Focus on implant home care
Before, during, and after restoration
by Susan Wingrove, RDH
Good oral hygiene must take place before, during, and after placement of dental implants to ensure the health of the implant. Patients are concerned about what kind of maintenance their implants will require. Do they brush and floss their implants like regular teeth? Does food get underneath the fixed implant bridge or prosthesis? Patients look to their hygienists to address these concerns and help them with an individualized home-care routine.
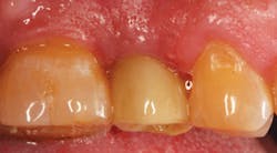
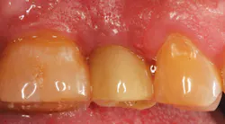
The tissue surrounding the implant should appear pink, firm, and keratinized with no signs of infection. The peri-implant soft tissues (permucosal seal) that separates the connective tissues surrounding the implant from the outside environment should be keratinized tissue (see Figure 1). The absence of keratinized tissue has been documented to be more susceptible to pathogenic bacteria thus leaving the implant vulnerable to peri-implant disease.1 The success of the implant depends directly on the health of this seal, and the hygienist's goal is to educate the patient on how to obtain keratinized tissue and maintain a healthy permucosal seal.
This reinforces the point that home-care must begin immediately and, if possible, before the implant is placed to maintain a healthy field and for optimal healing.
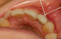
Once the implant is exposed to the environment, loaded (occlusal forces) and restored (see Figures 2a, 3b) a salivary pellicle is formed followed by bacteria with the formation of biofilm.2,3 The elimination of 85% of plaque/biofilm on a daily basis is critical to the overall health of the implant.4
Hygienists can prepare patients by providing home-care recommendations based on the individual treatment case. This begins with post-surgical home-care guidelines to ensure the patient feels comfortable and confident until they return for routine implant maintenance.3 (see Table 1). Always verify recommended guidelines with the implant surgeon's recommendations.
Knowledge of the implant titanium surface is necessary to fully understand what oral hygiene recommendations and products to present to patients. After 1990, a definite switch from smooth titanium alloy surface to a rougher implant surface transpired, which has proven to accelerate osseointegration. The addition of surface coatings to create roughness with plasma spraying, grit blasting, and etching has also proven to raise the bone-to-implant contact and accelerate osseointegration.5-7
To help the patient protect their implant(s), their investment, patients need to be aware of the following key points on choosing safe home-care products. First the product (for example, toothpaste or gel) needs to be low-abrasive to not scratch the surface of any exposed surfaces of the implant (exposed threads, for example). Avoid dentifrice with stannous fluoride, sodium fluoride (APF >3.0), baking soda, stain removers, and smoker's toothpaste.
---------------------------------------------------
Consider reading:
- Historical breakthroughs in the dental implant revolution
- Dental implant therapy in the future
- Guided implant surgery: Making sure dental implants are safe, predictable, and efficient
---------------------------------------------------
Companies are researching low–abrasive dentifrices that are effective yet safe for implants, natural teeth, and completely edentulous implant patients (Colgate, Procter & Gamble, and Rowpar among others). Ramberg et al. reported that Colgate Total in a double-blind, randomized, parallel-group clinical (in vivo) trial with 59 participants concluded that brushing with Colgate Total twice daily reduces bleeding on probing adjacent to implant sites in a three- and six-month period with proven results of reducing plaque bacteria to help prevent peri-implant disease.8
Secondly, products should not irritate the permucosal seal,9 or corrode and/or etch the titanium.10-11 A high fluoride concentrate of > 3.0 sodium fluoride, combined with a low PH, will remove the oxide layer on implants and can make the titanium surface anti-corrosive. Once this layer is removed, the implant is prone to corrosion. Stannous fluoride can cause etching, roughness on implants, and their esthetic restorations.
What toothbrushes and interdental products are best to use with implants?
Several studies have been conducted regarding what type of toothbrush is most effective for implants. The results show no significant difference between sonic, electric, or manual toothbrushes. The main focus needs to be on adaptation to the prosthesis and the patient's dexterity. Instruct the patient to brush the implant(s) twice daily to remove bacterial plaque with a low-abrasive dentifrice. A soft toothbrush should be used; options include a manual brush, electric, or sonic brush (examples include Oral-B Triumph, Sonicare, and Waterpik Sensonic Plus), Sulcabrush, or end-tuft brush.
Nylon coated interdental brushes/ proxabrushes are also an excellent alternative to clean especially tight and hard-to-reach areas around implants and prostheses. Nylon only interdental brushes (no metal wire) are necessary to prevent scratching the implant or prosthesis. The interproximal brushes such as I-Prox P or I-Prox Plus work extremely well and can be dipped in non-alcohol antimicrobial rinse or gel. It is extremely important to brush under, around, and in the peri-implant crevice circumferentially (see Figures 3a-c).
