Bulimia: Decreasing the damage to enamel
by Nancy W. Burkhart, RDH, EdD
[email protected]
Your patient today is Elizabeth, and she is a new patient in the practice. As you meet her in the waiting room, your initial impression is that she is a very nicely dressed, attractive woman who is approximately 40 years old. Although her health history is incomplete, she informs you that she is in good health and is in your office because she knows that she needs some restorative work completed. She also states that she is unhappy with the appearance of her teeth.
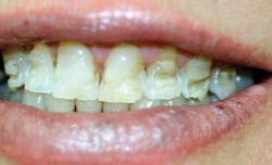
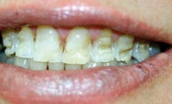
Veneers and composites were placed in a patient who had previously been diagnosed with an eating disorder and subsequently began bulimic practices again.
Elizabeth has had previous dental work completed, but tells you that it has been some time since she has been in a dental office. As you begin your assessment, you notice that she has some serious issues with the enamel of her teeth. Upon examination, she tells you that she had veneers with some composites and that they have all broken down and subsequently dislodged.
Elizabeth has a history of eating disorders, and the veneer restorations and composites dissolved due to the high acid caused by her bulimic habits. As you question her further, she tells you that when the veneers were placed, she had not been practicing bulimic habits for approximately five years. After a divorce occurred, she resumed the bulimic habits. Currently, she still has some bouts with vomiting/purging, but the habit is intermittent. The bulimic habit has been a problem since Elizabeth was an adolescent, and she has been in treatment centers several times. She also tells you that she is currently back in counseling and believes that she is making progress.
Eating disorders may be categorized as anorexia nervosa, bulimia nervosa, and eating disorders not otherwise specified. Other dysfunctional eating disorders have become recognized in society as well and continue to be on the increase. With so many cultural pressures promoting thinness, dieting, and body image, the rise of eating disorders has increased substantially – increasingly with men diagnosed – not just women – as well as women in midlife stages.
Differential diagnosis: Distinguishing erosion from self-induced vomiting is often difficult since the practitioner must try to sort out the etiology of the damage and often the patient may not be forthcoming. Some possible etiology for enamel damage may be:
- Gastroesophageal reflux disease (GERD)
- Alcoholism
- Sjögren's syndrome and irradiation to the head and neck that cause a reduction in salivary flow
- Use of agents to increase salivary production such as lemon drops and candies, chewable aspirin, chewing vitamin C tables, and antacid tablets
- Sodas and sports drinks
- Occupational exposure to acids (pool maintenance and swimmers, battery factory workers, and professional wine tasters)
- Pregnancy and severe morning sickness that may last for the first three months of pregnancy
- Alcoholism and certain medications are known to cause enamel damage through acidity and the promotion of xerostomia. Studies by Dynesen et al. (2008) reported a combination of lifestyle factors and impaired unstimulated whole saliva (UWS), stating that bulimia nervosa patients are often treated with antidepressants, which are known to cause xerostomia. In addition, induced vomiting, the misuse of laxatives, binge eating, and starch ingestion have been related to changes in the function of the salivary glands.
Dental implications: Treatment and restorative procedures will vary with each patient, but extensive cosmetic procedures are not practical in patients who have chronic problems with vomiting related to bulimia. Restorative work does need to be implemented to stop the destruction of the teeth when caries are present or tooth destruction is evident. Often, temporary procedures are performed until therapy is conducted and the dysfunctional practices are managed.
Astute clinicians should always be alert to the fact that eating disorders may recur. Being cognizant of not only newly detected cases related to eating disorders, but cases that recur in already diagnosed patients should be monitored.
Promoting acceptable, customized ways to assist the patient with eating disorders from further enamel damage is a required and necessary part of our role as an oral health-care provider. Neutralizing the pH of the oral tissues is very important in minimizing further destruction.
The following are suggestions for preventing further oral tissue damage.
- Custom-made trays and 1.1% neutral fluoride gel daily. Encouraging the patient to use the trays for five minutes daily while taking a shower provides some structure and timing.
- Following vomiting, rinsing with a mixture of 1 teaspoon baking soda mixed with 8 ounces of water will neutralize the hydrochloric stomach acids that damage the teeth. Rinsing with plain water is optimal when baking soda is not available to minimize the oral acidity.
- Brushing after vomiting will remove softened enamel and should not be conducted for at least an hour or more. Limit brushing to a manual soft bristle brush and 0.05% fluoride rinse may be used as well.
- The patient should be instructed in how to use a tongue cleaner. Tongue cleaners help remove trapped acid that remain in the papillae and can continue to bathe the lingual tooth surfaces as the hours pass.
- Encourage patients to use a straw when drinking any acidic fruit juice or beverage such as soda drinks.This process will direct the acid away from the teeth surfaces.
