Tooth Whitening and Total Patient Care
by Reneé A. Marks, RDH, MS
Has a dental procedure ever commanded as much attention from the public as the current tooth-whitening phenomenon? Consumer media articles and advertisements remind patients daily to brighten their smiles, creating a demand for a cosmetic dental procedure that is within reach of the average budget. The low cost of over-the-counter (OTC) products and their retail availability make them accessible to the masses. Even in-office or dentist-prescribed take-home procedures are affordable. They are among the least expensive of all esthetic procedures performed by dental professionals, and are significantly less expensive than any medical/surgical cosmetic procedure. When we combine the low costs, strong advertising, and the sheer presence of individuals seeking youthful appearances with the air-brushed images of Julia Roberts, Britney Spears, or Brad Pitt, dental professionals know that some challenging expectations have been established.
By providing the rationale for professional monitoring of treatment, as well as the latest information about tooth-whitening options, this article will assist the practitioner in harnessing the current enthusiasm for whiter teeth, obtaining the best possible outcomes, and managing the patient's expectations in the context of total dental care.
Living up to expectations
When patients walk through the door of your office, many of their perspectives are based on what the media is telling them. Advertisements sell the idea of tooth whitening in the same manner as nail polish or hair coloring; it is an inexpensive way to improve your looks and your life. In a recent article for Retail Industry, Melody Vargas reports that Leonard Lauder, Chairman of the Estee Lauder Companies, states that over the years, the company has noted that as the U.S. economic prospects decrease, the sales of lipstick increases. This may be because lipstick is a low priced luxury item that helps folks to feel good in difficult times. Today, as patients shift their shopping from high-end department stores to discount chains, they may be shifting their medical cosmetic dollars from the high-end surgical face-lift to more affordable whiter teeth.
The question for the dental professional to ponder is, "What convinces patients to choose your services for professional whitening over the retail store version of a similar product?" Perhaps it is because when patients walk into your office they place the responsibility for the outcome in your hands. In essence, they are saying to you, "I am willing to pay you five to ten times more money for your care, skill, and judgment because I trust you and expect you can achieve the best outcome while assessing any risk to my teeth."
With the responsibility to produce the same kind of results with tooth whitening as we have been able to achieve for our patients with other procedures in our practices, we must understand the treatment options and potential outcomes.
It is important that both the dental team and the patient understand that tooth whitening is a part of a total esthetic, preventive, and restorative treatment plan that is commensurate with the patient's expectations. For example, vital night-guard whitening without consideration of other dental issues may be very successful and achieve absolutely wonderful results under the right circumstances. On the other hand, stains due to amalgam restorations, fluorosis, pulpal trauma, white spots from febrile illnesses, hypocalcification, erosion, or mottled enamel require a more sophisticated treatment than a to achieve biologically sound and esthetic result.
A simple question
A simple question on your office's medical/dental history form — "Are you satisfied with the color of your teeth?" — provides a lead-in for the patient who may be uncomfortable asking your advice on how to look more appealing. This question opens the door for patients to express their esthetic or cosmetic concerns. It provides you with the opportunity to discuss the difference between a self-administered OTC whitening product and an office-supervised professional treatment plan. It also gives you the opportunity to evaluate the type of stain, the existing restorative materials in the mouth, the health of the gingival tissues, and other factors that may affect the treatment outcome. Because dental restorative materials do not respond to peroxide whitening, failure to have this discussion prior to rendering treatment may result in disappointing esthetic results or the need to redo anterior restorations such as veneers, crowns, or composite restorations after the whitening treatment.
Whether it is the dentist, dental hygienist, or dental assistant, the entire staff should fully understand and be able to articulate the following points when discussing whitening options with the patient.
• Safety — Most of 500-plus research-based and published articles that have been written attesting to the safety of the whitening/bleaching procedure are based on the premise of adherence to proper protocol during dentist-supervised treatment. Issues such as over bleaching, reaching the saturation point for enamel, effect on restorative material bond strength, and soft tissue management are but a few of the considerations to discuss in advance with a patient as you recommend their whitening be supervised in your office.
