Technique Guide: Tokuyama's Bond Force & Estelite Sigma Quick
By Howard S. Glazer, DDS, FAGD
Adhesive resin dentistry is not difficult. Especially when you have materials that help insure an excellent result. Tokuyama's 7th generation adhesive, Bond Force, and their low shrink micro hybrid composite resin, Estelite Sigma Quick are just such materials. Bond Force, available in either a bottle or unit dose is a strong adhesive using a 3D self-reinforcing monomer that releases fluoride and has a remarkably low film thickness of only 8 microns. It requires only one application and photocures in only 10 seconds.
Estelite Sigma Quick (ESQ) has a unique initiator system ("Radical Amplified Photopolymerization Technology") which allow for shorter curing times and great stability in ambient light. ESQ is available in 20 shades (including opaque shades) and is a wonderful composite for attaining and maintaining aesthetic results over a long period of time. It can be used both in the anterior and posterior dentition and is highly polishable while maintaining its glossy sheen. Moreover, it has an excellent chameleon quality that allows it to blend naturally with the existing and surrounding enamel shades. In many cases, only one shade is necessary to achieve an aesthetic result. This 100% spherically filled supra-nano composite is highly sculptable and non-sticky which allows for easy placement whether using a syringe or PLT (Unidose).
These two cases illustrate the versatility of these materials.
CASE 1
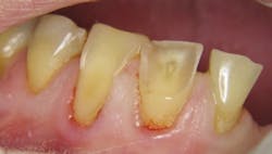
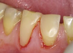
The patient presented with chronic wear and enamel erosion on the facial aspect of the lower right cuspid and first premolar (figure 1). Remarkably, the patient did not experience any sensitivity, and there was no pulpal exposure on the cuspid. Bevels were placed on the margins and Bond Force was applied. After photocuring the Bond Force, the facial aspect was restored using only one shade (A3) of Estelite Sigma Quick, contoured and polished (figure 2).
Figure 2: Post treatment: facial aspect restored with only one shade of ESQ.
CASE 2
In this case the patient has fractured the mesial aspect of a previously resin restored tooth abutting a ceramo-metal crown (figure 3). The prior restoration was completely removed and the enamel margins beveled. A Contact Perfect Matrix Band (Arnel Dental Products) was placed followed by Bond Force (figure 4). The darkened areas in the dentin were first restored with ESQ OA3 and photocured. Subsequently, the Contact Perfect protocol was followed and the tooth was restored with ESQ Shade A3, finished and polished (figure 5).
More Proofs Current Issue Articles
More Proofs Archives Issue Articles







