NeoDrys, flaps, and neem floss
by Kim Miller, RDH, BSDH
NeoDrys
There is nothing worse than needing a dry field for a procedure and being unable to sustain one. Try NeoDrys. According to the manufacturer, they provide parotid saliva control for up to 15 minutes. The super absorbent core of the shield retains moisture as a gel when in contact with saliva. The moisture-proof backing, made of medical grade poly netting, gently adheres to the buccal mucosa and releases with water spray. NeoDrys come in two color-coded sizes, large (blue) and small (yellow). They are available with the original white backing, or with a reflective, light-enhancing, mirrorlike finish designed to brighten the oral cavity.
NeoDrys have a patented Comfort Edge that helps keep patients comfortable, while the poly stiffener insert provides enough rigidity to keep the cheek out of your way. NeoDrys are useful during sealants, composite placement, cementation, CAD/CAM preps, and just about any procedure where a continuous dry field is needed.
NeoDrys have received two awards — The Editors' Choice Award 2012, which is The Dental Advisor's highest rating, and the Townie Choice 2011 award in the most absorbent category.
NeoDrys' advantages at a glance:
- No loose fibers left behind
- Saves time/money by eliminating moisture contamination for up to 15 minutes
- Super absorbent, outlasting cotton rolls and other pads
- Complete comfortable coverage of the parotid orifice/buccal mucosa
- Comfort Edge to keep patients comfortable
- Cheek retraction, poly stiffener insert provides rigidity
- Flexible, tapered design accommodates cheek movement
- Stays in place/removes easily with water spray
- Reflective backing provides light reflection into oral cavity
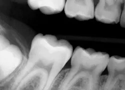
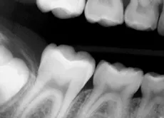
Film and sensor flaps
Digital sensors have many advantages over traditional X-ray film. One of the downsides is the lack of flexibility, which often results in an incorrectly positioned exposure, such as this example of a bitewing (Fig 1). If this is a challenge for you or you are looking for a time saving way to take X-rays, check out Flaps. Made of soft polyethylene, latex-free foam, they come in two sizes, original and long. Flaps can be used for horizontal or vertical bitewings and any periapical exposure. They accommodate all sizes of film and sensors — #0, #1, and #2.
Flaps features at a glance:Visit www.microcopydental.com to learn more or to order from your dealer.
I'm excited to tell you about certified organic Neem dental floss manufactured by Organix South. Neem oil (from a tree in the mahogany family) has been shown to reduce bacteria and plaque.1 In mint and cinnamon flavors, the vegan wax floss is coated with organic neem leaf, neem bark, grapeseed, licorice, fennel, clove, and peppermint. Neem floss is sulfate free, fluoride free, paraben free, cruelty free, and contains no artificial colors or flavors. Try it and let me know how you like it. Visit www.organixsouth.com.
As always, email me with your product review suggestions at [email protected]. RDH
References
1. Pai MR, Acharya LD, Udupa N. Evaluation of antiplaque activity of Azadirachta indica leaf extract gel – a 6-week clinical study. J Ethnopharmacol 2004;90:99-103.
KIM MILLER, RDH, BSDH, is the co-founder of PerioFrogz.com, an information-based website providing free current oral-systemic research summaries and patient education downloads. Kim is also a coach with Inspired Hygiene, delivering customized hands-on training. She speaks internationally, writes articles and webinars, and enjoys clinical dental hygiene. Kim lives in Arizona and welcomes you to contact her at [email protected].
Past RDH Issues