• Managing sensitivity — In a professionally monitored whitening treatment plan, the dental professional is available to help with complications, the most common being sensitivity. Despite claims that some bleaching products do not create tooth sensitivity, double-blind clinical studies have shown that sensitivity occurs in 55 to 75 percent of treatment groups. Treatment with a 2 percent neutral sodium fluoride gel, such as All Solutions™ (Dentsply Professional), applied with a tray before or after the bleaching session, has been reported to successfully reduce sensitivity to the active whitening ingredients.
Orthodontic forces, due to a poorly fitting tray, can also cause sensitivity. This problem can be avoided if the tray is constructed with reservoirs and is made of soft material. The tray should be scalloped and adjusted to not impinge on the gingival or soft tissue, creating sore spots. Patients should be instructed to bring the tray to the office at each evaluation appointment so any adjustments can be professionally performed.
If the sensitivity is not be relieved by any of the above methods, the patient should reduce the amount of time the tray is worn at each treatment session, or adopt an every-other-day treatment schedule.
The outcomes of bleaching are highly dependent on the time the product is in contact with the tooth and the concentration of that product. It is important to select a professional whitening product where there is a choice of peroxide concentrations, such as Nupro White Gold™ Tooth Whitener (Dentsply Professional), available in 10 percent carbamide peroxide and 15 percent carbamide peroxide with fluoride. This gives the practitioner the option to choose the lower concentration or a fluoride-enhanced product for those patients who, despite a history of sensitivity problems, desire whiter teeth.
When the patient experiences sensitivity after beginning the whitening process, the practitioner has the following options:
• Have the patient switch to the lower concentration product during treatment
• Shorten the time that the tray is worn
• Alternate whitening days with a self-administered neutral sodium fluoride treatment.
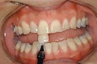
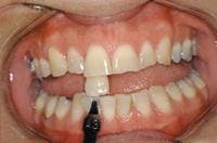
An additional option is a "bump up" method where the patient starts with the lower concentration and gradually works up to tolerating a higher concentration product. Because whitening is a result of the amount of time that the tray is worn and the concentration of the product, the patients experiencing sensitivity will still have the ability to produce the same successful outcomes, but it will take just a little longer (Figure 1).
Selecting a whitening system based on the patient
A complete understanding of the dental treatment plan and psychological needs of your patient is important before recommending a whitening protocol. The following are the whitening treatment options and the indications for recommendations:
• In-office bleaching or boost — Immediate and dramatic results are often just what the more discriminating consumer desires. This would include people for whom finances are less of an issue and who have little time or patience to incorporate bleaching trays into a daily routine. The need for whiter teeth may be urgent, as in the case of a bride-to-be or a public personality.
In most cases, these needs can be met most satisfactorily with in-office bleaching. The in-office products may range from 15 to 35 percent hydrogen peroxide. Patients for whom dental sensitivity is already an issue may not respond well to high concentrations of peroxide or to those in-office products requiring the heat of the light activation. The concentration will cause tissue irritations or first degree burns unless proper precautions are taken. For the gel type of products, a regular or "paint-on" rubber dam is applied to protect the tissue. In the case of one product on the market, Illumine in Office Tooth Whitener™ by Dentsply, a light is not required (eliminating the heat) and the material has a consistency similar to rubber base impression material, so it has unique handling capabilities. Further, this consistency allows the practitioner to control the exact placement of the material within the tray and the ability to remove any excess with ease, thus eliminating the extra steps of a tissue isolation procedure. All of the professionally available products can be supplemented with a take-home regimen of the lower-concentration carbamide peroxide products if additional shade changes are desired.
• Dentist-prescribed take-home bleaching — Dentist-prescribed take-home products are probably the most conservative and predictable, and, therefore, most utilized by practitioners. The cost is less than in-office procedures and the concentration of peroxide is lower, yet this method gives the dental professional the ability to continually assess the progress. Dentist-prescribed take-home treatment provides the opportunity to deliver services as part of a total treatment plan and to monitor safety and comfort, all at a reasonable cost to the patient.
