity. Because the product contains nano-hydroxyapatite the tooth is protected from demineralization and acid erosion.1
In general, science to a consultant and science to a dental hygienist are the same thing.
Remin Pro is great for patients with previous, past, or current ortho and is what I believe should be an industry standard for all orthodontic patients. It is important to point out that patient compliance is essential—not only at home but in keeping their appointments in office. The following is the protocol for patients with white spot lesions:
- Take pictures (with Ortho camera and cheek retractors).
- Pumice teeth.
- Etch lesions (let set for 30 seconds).
- Rinse, etch, and dry lesions with air.
- Apply Remin Pro over dentition and place trays (send patient home with the trays).
- Have patient wear trays with Remin Pro for about 15 minutes, twice each day of the prescribed protocol.
- Make post-op visit one week out.
- Re-etch and place Remin Pro again.
- Repeat until you see results (can sometimes be as long as six to eight weeks).
- A few takeaways I would like to share about the product are as follows:
- Remin Pro has the highest fluoride content compared to similar products.
- Patient compliance is critical as I have seen first-hand the compliant vs. non-compliant results.
- Remin Pro is a solution for those patients with milk protein allergies.2
As a consultant
I am not a full-time practicing hygienist. Thus, as a consultant, I selected one of my best offices and requested that they run a clinical trial that I monitored very closely. Dr. Chanbo Sim is a general dentist who is the owner of Merrillville Family Dental Care in Indiana. The clinical evidence from the trial included before-and-after pictures that were so astonishing that I wanted to share the evidence about this product with all of my offices throughout the United States.
As a dental consultant, my number one request is to “show me the evidence; I need pictures.”
It is important to understand two things about dental consulting in regard to products. Does the product offer real results that I can see with my own eyes, and is the product backed by research at the highest level? When I decide to test a product, I partner with client with whom I have built a long-term relationship. In this case, I chose Dr. Sim. They used Remin Pro on several patients, and I followed the patients from start to finish.
To me, compliance is the number one obstacle you have with any product that a patient is required to use at home. If they do not follow specific instructions on how to use the product, the results will not be as strong as they were in the case of these trials. To have excellent compliance, it is important that you have a great case presentation. The case presentation should be done with three easy steps.
I like to use the problem, consequence, solution method. Here’s an example of the case with Remin Pro as the product being studied.
Problem: “The problem is you have some erosion of your teeth due to the lemons you enjoyed sucking on when you were younger.”
Consequence: “The acid from the lemons removed some of the outside layer of your teeth called enamel.”
Solution: “We offer a tooth cream called Remin Pro that will remineralize your teeth and make the white spots go away. It will also help with sensitivity.”3
During the process, it is important that the office take a photo of the area of concern when talking about the problem and the consequence. This photo should ideally be taken by an intraoral camera and shared with the patient via computer, iPad, TV, or printed paper. During your explanation you should be able to share before-and-after photos (see Figure 1).
Patients who used Remin Pro in the office were very happy with the pleasant flavor. The three flavors—strawberry, mint and melon—satisfy patient populations who have varying flavor preferences. Patients said that Remin Pro felt good on their teeth, almost as if a tooth conditioner.
What I have concluded as a hygienist and as a consultant is that Remin Pro is highly effective and has very noticeable results! I endorse Remin Pro and would highly recommend it for protection against sensitivity, erosion and demineralization. Additionally, it is especially helpful with ortho patients. The scientific proof and the clinical evidence is there and I recommend that you share this with your patients. RDH
Editor’s Note: This article’s preparation was supported by Voco America, Inc.
Elijah Desmond, RDH, BS, graduated from Ohio State University in 2009. After practicing briefly in Hawaii, he started a staffing agency before launching Back To The Basics, a consulting firm. He is a frequent speaker at dental meetings, and moderates the popular Facebook Group, Trapped in an OP. He is also the founder of Smiles at Sea, a conintuing education venue occurring primarily on cruise ships.
References
1. Rezvani MB, et al. “Nano-Hydroxyapatite Could Compensate the Adverse Effect of Soft Carbonated Drinks on Enamel.” The Journal of Contemporary Dental Practice., U.S. National Library of Medicine, 1 Aug. 2016, www.ncbi.nlm.nih.gov/pubmed/27659079.
2. Gmb H, VOCO. “Remin Pro (Not Available in CAN!).” Remin Pro (Not Available in CAN!) – Fluoride Products – Oral Care – Products | VOCO GmbH, VOCO, www.voco.com/us/product/Remin_Pro/index.html.
3. Ebrahimi M, et al. “The Effects of Three Remineralizing Agents on Regression of White Spot Lesions in Children: A Two-Week, Single-Blind, Randomized Clinical Trial.” Journal of Clinical and Experimental Dentistry., U.S. National Library of Medicine, 1 May 2017, www.ncbi.nlm.nih.gov/pubmed/28512540.


