Laser Whitening
The argon laser works well with bleaching gels during whitening procedures — yet another signal that lasers have a place in the future of dentistry.
by Robyn Cabral, RDH
This article focuses on using lasers for whitening teeth. By now, many hygienists have heard of, or have used a Diagnodent — a laser that a clinician can use to detect dental decay.
Laser stands for "light amplification by stimulation and emission of radiation." This type of radiation is nonionizing. Hence, the term emission. The name is said to come from Gordon Gould, who, in a notebook, wrote rough calculations on the feasibility of a laser in 1957. In 1966, Leon Goldman of UCLA was the first to use a laser clinically on enamel and dentin.
Ordinary visible light has multiple wavelengths, and is non-directional and non-focused. This means that visible light scatters easily and does not produce precision energy, so it takes a lot more energy to produce the result. Laser light is typically one color with a specific wavelength. It is highly focused and directional with organized, efficient energy.
As lasers are capable of producing the exact wavelengths required, the same energy can be delivered using a laser with lower power in a shorter period of time, giving the added benefit of less heat and potential damage to the surrounding tissue. Each dental laser has specific wavelengths for specific clinical treatments.
Argon laser
For purposes of this article, I will be speaking about the argon laser. The wavelength for this particular laser is 488 nm. This laser has been used in my company and I have been performing this procedure for approximately three years. When I was initially introduced to lasers, I began reading every article and publication about them. The Academy of Laser Dentistry has great educational opportunities and lectures, and I quickly gained knowledge in laser dentistry.
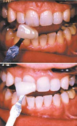
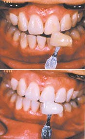
The argon laser is a very smart light, and I soon learned that I could really help my clients with their deep intrinsic stains. At this particular juncture, we still use a bleaching gel to interact with the laser light. This helps the laser light ablate stain molecules and, because I am working with a light source that does not produce heat, I am able to keep the pulp inside the tooth from reacting.
The argon laser works on absorption and a photochemical reaction with the gel. The stain molecule is lightened with this photochemical reaction and is also ablated with the argon laser.
Recently, at a laser conference in Tucson, Ariz., I was able to speak with Joel White from the University of California-San Francisco. He is one of the top scientists in the world of laser dentistry. He spoke about the process of the photons in the direct beam. The photons are oscillating so rapidly that the energy produced is able to be highly selective to its target — in this case, the stain molecule. This occurs only with laser light. I have also been successful in having this procedure take minimal time to complete — approximately 90 minutes from start to finish.
Safety issues
The Argon Laser Med 3000 use has been FDA approved for whitening teeth since 1996. In February 2000, the Dental Auxiliary in California was able to place bleaching gels on the teeth. Thanks to the Academy of Laser Dentistry, strict educational guidelines have been set to increase user awareness around any safety issues or applications.
The biggest safety factor for any laser user is protective eyewear for both the patient and the laser operator. Each wavelength has a specific eyewear requirement for each use. It is strongly recommended that at least one safety officer is trained in each laser used in the office. This laser safety officer can go over the safety factors with all of the staff. The laser safety officer is the keeper of the key, goes over the manufacturer's manual, and knows exactly what to do if anything undesirable should occur with the laser.
The argon laser does not remove hard or soft tissue; therefore, I have nothing to dispose with particulate fibers. The argon laser is a light source that only needs a wavelength between 457 nm and 502 nm to produce the results. I always place a "laser in use" sign in full view of any and all staff and clients. Lasers are very safe when used by a trained professional, and there are many dedicated instructors who train dental professionals in this area.
Application and protocol
I have been a practicing dental hygienist for 20 years. In my own application of the dental laser in the past year, I can say unequivocally that I have perfected the protocol to minimize any additional use of gels in every case that I have. Each patient is unique in the stain molecules that are deposited — different types of stain with different depths. Because lasers produce a narrow beam of light, I can utilize this procedure with bleaching gels in approximately 51 minutes. There are several steps for prepping and finishing my patient's cases.
I take a "before" and "after" photo of my patients so they can see the dramatic results. They can use their whitening tray to touch-up as needed for each individual case. Therefore, anytime my patients need to help lighten the stain molecules, they are able to do so in a short period of time.
After each laser appointment I apply a fluoride to my patients' teeth. The main reason for this is because fluoride allows remineralization of the enamel. Using my 35 percent gel, I am able to assist my patients with dramatic results. Therefore, the amount that is needed is greatly reduced.
I would like to share with you several testimonials from my patients about the procedure itself.
- "I had given up on having a white smile. I had deep antibiotic stains on my teeth and I was never relaxed in a dental chair. During this procedure, I feel asleep in the chair, and when I looked at my teeth, I could not believe the results. It was fantastic." — Heather Nelson, Lake Elsinore, Calif.
- "Talk about a painless event — I remember floating off into the music I was listening to. It seemed like such a short time and we were done. I always had such dark teeth. I never knew they could look so good." — Rick Stogner, Huntington Beach, Calif.
- "Other procedures didn't seem to work for me. I always had different layers of color on my teeth. I am in the public eye a lot and I never realized how much I protected my smile." — Dori Vance, Orange County, Calif.
- "I just had my braces off and my teeth were very spotty. I still have my new white smile posted on my refrigerator." — Amanda Dixon, Murrieta, Calif.
I am here to say that lasers in dentistry are the future for the industry. I thank the Academy of Laser Dentistry and Dr. Don Coluzzi for the faith and persistence he had, as well as the vision to formulate regulations for hygienists in laser use in California. Education is the key to the expanding door from which all of us can benefit. So dream the dream, expand the dream, and be all that you can be.
Robyn Cabral, RDH, has been practicing for more than 20 years. She is a member of the Academy of Laser Dentistry. She has certification in two separate laser applications, and is working towards three more in the upcoming year. She may be contacted by email at [email protected].
At least eight other lasers are in operation for dentistry:
- Alexandrite
- Argon (This is the particular laser I use for laser whitening)
- Hene
- Diode
- NdYag
- HoYag
- Erbuim
- CO2 Laser


