Implant maintenance: Getting past the fear
In the years after I graduated, I had trepidation when seeing patients with dental implants. I worked in a general practice at the time, and my exposure to implants was limited. A variety of questions swirled through my mind: To probe or not to probe? Is plastic instrumentation necessary? How frequently should implants be radiographed? Is that bone loss around the threading? I am sure I was not alone with these feelings of uncertainty.
Five years ago, my career took an unexpected turn, and I accepted a position in a periodontal office. Dental hygiene is rooted in periodontal therapy and educating patients about optimal oral health, so I felt like I had hit a jackpot!
Over the last 40 years, implants have had a remarkable impact on restorative dentistry. Approximately 3 million people currently have dental implants, with an estimated 500,000 being placed each year in the United States.1,2 Implants are the best restorative option for single or multiple missing teeth and edentulous patients. The implant structure mimics roots and allows for minimal bone resorption, preservation of the alveolar ridge, and stimulation of bone growth.
Although an implant mimics the root of a tooth, oral care for implants varies from that of natural teeth. Because we know that tooth loss in adults is largely due to periodontal disease, many implant patients have a history of periodontal disease.3 At our office, we educate patients prior to the placement of an implant. Patient education and a maintenance program then continues years after the final restoration is completed. Implant maintenance programs are not a one-size-fits-all philosophy. There is a lot of conflicting information and varying theories on the best practices for implant maintenance.
To probe or not to probe
Whether or not to probe is one of the biggest areas of confusion surrounding implants. While working in different offices throughout my career, I found that some practices probe implants and others do not. So, which is correct? Do the benefits of probing implants outweigh the risks?
In natural teeth, gingival bleeding and tissue coloration are measures of periodontal health and must be used in conjunction with periodontal probing. Anatomically, the periodontium surrounding natural teeth and peri-implant tissues differ. Unlike natural teeth, the tissue surrounding the implants is connective tissue with a poor cellular quality and fibrous attachments running parallel to the implant. It is because of this vulnerable attachment that the probing debate exists.
There are three assessments that allow for an accurate evaluation of one’s periodontal status. Studies have demonstrated that the best method to evaluate peri-implant tissue is by collecting data from three of the five following methods: (1) bleeding upon probing, (2) suppuration, (3) probing depth, (4) radiographic bone loss, and (5) mobility.4
Research has suggested that any trauma to the epithelial tissue around implants during probing heals in approximately five days with no long-term trauma.5 Even though most research supports probing around implants, this is still a controversial topic. If probing around implants is not part of the periodontal protocol at your office, it is imperative that three out of the five methods for evaluating peri-implantitis are utilized to ensure a proper diagnosis.
Charting recession
Similar to natural teeth, any changes in the height of the gingival margin around implants needs to be notated. The implant threads become visible as gingival tissues migrate apically, making the exposed area more susceptible to plaque formation and gingival inflammation. Recession, in addition to the periodontal pocket depths, is taken into consideration when determining the amount of bone loss present around implants.
Instrumentation
Since an implant and implant crown are not natural tooth structures, plaque and calculus do not adhere to their surfaces like they do on a natural tooth. When patients have plaque around implants, I polish first. This is a quick way to debride the area, evaluate the tissue condition, and check for calculus.
Research has compared the use of plastic instruments, titanium instruments, and air polishing (AP) with glycine powder on both the smooth and rough surfaces of implants. Studies have shown that although plastic instruments cause the least amount of abrasion on the implant, they are the least effective in removing deposits. Titanium instruments should be used with caution, but they can effectively remove hard deposits. Recent research has demonstrated that AP with glycine powder effectively removes the biofilm around both implants and natural teeth. AP gains access to the threading on the implants that large, bulky scalers are not able to adequately reach, but AP is not recommended for the removal of calculus or residual cement.6 Ultimately, there is a need for a more concise recommendation of instruments that can safely and effectively remove hard deposits from implants.
Is that bone loss?
We recommend that radiographs of implants be taken once a year to evaluate bone height and periodontal health. When taking radiographs, it is important to capture a clear image that allows the dental practitioner to see below the apex of the implant. Ideally, the same technique should be used so that the radiograph can be duplicated at future exams. It is not uncommon to see implants with what appears to be early bone loss. But is it an indication that there is bone loss around the implant, or is it due to the type of implant abutment that was placed?
Aside from the shape of an implant, there are two types of implant abutment designs that are currently being used: platform switch implant abutments and nonplatform switch abutments.7 After an implant screw has been placed, the implant abutment is connected. This connection will either appear to be a seamless connection, or there will be a small platform below the abutment.
Implants with a nonplatform connection have a small microgap that opens as the implant flexes in the bone. These micromovements allow bacteria to collect in the microgap that is created with each movement. Typically, patients with nonplatform switch implants will have radiographic bone loss down the first or third thread. Healthy periodontium in patients with platform switch implants will typically have no radiographic bone loss along the crestal bone, because bacteria will sit above the bone height and natural biologic width is maintained. It is critical that dental clinicians have a basic knowledge of the different implant abutments in order to accurately assess the bone height around implants, thus avoiding a misdiagnosis of peri-implantitis.7
Peri-implant diseases
Peri-implant diseases specifically affect implants and the supporting structures around the implant. Peri-implant mucositis affects the tissues surrounding the implant. The tissue may be red, swollen, and tender. Similar to gingivitis, this condition is reversible if caught early.