Floss
There are many types of floss on the market, and generally it is highly recommended to use unwaxed tape or implant-specific floss in order to protect the tissue surrounding the implant. Alternatively for a bar-retained prostheses, full fixed retained prostheses, or wider interproximal spaces, a floss threader or a specialized floss that has a built-in threader is necessary (see Figures 4a, b).
To floss the implant, use dental tape and insert the floss in contacts on both sides of the implant. Wrap in a circle and crisscross in front, switch hands, and move in a shoe-shine motion into the peri-implant crevice, which is highly susceptible to inflammation/peri-implant disease due to biofilm1 (see Figures 5a, b).
In addition, antimicrobial mouth rinses may be recommended, especially if inflammation is present or if the patient has dexterity problems, and difficult-to-reach areas. If the patient is prone to inflammation, the use of an antimicrobial rinse, in conjunction with a rubber tip stimulator, may be recommended to inactivate bacteria substantive.12
Oral irrigators/Water Flossers
It is highly recommended for patients to use oral irrigators for the reduction of plaque/biofilm, inflammation, and hard-to-reach emergence profiles around implants13,14 (see Figure 6a). Instruct the patient to use a nonmetal tip one to two times daily, and, if inflammation is present, add a diluted non-alcohol antimicrobial rinse (chlorine dioxide or chlorhexidine gluconate).
Studies using oral irrigators with implants for oral hygiene reveal that Waterpik Water Flosser is the only oral irrigator to date to be proven safe and effective with dental implants.15,16 A study was conducted to compare rinsing with 0.12% CHX to using a Waterpik oral irrigator with 0.06% CHX. The irrigation group using the soft rubber tip (PikPocket Tip, see Figure 6b) at lower pressure was 87% more effective in reducing bleeding and three times more effective in reducing gingivitis than the rinsing group.15
Another study of oral irrigation and floss revealed that the Waterpik Water Flosser with the standard tip with three bristle filaments (Plaque Seeker Tip, see opening page) used at medium pressure around implants was 81% more effective in bleeding reduction compared to 33% using floss.16 These specialized tips are very effective for implants and to deliver anti-microbial rinse around difficult-to-reach prostheses (All-on-4, full-fixed prosthesis, for example) in a prevention of peri-implant disease.
Water irrigation in conjunction with diluted non-antimicrobial rinse has proven to be extremely helpful for full-fixed and removable prostheses to remove daily biofilm and prevent inflammation if used on a daily basis. Waterpik makes a compact Traveler Water Flosser unit, which is my personal favorite to recommend ensuring patients continue their home-care routine at home and away (see Figure 6c).
Stimulators
Stimulators are coming back into vogue with implants and regenerative procedures. Remember healthy keratinized tissue is the key to a healthy permucosal seal surrounding the implant. Stimulators are the ticket to achieve this, particularly in full-fixed, supra-structure implants, as well as implants that retain over-dentures (bar-retained implants). Examples of stimulators are rubber tip stimulators producted by multiple manufacturers and Soft Picks by Sunstar Americas (see Figures 7a, b).
Instruct the patient to place the tip of the rubber-tip stimulator so it lays flat against the gum tissue, not poking in the tissue, with pressure roll to massage and stimulate the tissue. The tissue will blanch or change to a lighter color when the correct pressure is applied.
A generalized home-care routine for implants is listed in Table 2 to be modified to individualize the patient's home-care routine. For an All-on-4 full-fixed case, add the use of a water irrigator unit twice daily with a non-alcohol antimicrobial mouth rinse in 1:10 dilution to the home-care guidelines.
For removable prosthesis, the patient should use the guidelines in Table 3. Note that a specific denture cleaner may be recommended for the overdenture. Plaque and bacteria can also accumulate on the inside of the overdenture, causing wear to the attachments and oral–systemic health complications for the patient. Educate the patient on how to do a visual check for attachments (O-rings, locator caps, and clips) and the importance of these attachments for retention. If attachments are worn or missing they will need to be replaced. O-rings and locator caps should be replaced once a year and clips as needed.17
Hygiene tip: Note the color and attachment type (O-ring, locator or clip) and record in the patient's chart (see figure 8).
For implants with peri-implant disease, mucositis, and/or implantitis, follow the home-care guidelines, but add antimicrobial therapy. Use Soft Picks, interdental, end-tuft or Sulcabrushes dipped in non-alcohol antimicrobial rinse or CHX gel (compounded by compound pharmacies). "Soak" or apply the antimicrobial to the infected area twice daily and continue with this protocol until three to six week re-evaluation.