The active ingredient is generally carbamide peroxide or hydrogen peroxide at various concentrations, which is carried in a variety of flavored viscous forms. Carbamide peroxide has been on the market since the 1980s, and most of the original studies backing the safety, effectiveness, and stability of whitening were conducted using carbamide peroxide. Nupro White Gold™ Tooth Whitener, manufactured by Dentsply, is one example of a carbamide peroxide product.
At home, during the whitening process, the carbamide peroxide product is placed in the custom tray fabricated by the dental professional. It can be worn during the day or at night. As with in-office methods, the results are professionally monitored and a part of total dental care. The patient returns to the office periodically for professional supervision. Dentist-prescribed take-home bleaching meets the needs and has the best benefit/cost ratio for a large segment of patients.
• Bleaching with OTC products — The OTC delivery systems vary from paint-on to adhesive strips to night guards, but the active ingredients in the OTC products are similar to the dentist-prescribed take-home products. Consumers spend millions of dollars a year on these products at retail outlets. For the patients with a perfect Class I occlusion, brown/yellow stain, little need for additional dental treatment and who are extremely careful in following the manufacturer's protocol, these products have met with success. Benefits of this method are simply cost and convenience for the patient. Although these are not minimal benefits, the risks for the patient are higher than with the other methods.
OTC products are unregulated and their use is unsupervised. The pH of the product can be too low and enamel damage could result. The "boil and bite" trays are "one size fits all" and this can lead to a poor fit and tissue damage. A large prefabricated tray, poorly contoured, can also fail to contain the peroxide, causing further tissue irritation and product ingestion. Finally, for many patients, the result of bleaching is never satisfactory. These "bleach addicts" continue to use the product after the saturation point has been reached, which can cause degradation of the enamel and, eventually, loss of tooth structure.
Patients who have misaligned teeth patients require professionally fabricated trays. With misaligned teeth, OTC products applied in strips may not adhere properly and "boil and bite" trays may not adapt properly.
Other OTC products, such as toothpastes and chewing gum, do nothing more than clean and brighten the extrinsic surfaces of the tooth. The research does not support their effectiveness for improving internal discoloration.
Advertising and marketing firms have made quite a case for the use of dental whitening products, while dental professionals know that cosmetic dentistry of any nature should be part of a comprehensive dental treatment plan. Combining whitening with other appropriate treatment ensures the clinical result is biologically sound as well as esthetically pleasing. The challenge to every member of the dental staff is to establish the respect and trust of each patient. This can be accomplished when the entire professional team is knowledgeable about the modalities and proactive in assisting the patient with esthetic choices.
As professionals, we have the knowledge and responsibility to assist patients with making their choices in the context of overall dental health. The clerk at the drug store or supermarket is not going to see the customer's whitening treatment as part of total patient care that begins with a comprehensive exam, including caries, periodontal and cancer screening, and includes a total esthetic, preventive and restorative treatment plan. Because whitening is an easy-to-implement procedure desired by most patients, and several options are available to meet the patient's specific needs, it can be a great practice builder that provides patients with affordable positive results.
References available upon request.
Reneé Marks, RDH, MS is a clinical educator for Dentsply Professional. She is a graduate of the University of Pittsburgh School of Dental Hygiene and received her master's degree from the Pennsylvania State University. She lectures nationally on the topics of tooth whitening, prevention, ultrasonics, and air polishing.
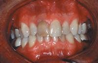
Brown/yellow stainThis is the most likely stain to respond to treatment and often shows dramatic whitening results in a short period of time. Brown/yellow stain usually responds well to any of the whitening procedures discussed in this article, provided there is a lack of active dental disease, Class I occlusion, and few cosmetic restorations.
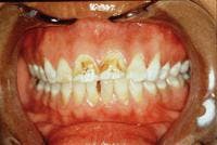
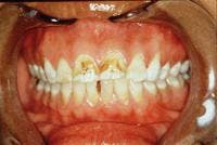
Blue/gray family, particularly tetracycline-induced stain





