What is the cause of enamel loss? Exam process examines impact on oral health
A good friend of mine recently traveled to Hawaii for a vacation and experienced a sting by a sea urchin. Unless this happens to you or someone you know, it sounds very mundane, right? Apparently, this spiny creature leaves the spines deeply embedded in the foot or hand.
The best way to treat this happens to be a large pan of vinegar that is used for several days as a soak. Soaking the embedded spines, which are mostly calcium carbonate, in vinegar dissolves them. Using a tweezer only causes the spines to break off into smaller pieces. Eggs have been used in science experiments to show the dissolution of the shell in a jar of vinegar liquid over a period of time (egg shells are made of calcium carbonate as well). So, what does this have to do with tooth erosion and oral pathology?
There is a trend right now to use vinegar as a weight-loss technique. The person uses a shot glass and consumes vinegar once or twice a day. This is seen more often now in the United States, but it has been practiced in some countries for hundreds of years. Some publications tout the use of vinegar as being beneficial in controlling digestive issues such as GERD. The idea presented is that we do not produce enough acid as we age, and the added vinegar adds to acid in the GI tract to aid digestion.
Gastroenterologists do not promote this treatment and warn patients about using vinegar in this way. If the dental professional notices thinning enamel, are we asking the questions related to vinegar use as well as other causes listed in this column?
Huysmans et al. (2011) describe both erosion and erosive tooth wear: “Erosion is a partial demineralization of enamel or dentine by extrinsic acids. Erosive tooth wear is the accelerated loss of dental hard tissue through the combined effect of erosion and mechanical wear (abrasion and attrition).”
Bruxism falls into this category of mechanical wear. Any acid below 5.5 pH can dissolve the hydroxyapatite crystals in enamel. GERD is known to produce dental erosion and halitosis (Marsicano et al. 2013). Patients complaining of halitosis should be questioned about GERD. The connection with tooth enamel changes is often not evaluated in its earliest forms.
Erosive tooth wear has increased noticeably in children, young adults, and adolescents during the past few decades. At one time, soda consumption was not an issue, nor was the bleaching craze in existence that we are witnessing in recent years (Willershausen et al. 2014).
The combination of acidic food/beverage consumption with low pH, acidic products used in the mouth, bleaching of teeth, GERD, bruxism, or disordered eating practices may be promoting a faster, more noticeable dissolution of the enamel.
When the enamel is softened by acidity, habits such as bruxism, improper brushing, or even gastroesophageal issues make the enamel less able to combat damage. The dietary habits of society have changed as well. More fiber-rich, crunchy foods are consumed, and when used on soft enamel, there is more destruction of the tooth surface. Willershausen et al. state that other foods contain vinegar as well, such as mustard, ketchup, salad dressings, and pickles, to name a few.
Willershausen conducted an in vitro study to assess the enamel damage observed with European vinegars. The use of these expensive vinegars is also currently trendy with certain groups on an international level. Five vinegars were selected in this study, and the vinegars were evaluated on extracted third molar teeth. The pH of the five vinegars ranged from 2.7 to 3.9. Depth levels were measured using the micro-electron probe. The loss of enamel due to Bio vinegar and raspberry vinegar led to a significantly higher loss of minerals than all other tested vinegars.
The authors concluded that the erosion potential was evident but cautioned against transfer to in vivo from the in vitro results. Even though detectable losses occurred with the vinegar in general, tooth erosion does occur over a lifetime, and some buffering capacity from saliva protects the teeth to some degree. These vinegars are used frequently on all types of salads and may be consumed several times a day.
However, what about those individuals who are using shot glasses of vinegar, or those who drink the liquid throughout the day for weight loss purposes? Are they drinking the vinegar before they leave for work and then brushing soft enamel after consumption of the product?
Or, with the new diet craze using selected types of vinegar on salads, are we adding to the possibility of enamel damage? If you couple this with bad habits such as bruxism or others on the provided list, are patients experiencing more enamel damage than we really know (see sidebar)?
Reports of clinical characteristics similar to GERD destruction and disordered eating practices seem to be increasing. The teeth may appear dull, smooth, and increasingly thin. Over time, this may not even be noticeable to the patient. The whitewashed appearance that is found in disordered eating practices may not even be evident to a clinician in the early stages. Once seen, it is usually not forgotten.
Dialogue with patients
Ask the patient about complaints of halitosis. Patients who have long-term, untreated GERD often experience halitosis. This could be a chief complaint from the patient. Ask the patient about a chronic bad taste in the mouth and chronic bad breath. A Halimeter is often used to assess this complaint.
Does the patient constantly chew gum? This may be related to GERD due to a bad taste in the mouth. Gum chewing may occur when the patient is trying to quit smoking as well.
Ask the patient about the use of vinegar products and lemon products. “Do you use lemon in your tea or glass of water?” “Are you using vinegar for weight loss?” “Do you use vinegar products?”
