Granulomatosis with polyangiitis
Granulomatosis with polyangiitis, formerly known as Wegener’s granulomatosis, is a rare disease in which the blood vessels are inflamed, and this damages the kidneys, lungs, nose, throat, and sinuses.1 This disease is difficult to diagnose due to how rare it is, and it usually begins by affecting the upper respiratory tract.2 There are approximately nine cases per one million people, with more prevalence in Caucasian patients, and the exact cause is unknown.3
Symptoms include sinus pain, nasal discharge, frequent nosebleeds, nasal ulcerations, and inflammation in the ear. Orofacial and oral manifestations include “strawberry-like” gingival enlargement, facial paralysis, parotitis (inflammation in the parotid glands), perforation of the palate, and ulcers that affect the buccal and lingual mucosa as well as the tonsils and floor of the mouth.4 These lesions can present for long periods of time before multiple organs are involved.3 It is important as clinicians to be aware of these symptoms as they can be the initial signs in someone with granulomatosis with polyangiitis, and can be a crucial aspect of their diagnosis. To receive a definitive diagnosis, positive biopsies and a positive test for the antineutrophil cytoplasmic antibody (ANCA) blood test are necessary.3
After a positive diagnosis, immediate treatment is necessary as the disease has a high mortality rate if left untreated, with renal failure being the most common cause of death. Because treatments are long-term, the risk for severe side effects is high, including bladder cancer, lymphoma, hemorrhagic cystitis, and bone marrow suppression. Due to the risks, methotrexate or azathioprine are frequently substituted for cyclophosphamide. The need for consistent follow-up appointments is imperative due to the risk of relapse and renal failure.3
My mother-in-law’s story
I recently spoke with my 66-year-old mother-in-law about the Wegener’s diagnosis she received 21 years ago. When it started, she frequently presented to her primary care physician for chronic sinus and ear infections and was referred to an ear-nose-throat (ENT) specialist. After a misdiagnosis of mastoiditis and no positive response to treatment, she was referred to a specialty hospital, where she spent 27 days.
She was misdiagnosed a second time with an undescribed bacterial infection. By then weighing only 97 pounds, she underwent IV treatments, and her kidneys began to fail. Her medical team was still at a loss, and they referred her to another specialty hospital where she met with an intern in renal care who mentioned that she had four of the five symptoms of granulomatosis with polyangiitis. She immediately underwent an ANCA blood test and a biopsy of her lung tissue to confirm this diagnosis.
She was then referred to Duke University Hospital for a drug study that included chemotherapy and steroids. Within 24 hours, she showed improvement. After two years of treatments, she went into remission and remained on a maintenance dose of Bactrim and steroids. She underwent blood tests every six months, and in 2011, she experienced a “flare.” Her rheumatologist increased her prednisone dose significantly, which put her back in remission. In 2015, she presented to the ENT, and he found an 8 mm hole in her septum, a clinical sign indicating she was no longer in remission.
Because this disease is no longer treated with chemotherapy, my mother-in-law began IV biologic immunotherapy treatments with Rituxan and higher doses of prednisone. In 2016, she went back into remission. She is currently on maintenance doses and receives Rituxan infusion treatments every few months while continuing blood tests to learn if she’s close to another relapse.
What can hygienists do?
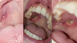
As dental hygienists, it’s important to be aware of the clinical signs and symptoms of granulomatosis with polyangiitis, as well as any other condition. See figure 1 for recent examples of a granulomatosis with polyangiitis patient who is only 24 years old. Although my mother-in-law never presented with any oral lesions, we should be aware of these symptoms because an early diagnosis could determine a patient’s prognosis. Due to the high prednisone treatments, the risk of becoming immunosuppressed is increased, and this can greatly affect the gingival tissue and a patient’s healing process. This is one of the many reasons we should attain a medical history and medication update at every dental visit. Educating and encouraging patients to practice good oral hygiene is extremely important to their oral and systemic health.
Editor's note: This article appeared in the October 2021 print edition of RDH.
References
- Mayo Clinic. Granulomatosis with polyangiitis. Mayo Foundation for Medical Education and Research. 2020. https://www.mayoclinic.org/diseases-conditions/granulomatosis-with-polyangiitis/symptoms-causes/syc-20351088
- Kubaisi B, Abu Samra K, Foster CS. Granulomatosis with polyangiitis (Wegener's disease): An updated review of ocular disease manifestations. Intractable & rare diseases research. 2016;5(2):61-69.
- Sung IY, Kim YM, Cho YC, Son JH. Role of gingival manifestation in diagnosis of granulomatosis with polyangiitis (Wegener's granulomatosis). J Perio Implant Sci. 2015;45(6):247-251. https://doi.org/10.5051/jpis.2015.45.6.247
- Apoita-Sanz M, Blanco-Jauset P, Polis-Yanes C, et al. Granulomatosis with polyangiitis (Wegener's granulomatosis): Orofacial manifestations. Systematic review and case report. Oral Health Prev Dent. 2020;18(1):929-943. doi:10.3290/j.ohpd.a45433
About the Author

Chelsea Pettus, BSDH, RDH
Chelsea Pettus, BSDH, RDH, attended Lone Star College before attending the dental hygiene program at Coastal Bend College. She graduated hygiene school in 2011 and has been a clinical hygienist for a private practice in The Woodlands, Texas, ever since. Pettus received her BS in dental hygiene from Texas Woman’s University, where she’s currently in graduate school for a master’s in health studies. She enjoys educating others about oral hygiene and has a true passion for patient-centered care and interacting with others.