- Dental professionals should avoid harsh polishing agents such as pumice. Regular toothpaste or a desensitizing toothpaste is optimal for polishing.
- Reinforcing healthy foods is always beneficial for the patient. Sugarless gum promotes salivation and assists in removing particles left on the teeth. Additional rinsing with 0.05% fluoride rinse will harden the enamel as well.
- Reinforcing healthy foods is always beneficial for the patient. Foods such as cheese and other dairy products minimize acid destruction. Sugarless gum with bicarbonate promotes salivation, provides buffers, and assists in removing particles/acid residue left on the teeth. Mints with xylitol do not have fermentable sugar, stimulate saliva, moisturize, and freshen breath. Also available are the time-released adhering disks containing xylitol.
- Drinking water throughout the day also flushes the acidic residue from the oral tissues. The acidity of water is much less than that of fruit drinks and carbonated beverages. Recent study results indicate that root beer drinks are less acidic and may be less destructive to the enamel than other carbonated beverage choices (see the Missouri Dental Association's STP brochure at www.modental.org/docs/consumers/stp/stpbrochure.pdf).
Perioral and intraoral characteristics: Along with the usual hard tissue destruction associated with eating disorders, the soft tissues are often affected as well. Lesions in the palate are often an indication that the patient may be using an object such as a finger, a comb or other device to induce vomiting, and related signs in the soft tissue may occur long before the actual loss of the enamel that becomes evident within a couple of years.
The force and the acidity of the vomit causes irritation of the soft tissues – especially the oropharngeal tissue. The fact that the vomiting is usually performed multiple times during the course of a day is a constant assault on these tissues. Evidence of soft tissue changes allows dialogue to begin with the patient as an attempt to rule out other etiology. An added bonus results in the fact that the eating disorder may be managed quickly before the actual damage to the enamel is evident.
Treatment: Establishing a relationship with a patient is important in the long-term progress of treatment for that patient. When trust is developed, the long-term prospects for treatment increase greatly, and further damage of the teeth can be decreased due to compliance by the patient. The patient will also be more likely to keep future maintenance appointments and also to adhere to the guidelines presented by the professional health-care providers. Effective communication is crucial since patients with bulimia are not readily open to discussing their disorders. A practice that respects confidentiality and is viewed as crucial by all the staff members is especially important in developing trust with all patients.
Hague (2010) suggests that patients at risk such as adolescents, female athletes, and young women with diabetes be screened for eating disorders as suggested by the American Pediatric Association. Using a five-question standardized form is recommended. Hague points out that the oral health-care provider is usually the first person that is in a position to detect the oral changes that occur as a result of disordered eating practices.
Therefore, dental professionals can be instrumental in referring the patient to a psychologist, psychiatrist, licensed clinical social worker, or a licensed professional counselor. These professionals are knowledgeable about treatment centers in various areas of the country when needed and can assess the psychological needs of the patient.
As always, keep asking good questions and always listen to your patients!
References
Burkhart N. Bulimia. RDH, August 2008;28(8): 58-64.
Burkhart N, Roberts M, Alexander M, Dodds A. Communicating effectively with patients suspected of having bulimia nervosa. J Am Dent Assoc. 2005;136;1130-1137.
Dynesen AW, Bardow A, Petersson B, Nielsen LR, Nauntofte B. Salivary changes and dental erosion in bulimia nervosa. Oral Surg Oral Med Oral Pathol Oral Radiol. Endod. 2008;106(5):696-707.
DeBate RD, Tedesco LA, Kerschbaum WE. Knowledge of Oral and Physical Manifestations of Anorexia and Bulimia Nervosa Among Dentists and Dental Hygienists. J Dent Educ 2005;69:346-54.
DeLong L, Burkhart NW. General and Oral Pathology for the Dental Hygienist. Lippincott, Williams & Wilkins. Baltimore, 2007.
Goebel-Fabbri AE, Fikkan J, Franko DL, Pearson K, Anderson BJ, Weinger K. Insulin restriction and associated morbidity and mortality in women with Type 1 diabetes. Diabetes Care 31:415-419, 2008.
Hague AL. Eating disorders:screening in the dental office. J Am Dent Assoc 2010: 141;675-678.
Hoek HW, van Hoeken D. Review of the prevalence and incidence of eating disorders. Int J Eat Disord 2003;34:383-96.
Veneers and composites were placed in a patient who had previously been diagnosed with an eating disorder and subsequently began bulimic practices again.
Nancy W. Burkhart, BSDH, EdD, is an adjunct associate professor in the department of periodontics, Baylor College of Dentistry and the Texas A & M Health Science Center, Dallas. Dr. Burkhart is founder and co-host of the International Oral Lichen Planus Support Group http://www.bcd.tamhsc.edu/outreach/lichen/ and co-author of General and Oral Pathology for the Dental Hygienist. Her Web site for seminars is www.nancywburkhart.com.
Past RDH Issues