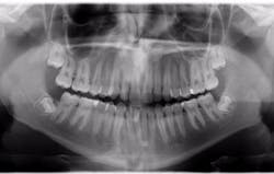
Image of a radiograph with evident loss of enamel in mandibular first molar.
Is there evidence of bruxism? Nervous habits also promote bruxism. This is usually obvious when talking to a patient. Watch for muscle tension.
Show the patient the areas of concern. Show the patient an image of a tooth with normal anatomy and compare it with the loss of anatomy in the patient’s teeth.
A food diary for a week is always a great idea. Patients may be using more acid-producing food and beverage products than they really know. Some phone apps can assist with this documentation. HealthLine Media and EngergizeForLife.com publish articles with lists for both low and high acidic foods. The articles could be helpful to those patients suffering with GERD.
An oral medicine perspective
Assisting our patients in total health is our optimal goal. The foods that we place in our bodies have a major effect on all mechanisms such as weight control, dental health, mental health, and cellular health. Taking the time to help patients in assessing enamel loss clinically is well worth the effort and time spent. Many health issues are derived from body inflammation, lack of exercise, and poor food choices.
Watching societal trends will assist us in optimal dental health for our patients and in making the correct dental recommendations. The current trend for the usage of vinegar, lemons, and other acidic products is damaging the enamel in many patients and should be on our radar. Recommending the correct
dental products that will lower the erosive nature and acidic components of the mouth is crucial.
As always, listen to your patients and continue to ask good questions!
Author acknowledgement: The images with this article are provided by Carol Perkins, RDH, BA, AS. Carol is a practicing clinical hygienist in the San Francisco area.
Sources of enamel destruction and tooth sensitivity
- Bleaching products when used persistently over time
- Soda products
- Sugar products
- Apple cider vinegar use (for weight loss)
- Eating disorders and purging
- Frequent vomiting during pregnancy (usually during first trimester)
- Bruxism (excessive grinding especially during sleep)
- GERD
- A very acidic diet (many foods are acidic such as coffee and popular vinegars)
- Certain medications
- Juices
- Chewable vitamin C
- A lactovegetarian diet
- Wine consumption or wine tasters
- Chlorine treated pools frequently used by swimmers
- Lemon juice/fresh lemons used throughout the day in drinking water
- Abrasive dental products
RDH
References
1. Huysmans MCDNJM, Chew HP, Ellwood RP. Clinical studies of dental erosion and erosive wear. Caries Res 2011;45(suppl 1):60-68.
2. Magalahaes JG, Marimoto AR, Torres CR, Pagani C, Teixeira SC, Barcellos DC. Microhardness change of enamel due to bleaching with in-office bleaching gels of different acidity. Acta Odontol Scand 2012 March;70(2):122-6.
3. Marsicano JA, de Moura-Grec PG, Bonato RCS, de Carvalho Sales-Peres M, Sales-Peres A, de Carvalho Sales-Peres SH. Gastroesophageal reflux, dental erosion and halitosis in epidemiological surveys: a systematic review. Eur J Gastroenterol & Hepatol.2013, 25(2):135-141.
4. Ogura K, Tanaka R, Shibata Y, Miyazaki T, Hisamitsu H. In vitro demineralization of tooth enamel subjected to two whitening regimens. J Am Dent Assoc. 2013 Jul;144(7):799-807.
5. Vargas-Koudriavtsev T, Herrera-Sancho OA. Effect of tooth-bleaching on the carbonate concentration in dental enamel by Raman spectroscopy. J Clin Exp Dent. 2017;9(1): e101-6.
6. Willershausen I, Weyer V, Schulte D, Lampe F, Buhre S, Willershausen B. In vitro study on dental erosion caused by different vinegar varieties using an electron microprobe. Clin. Lab. 2014;60:783-790.
4. http://www.healthline.com/health/acid-foods-to-avoid?m=2
5. https://www.energiseforlife.com/acid-alkaline-food-chart-1.1pdf
About the Author
Nancy W. Burkhart, EdD, MEd, BSDH, AAFAAOM
NANCY W. BURKHART, EdD, MEd, BSDH, AAFAAOM, is an adjunct professor in the Department of Periodontics-Stomatology, College of Dentistry, Texas A&M University, Dallas, Texas. She is founder and cohost of the International Oral Lichen Planus Support Group (dentistry.tamhsc.edu/olp/) and coauthor of General and Oral Pathology for the Dental Hygienist, now in its third edition. Dr. Burkhart is an academic affiliate fellow with the American Academy of Oral Medicine, where she also serves as chair of the Affiliate Fellowship Program Committee. She was awarded the Dental Professional of the Year in 2017 through the International Pemphigus and Pemphigoid Foundation, and she is a 2017 Sunstar/RDH Award of Distinction recipient. Her professional interests are in the areas of oral medicine and the relationship between oral and whole-body health, with a focus on mucosal disease and early oral cancer detection. Contact her at [email protected].