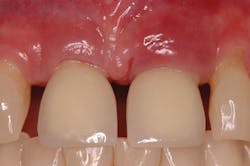
A patient who presents with bleeding upon probing, an increased probing depth, and red, swollen tissue, but no radiographic bone loss, should be diagnosed with peri-implant mucositis (figure 1). Peri-implant mucositis is treated with increased home care and more frequent recall visits.
Peri-implantitis is a chronic condition in which the peri- implant mucositis has progressed to peri-implantitis, and there is now the presence of radiographic bone loss or mobility.4 Patients who smoke, have periodontal disease, poor plaque control, and diabetes are at an increased risk for peri- implantitis and should be monitored closely. Treatment options for patients with peri-implantitis usually require surgical intervention. Any etiologic factors should be identified as soon as possible. Peri-implantitis and a lack of implant osseointegration have been identified as primary factors for implant failure.8,9
Maintenance and oral hygiene recommendations
Patient education is key to a successful implant maintenance program. Even prior to the placement of implants, patients need to be aware of the role they play in their dental treatment plan. Expectations should be discussed with patients and the referring dentist. At our office, we inform patients about each phase of the treatment—from the initial consult to placement of the implant crown at the general dentist’s office.
After the final restoration is placed, we ask patients to return for a quick exam and a final radiograph to ensure that the crown has been placed properly and that there is no residual cement. Patients will be asked to continue with regular cleanings and examinations. Implant patients with chronic medical issues—e.g., smokers (including vaping) or those with a history of chronic periodontal disease—should be monitored at closer intervals. This will ensure the highest probability of a successful implant treatment plan. At each maintenance visit, a plaque index (PI) is obtained to determine the effectiveness of the patient’s home care. The goal in our office is for patients to have a PI of 80% or higher plaque-free surfaces.
We recommend that all patients use an electric toothbrush with a small head as well as an interchangeable implant head. The implant head allows for better adaptation around the neck of the implant and allows the bristles to clean any exposed threading. Aside from dental floss, another useful oral hygiene aid is interproximal brushes. The size of the interproximal space should be taken into consideration when selecting the brush size to avoid creating any microscopic areas of abrasion.
Conclusion
Implant maintenance is a very complex topic. Implant companies may suggest that maintenance for their implants be performed one way, while research suggests a different maintenance protocol. I believe we need more consistent research on implant maintenance so the dental profession can establish a set of guidelines for how best to treat patients with implants. What is important to remember is that each implant is unique; they are shaped differently, placement in the bone varies, the presence or lack of disease is diverse, design of the final restoration differs, and bone height and tissue condition vary. Each patient and each implant are unique, but dental professionals will have a starting point at which to evaluate and treat implant cases with guidelines in place. Until then, it is our duty to continue to sift through the research and educate ourselves about implants and how to provide the best care for our patients.
References
1. Implants. American Dental Association. MouthHealthy website. https://www.mouthhealthy.org/en/az-topics/i/implants. Accessed July 21, 2019.
2. What are dental implants? American Academy of Implant Dentistry website. https://www.aaid-implant.org/dental-implants/what-are-dental-implants/. Accessed July 21, 2019.
3. Dhir S, Mahesh L, Kurtzman GM, Vandana KL. Peri-implant and periodontal tissues: a review of differences and similarities. Compend Contin Educ Dent. 2013;34(7):e69-e75. https://www.aegisdentalnetwork.com/cced/2013/08/peri-implant-and-periodontal-tissues-a-review-of-differences-and-similarities. Accessed July 29, 2019.
4. Froum SJ, Wang WCW. Risks and benefits of probing around natural teeth and dental implants. Compend Contin Educ Dent. 2018;39(1):20-25; quiz 26. https://cced.cdeworld.com/courses/5120-Risks_and_Benefits_of_Probing_Around_Natural_Teeth_and_Dental_Implants. Accessed July 29, 2019.
5. Todescan S, Lavigne S, Kelekis-Cholakis A. Guidance for the maintenance care of dental implants: clinical review. J Can Dent Assoc. 2012;78:c107. https://www.jcda.ca/article/c107. Accessed July 29, 2019.
6. Louropoulou A, Slot DE, Barendregt DS, van der Weijden GA. Prevention and treatment of peri-implant diseases: current evidence on cleaning of titanium dental implant surfaces. Int J Evid Based Pract Dent Hygienist. 2017;124(9):451-453. doi:10.5177/ntvt.2017.09.17161.
7. Rantanen S. What is platform switching and how does it work? Nobel Biocare website. https://www.nobelbiocare.com/blog/tips-and-techniques/platform-switching-dental-implants/. Published November 15, 2017. Accessed September 10, 2019.
8. Kate MA, Palaskar S, Kapoor P. Implant failure: a dentist’s nightmare. J Dent Implant. 2016;6(2):51-56. doi:10.4103/0974-6781.202154.
9. Peri-implant diseases. American Academy of Periodontology website. https://www.perio.org/consumer/peri-implant-disease. Accessed September 10, 2019.
About the Author
Melissa Van Witzenburg, MS, RDH
Melissa has been practicing dental hygiene for 23 years. She continues to pursue her passion by educating the aging population about oral health and systemic links. Melissa also works clinically in a periodontal office in the Chicagoland area. For more information, email her at [email protected].


