The effectiveness of interdental brushes
Does daily use contribute to the prevention of oral and systemic disease?
by Irene Esteves, RDH, MPH
The importance of plaque removal for the prevention of dental and systemic disease is becoming better understood by the general community. However, daily habits such as interproximal plaque removal have yet to be established by many people. Effective removal and disruption of plaque within the oral cavity is not achieved by simply brushing. Floss, which would be preferable to using only a toothbrush, is not used by the majority of the population on a regular basis. Therefore, other alternatives should be investigated as a means to maintain lower interproximal plaque levels.
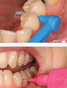
Interdental brushes serve as an alternative to flossing; they can be used daily and can be more effective for interproximal plaque removal than floss as suggested by a number of studies. Interdental brushes, depending on their size and shape as well as the surfaces of the teeth, can prove to be effective tools for reducing interproximal plaque.1 Other considerations include an individual's manual dexterity, how easy and fast a product is to use, and an individual's motivational level.
In a study investigating the effectiveness of manual devices (specifically that of TePe Interdental Brushes and Ultra Floss) in comparison to that of a mechanically automated Interclean Interdental Plaque Remover (Oral-B Braun), it was found that while both methods decreased the percent of plaque interproximally, manual devices were more effective in reducing interproximal plaque and bleeding, and interdental brushes were better accepted by the study population.1 Five different TePe interdental brush sizes were used during the investigation, which alludes to the importance of having access to multiple sizes of interdental brushes. Different sizes allow for access to different sites within the mouth, and the smallest interdental brushes would logically be more effective and relevant for those with healthy gingiva and smaller embrasures. As seen in the study, the use of interdental brushes on a daily basis allowed for the best results. Therefore, daily use of manual devices is supported by this particular study.
However, as mentioned, motivation is key to effectiveness. Therefore, the desire of individuals to use a particular product, in this case interdental brushes, will be an important component for continued use.
When comparing the manual devices of floss and interdental brushes, both can be useful in removing plaque from the interproximal space, especially in comparison to simply brushing.2 In a study comparing floss and interdental brushes, a one-month time period was given from the initial visit and data collection. At the one-month mark, it was determined that the mean difference for supragingival plaque for interdental brushes was 58.43 and 50.21 for flossing.2
As for subgingival plaque mean differences, interdental brushes were found to have a mean difference of 57.91 and 50.18 for dental floss sites.2 However, while these differences at visit two are not statistically significant, the majority of changes with the use of interdental brushes reached statistical significance as opposed to the majority of dental floss outcomes.2 Furthermore, use of the interdental brush resulted in slightly higher reductions of probing depth and bleeding.2 These changes in clinical signs show the effectiveness of the use of interdental brushes and suggest that inflammation also decreased with its use. One limitation to consider is that the study recognized that floss is unable to clean concavities on the proximal surfaces of the tooth. However, in this particular trial, concavities were not a key component of the investigation and therefore not fundamental in the conclusions.
Of the varying trials and studies comparing floss and interdental brushes, there are a number of slightly different conclusions. Therefore, it is advantageous to investigate an overview of the evidence. The February 2012 issue of the Canadian Journal of Dental Hygiene presented a systematic review in which they narrowed 62 publications to seven studies that met their criteria for evaluating interdental brushes and floss effectiveness. After assessing the data, they concluded similarly to the first of the studies already discussed, that motivation was a key element and that the ease of use of a product would affect one's motivation.3 The majority of the test study individuals did prefer interdental brushes as they found them simpler to handle. Test subjects favored using only one hand and felt that interdental brushes were more time efficient.3 From this systematic review, a flow chart of guidelines for patients with inflamed gingiva was created in which it was recommended that as well as for patients with good dexterity and type 1 embrasures, interdental brushes should be the product of choice for interproximal cleaning.3 The systematic review also concluded that interdental brushes were superior to floss in the reduction of bleeding and plaque within a four- to 12-week time period.3
One final study questioned the differences in effectiveness not only between floss and interdental brushes but also between toothpicks.4 The investigators acknowledged the idea that proximal sides of teeth usually have some curvature or concavity present.4 Therefore, when using the different methods, the effectiveness would vary, although at the very least, some proximal plaque would be removed with each approach.
In order to complete the comparisons, investigators of the study simulated the presence of bacterial plaque on the surfaces of extracted teeth and observed the differences in effectiveness of each device. Their findings showed that floss and toothpicks encountered more significant limitations on removing plaque, especially on the surfaces of the teeth that had concavities.4 Floss could be effective on flatter areas. Toothpicks, while potentially able to reach within the concavities, were limited by patients' ability to maneuver them between adjacent teeth and by challenges of individuals with manual dexterity.4 Interdental brushes were most effective as some of the bristles could press against the outer areas while other bristles could extend into the concavities as they are manipulated back and forth against the surfaces of neighboring teeth.4
When considering the evidence, interdental brushes can be accepted as the product of choice for interproximal cleaning of teeth. When concavities are present, interdental brushes can more effectively access the surfaces, and over time can assist in reducing interdental plaque, bleeding, probing depth, and inflammation. Furthermore, patient compliance seems more likely as many of the test subjects seem to prefer interdental brushes, and therefore, are potentially more motivated and willing to use the product and eventually develop daily habits of interdental cleaning to be used in combination with brushing.
