Photos that do all the talking: Why intraoral cameras are essential to patient education
Educating our patients is a vital role we play in achieving oral health. Visual aids are essential to allow the information to be accessible and to the patient. In fact, 83% of the population learn and retain more when visual aids such as photos are used when explaining a new concept.1 Implementing an intraoral camera will allow the dental professional to clarify, establish, and coordinate specific concepts that will create urgency for treatment.
Clinical studies (Araujo MR) evaluated the effects of using an intraoral camera during periodontal therapy.2 The goal of the study was to determine the psychological, behavioral, and clinical effects of utilizing an intraoral camera. This particular intraoral camera study was conducted with the SoproCare (Acteon).
The study involved a total of 78 adult patients who divided into two groups (with the intraoral camera and a control group).2 Through the evaluation of the patients once a week, during the appointment, and four mouths later the study determined that the use of a camera “improves the clinical, behavioral, and psychological determinants of periodontal health four months after treatment.”3
Implementing intraoral cameras
Intraoral cameras are best implemented when each room has its own camera, preventing the clinician from having to search for it. Utilizing the computer or additional monitor will allow the clinician to enlarge the image and describe the condition of the tooth. Educating patients with an image of their particular teeth will increase the level of engagement and begin the conversation for providing a solution.
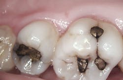
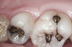
For example, if a patient is skeptical that they need to replace an amalgam restoration, show the patient the stress lines, wear, and discoloration, comparing the condition to a healthy restoration. Capturing photos of the current condition of the teeth will allow the patient to better understand their state of oral health.
Intraoral images are a powerful educational tool that clinicians can use to discuss treatment options with a patient.
Capturing photos
When capturing the photos, gently rest the camera on the opposing tooth. This will allow the camera to be more stable, resulting in a focused image. Create a system of which quadrant will first be photographed. Having a system of capturing this will allow the clinician to be effective and efficient with numbering the teeth in the image, which leaves more time for educating the patient.
To effectively utilize the camera, take a of photo of each tooth, and each surface should be captured, especially when establishing a baseline for comparing future photos. Photos can be used as a baseline to demonstrate the progression of the issue.
Begin the conversation when focusing on prevention, and create a powerful educational experience to promote patient compliance.
Once the images are captured, label the teeth in the photo to allow for easy assessment at future dates. Intraoral images should be taken at least once a year, demonstrating updates with visible changes in the tooth or tissues. The initial or baseline photos can be compared as the tooth changes and be used to educate the patient on why treatment is necessary.
Visually documenting the patients’ specific risks, such as leaking restorative margins, stress fractures, and inflamed gingiva increases urgency for the recommended treatment.
Additionally, photos should be taken during treatment, before and after treatment to allow the patient to see the processes of treatment. The intraoral photos serve as a powerful way to educate the patient and they can be used when communicating to insurance companies.
Photos increase compliance
Utilizing the camera to show the patient their bleeding pocket, inflamed gingiva, coated tongue, or any other signs of unhealthy tissue can be used as a foundation for change in the patient’s home-care regimen. Educating with the photo of the patient’s specific oral cavity will allow them to take greater ownership in the state of their oral health. Describing the patient’s current tissues to that of healthy tissue will aid in creating healthy oral hygiene habits. Images can also be used to praise the patient and encourage them in the results they have achieved with implementing the providers homecare recommendations.
Dr. William W. Oakes, DDS, reported that his case acceptance rate rose to 90 percent when he began implementing an intraoral camera protocol for the office.4 Incorporating an intraoral camera increases the patients understanding of the diagnosis of the tooth. As dental professionals, our goal is to aid our patients in achieving oral health, therefore increasing chairside acceptance is pivotal to keeping our patients healthy. Take your chairside education to the next level by implementing an intraoral camera into your daily patient education.
References
1. Ghutlam S et al. Impact of Visual Aids in Enhancing the Learning Process Case Research: District Dera Ghazi Khan. Journal of Education and Practice. November 19. 2015 ISSN 2222-175. Accessed March 1.2017.
2. Araujo MR, Alvarez MJ, Godinho CA, Pereira C. Psychological, behavioral, and clinical effects of intra-oral camera: a randomized control trial on adults with gingivitis. Community Dent Oral Epidemiol 2016. © 2016 John Wiley & Sons A/S. Published by John Wiley & Sons Ltd.
3. Hyerle D. Thinking Maps: Visual Tools for Activating Habits of Mind. 2011. Available at: http://www.watchmelearn.com/video-modeling/research-and-expert-opinion. Accessed March 1, 2017.
4. Oakes W. What do you mean you don’t need an intraoral camera? Available at: http://www.dentaleconomics.com/articles/print/volume-87/issue-1/features/what-do-you-mean-you-dont-need-an-intraoral-camera.html. Accessed March 2, 2017.
About the Author

Amber Auger, MPH, RDH
Amber is a dental hygiene clinician, international speaker, and hygiene director who specializes in nonsurgical periodontal therapy, heart-centered education, and efficiency. Through her signature program, Thrive in the OP and Thrive Chairside Summit, she equips hygienists with evidence-based systems to elevate patient outcomes, confidence, and production. Amber blends clinical expertise with practical strategies to help dental teams implement sustainable, science-driven protocols. She can be reached at amberauger.com.


