Preventing dental erosion in the pregnant patient
by Nancy W. Burkhart, RDH, EdD
[email protected]
Your patient today is Lily, who has just found out that she is less than two months pregnant. Lily has felt great up until the past week. She is having problems with morning sickness that is lasting most of the day with periods of vomiting totaling about five times a day. She reports that this begins in the morning and levels off by the evening. Lily is reluctant to take any medications, and her physician assures her that this will subside in a few weeks.
Lily is managing the bouts by watching her diet, eating some crackers in the morning, and limiting food items that have caused problems in the past. This is a first pregnancy, and she is asking your advice about managing the care of her teeth during the pregnancy.
As with chronic bulimia, constant vomiting will cause damage to the enamel of the teeth. In addition to bulimia, enamel damage exists due to the following: Consumption of sodas and sport drinks, occupational exposure such as pool maintenance workers, swimmers, battery factory workers, professional wine tasters, gastro-esophageal reflux disease, alcoholism, acidic foods, pica, and medications.
Morning sickness in pregnancy that continues for extended periods of time and increases the gastric reflux during pregnancy contributes to dental erosion. Some women have morning sickness that continues all day for the full three months (first trimester) and may experience this with multiple pregnancies.
We sometimes forget to let our pregnant patients know that the acidity from stomach acid is a PH of approximately 1 to 2. This acid can be very destructive to the enamel. Patients may not be aware that brushing the teeth following these events will cause erosion of the enamel. The hygienist is the best person to educate these women about steps that may be taken to minimize this damage.
The protocol listed in the sidebar provides some guidelines that assist the hygienist in providing counseling to the pregnant patient.
Most individuals will usually want to brush the teeth after vomiting to freshen the mouth and remove the residue. As with the patient who is bulimic, the enamel is softened and brushing removes enamel, ultimately making it much thinner, especially on the incisor edges of the maxillary teeth. As the assaults on the enamel occur throughout the day, more enamel is damaged. Encouraging the patient to rinse with water mixed with baking soda after vomiting to neutralize the stomach acid is optimal. Using a tongue cleaner to remove the residue left trapped in the papillae of the tongue surface will assist in reducing the acidic flora.
Other articles address the issue of gingival changes that do occur in pregnancy and also the periodontal issues related to pregnancy. Laine (2002) mentioned the salivary buffering capacity could change during pregnancy and create a more acidic environment. The flow rate has been shown to decrease in late pregnancy and cariogenic flora has been found to be modified during pregnancy. When coupled with morning sickness that occurs frequently, the damage to the enamel may be greatly increased.
Johnson et al. (2006) mention that obstetricians are aware of the association of pica in pregnant women, and this may be associated with low iron and zinc levels. Depending upon which food the pregnant patient is consuming, enamel damage may be increased when coupled with morning sickness and the acid environment. An example may be chewing ice or eating pickles in large quantities. This may add to the breakdown of enamel over extended periods. Johnson cites a case study in which the patient was purging to control her weight due to a fear of gaining too much weight during pregnancy.
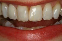
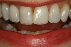
Figure 1 is a female who has enamel damage due to multiple pregnancies and severe morning sickness with each pregnancy. The patient brushed her teeth after each bout of vomiting.
Keep listening to your patients and always ask good questions.
The author has no affiliation with any of the products/manufacturers mentioned in this article.
References
Bartlett D. Intrinsic causes of erosion. Monographs in Oral Science 2006; 20:119-39.
Burkhart N. Bulimia. RDH, August 2008;28(8):58-64.
Burkhart N, Roberts M, Alexander M, Dodds A. Communicating effectively with patients suspected of having bulimia nervosa. J Am Dent Assoc. 2005;136;1130-1137.
Johnson CD, Koh SH, Shynett B, Koa J, Johnson C. An uncommon dental presentation during pregnancy resulting from multiple eating disorders: Pica and bulimia. Gen Dent. 2006; 54(3): 198-200.
Laine MA. Effect of pregnancy on periodontal and dental health. Acta Odontol Scand 2002; 60(5):257-64.
Nancy W. Burkhart, BSDH, EdD, is an adjunct associate professor in the department of periodontics, Baylor College of Dentistry and the Texas A & M Health Science Center, Dallas. Dr. Burkhart is founder and cohost of the International Oral Lichen Planus Support Group (http://bcdwp.web.tamhsc.edu/iolpdallas/) and coauthor of General and Oral Pathology for the Dental Hygienist. She was a 2006 Crest/ADHA award winner. Her website for seminars is www.nancywburkhart.com.
Preventing dental erosion during pregnancy
- After vomiting, rinse with water using 1 tsp of baking soda mixed with 8 oz of water.
- Rinse with water if there is no baking soda available.
- Do not brush the teeth for at least one hour. Brushing after the acidic challenge of stomach acid will accelerate enamel tissue damage.
- Use a soft-bristle brush to limit attrition. If morning sickness is chronic, a very soft brush is recommended such as the Biotene Super Soft Brush or the Oral-B Advantage Sensitive toothbrush, depending upon the needs of the patient.
- Encourage patients to drink water throughout the day to decrease the acidity level in the mouth.
- Sugarless gum with xylitol increases saliva flow and may balance the acidic environment.
- Suggest that the patient limit acidic beverages including carbonated beverages and acidic fruit juices.
- Suggest that the patient use a straw when consuming any beverage known to be acidic including sodas or fruit juice.
- Suggest that the patient mix a low-acid fruit juice with water instead of high acidic drinks or those with carbonic acid.
- Suggest that the pregnant patient use a tongue cleaner to scrape the tongue after vomiting to decrease the acidic environment that is retained in the tongue papillae. If residue is left in the papillae, the lingual surfaces of the maxillary teeth are bathed with the acidity as the hours pass.
- Suggest a sodium fluoride rinse and do not use acidulated phosphate fluoride or any acidic treatments (such as bleaching).
- Recommend that the patient use toothpaste such as ProNamel or PreviDent 5000 during the pregnancy to help with erosion.
Let the patient know that you are not using the pumice product that is normally used in order to reduce any abrasion. Polishing with toothpaste such as ProNamel or Biotene regular toothpaste is acceptable, but should be explained to the patient. Any nonabrasive toothpaste may be used and even some children’s brands are fine. In some cases, a prescription strength toothpaste such as PreviDent 5000 is optimal.
- Recommending a fluoride dental floss that may be used during the pregnancy will allow the patient to strengthen the interproximal surfaces.
- Patients report that acupressure wristbands assist in controlling the nausea in pregnancy. The bands are non-invasive and on the market in many health food stores or online through various companies. Acupressure Anti-Nausea Wrist Bands by MedicMates are available through Amazon.
Past RDH Issues