Importance of Daily Plaque Removal
Much research has been completed in regard to plaque, its relationship to health, and the necessity of reducing its presence. Oral health is important as it can affect how we eat, speak, and simply feel on a daily basis, and lack of care can lead to discomfort and expensive and time-consuming treatment. Brushing and removal of interproximal plaque are important in the prevention of oral disease such as gingivitis, periodontitis, and caries. Furthermore, as more studies progress, the effects of oral health are slowly becoming understood as not localized to the mouth but also having an impact on systemic health.
In 2012, JoAnn Gurenlian investigated the importance of plaque, including its existence as biofilm and its relationship to oral diseases such as gingivitis, periodontitis, and caries, as well as the growing links to systemic health.5 A number of studies to which she referenced look at the relationship of plaque and diseases such as diabetes, cardiovascular and respiratory diseases, and even Alzheimer's and negative outcomes of pregnancy.5
Two of the most common diseases within the U.S., diabetes and cardiovascular disease,6 have growing evidence of a relationship with plaque within the mouth. Much of cardiovascular disease is evaluated in regard to the buildup of plaque within the arterial walls. This plaque has been found to contain bacteria which are identical to bacteria within the oral cavity. More specifically, Gurenlian lists periodontal related bacteria including P gingivalis, T forsythensis, and Prevotella intermedia whose antigens were found in atheromas.5 Therefore, it can be argued that reducing bacterial plaque within the mouth can be beneficial in the prevention of cardiovascular related disease as there will be a decreased chance of bacteria migrating from the oral cavity to the heart.
In regard to diabetic patients, good oral health must be maintained due to these patients having a higher susceptibility to contracting infection and increased difficulty in recovery and healing. Periodontal disease in itself can also upset the management of diabetes as it can affect glycemic control and therefore cause instability within the body.5
Keeping these thoughts in mind, it is advantageous to keep bacterial reservoirs such as ones in the mouth at the lowest levels possible in order to reduce chances of the development of disease. Regardless of age and medical history, prevention of infection from oral bacteria should be a priority. The methods are simple and the results are significant.
Important Instructional Information
While interdental brushes may not be as commonly known as floss for daily disruption of interproximal plaque, the evidence shows that if an individual uses the correct sized interdental brushes, is motivated, and uses them regularly, they may be quite beneficial in the prevention of dental disease. Moreover, the benefits of plaque reduction overall can improve long-term health as decreased bacteria in the oral cavity results in a reduction of possible systemic infection and complications.
Interdental brushes are found to be easier to use than floss for many individuals, which can be a factor in daily use. Likewise, interdental brushes may be more appealing than floss to those with limitations in manual dexterity or with larger hands. Interdental brushes can be used with one hand while versions with longer handles can limit the entrance of hands into the oral cavity.
There are also a variety of sizes of interdental brushes to accommodate most patients. For example, TePe USA offers interdental brushes, both angled and regular, at the smallest wire diameter size of 0.4 mm. Providing a range in interdental brush sizes allows for effective and individualized home care. Dental professionals can help instruct patients as to which brushes are best suited for their proximal cleaning. Smaller brushes can be used for smaller embrasures while larger brushes can help address problem areas, edentulous space, orthodontics, prosthodontics, and other characteristics that vary from patient to patient. Finally, patient education is necessary, especially in regard to choosing the correct sizes, how often to change the brushes, limitations on bending the wires, and overall technique. A dental health professional may also serve as a support person for continuing motivation of a patient. In summary, interdental brushes are a great alternative to flossing that dental professionals can offer to patients to improve their health.
References
1. Comparison between manual and mechanical methods of interproximal hygiene.
Schmage P, Platzer U, Nergiz I. Quintessence International Volume 30, Number 8,1999.
2. A Comparison of the Efficacy and Ease of Use of Dental Floss and Interproximal Brushes in a Randomised Split Mouth Trial Incorporating an Assessment of Subgingival Plaque. Noorlin I, Watts TL. Oral Health Prev Dent 2007; 5: 13-18.
3. The efficacy of interdental brushes on plaque and parameters of periodontal inflammation: a systematic review. Slot DE, Van der Weijden FA. Department of Periodontology, Academic Centre for Dentistry Amsterdam (ACTA), Amsterdam, The Netherlands. Dörfer CE. Clinic for Conservative Dentistry and Periodontology, Christian-Albrechts-Universität, Kiel, Germany Int J Dent Hygiene 6, 2008; 253–264.
4. Interproximal tooth morphology and its effect on plaque removal. Smukler H, Nager MC, Tolmie PC. Quintessence Int 1989:20:249-255.
5. The Role of Dental Plaque Biofilm in Oral Health. Gurenlian JR. American Dental Hygienists' Association | March 2012 http://www.cdeworld.com/courses/0009.
6. Chronic Diseases and Health Promotion. Centers for Disease Control and Prevention. 13 Aug. 2012. Web. 15 Sept. 2013.
Irene Esteves, RDH, graduated from the University of the Pacific in 2006 with a bachelor's degree in biological sciences and from the University of Southern California in 2010 with a bachelor's degree in dental hygiene and a master's degree in public health in 2012. Currently, she works in a number of dental hygiene sectors including private practice, education, public health, and corporate as an educational consultant of TePe USA. Irene stays active within the community by volunteering at local events and through her involvement with the Los Angeles Dental Hygiene Society as vice president of continuing education.
Past RDH Issues