This article gives the latest home-care products available currently; however, the technology and implantology is constantly changing. Research and evaluate home-care products that are safe with clinical research done on implants. Patients rely on their dental professionals for recommendations on what products to use and to present them with a safe daily home-care routine. RDH
SUSAN WINGROVE, RDH, is an international speaker and practicing dental hygienist who does regeneration research for Regena Therapeutics, and instrument design for Paradise Dental Technologies, Inc. She is the co-designer of the Wingrove Titanium Implant Set, ACE probes, and Queen of Hearts instruments. She is a member of the Academy of Osseointegration, American Dental Hygienists' Association, International Federation of Dental Hygiene, and The Implant Consortium. She is an published author on implant dentistry, including textbook for Wiley-Blackwell publishers; Peri-Implant Therapy for the Dental Hygienist: Clinical guide to Maintenance and Disease Complications. She is the founder and CEO of Wingrove Dynamics.
References
1. Greenstein G, Cavallaro J. The clinical significance of keratinized gingiva around dental implants. Compend Contin Edu Dent. 2011; 32:24-31.
2. Subramani K., Jung R.E. Molenberg A. & Hammerle, C.H. Biofilm on dental implants: a review of the literature. Int J of Oral Maxillo Implants 2009; 24:616-626.
3. Wingrove, S. Peri-Implant Therapy for the Dental Hygienist: Clinical Guide to Maintenance and Disease Complications. Wiley-Blackwell 8:2013.
4. Kracher CM, Smith WS Oral health maintenance dental implants. 2010; Mar-Apr, 79(2):27-35
5. Carlsson L, Rostlund T, Albrektsson B, et al. Removal torques for polished and rough titanium implants. Int J Oral Maxillofac Implants. 1988; 3(1):21-24.
6. Gotfredsen K, Berglundh T, Lindhe J. Anchorage of titanium implants with different surface characteristics: an experimental study in rabbits. Clin Implant Dent Relat Res. 2000; 2(3):120-128.
7. Ivanoff CJ, Hallgren C, Widmark G, et al. Histologic evaluation of the bone integration of TiO (2) blasted and turned titanium micro implants in humans. Clin Oral Implants Res. 2001; 12(2):128-134.
8.Ramberg P., Lindhe J, Botticelli D, et al. J Clin Dent 2009;20:103-107
9. Yukna R. Optimizing clinical success with implants: maintenance and care. Compend Contin Educ Dent. 1993; 15:S554-S561.
10. Nakagawa M et al. Effect of Fluoride concentration and PH on corrosion behavior of titanium for dental use. J Dent Res 1999:78(9): 1568-1572
11. Matono Y et al. Corrosion behavior of pure titanium and titanium alloys in various concentrations of Acidulated Phosphate Fluoride (APF) solutions. Dent Mater J. 2006 Mar; 25 (1):104-112.
12. Esoposito M, Worthington HV, Thomsen P, Coulthard P. Interventions for replacing missing teeth: maintaining health around dental implants. Cochrane Database Syst Rev 2004;3:CD003069
13. Goyal CR, Lyle DM, Qaqish JG, Schuller R. Evaluation of the plaque removal efficacy of a water flosser compared to string floss in adults after a single use. J Clin Dent. 2013; 24(2):37-42.
14. Gorur A, Lyle DM, Schaudinn C, Costerton JW. Biofilm removal with a dental water jet. Compend Contin Educ Dent. 2009; 30(spec no 1):1-6.
15. Felo A, Shibly O, Ciancio SC, et al. Effects of subgingival Chlorhexidine irrigation on peri-implant maintenance. Am J Dent. 1997; 10(2):107-110.
16. Magnuson B et al. Water Flosser vs. Floss: Comparing reduction in bleeding around implants. J Dent Res 92(Spec Iss A):#3761, 2013
17. Staubli P, Bagley D. Attachments and implants reference manual, 8th ed. San Meteo, CA: Strong Design, 2007.
Table 1
Post-surgical implant placement home-care guidelines
- Drink only clear liquids; a soft diet is recommended for the first few days.
- Take all prescribed antibiotics to prevent infection.
- Take prescribed pain medication as needed for pain.
- Use an extra-soft toothbrush twice daily to clean pre-existing teeth or other implants, being careful to avoid the surgical incision area. If patient uses an ultrasonic or electric toothbrush, wait one to two weeks.
- Clean between teeth once a day throughout the entire mouth except at the surgical site.
- Avoid wearing the temporary prosthesis provided or denture to let the gum tissue heal (if the implant was not immediately loaded).
- If recommended, use saltwater rinses or non-alcohol antimicrobial mouth rinse two times daily.
Table 2
Implant Home-Care Guidelines
- Brush twice daily with low-abrasive dentifrice.
- Floss with dental tape (mesial/distal and facial/lingual) in shoe shine motion or use a water flosser one to times daily.
- If recommended, use interdental brush, rubber tip, soft picks, and/or water irrigation unit one to two times daily.
- If inflammation present use non- alcohol anti-microbial rinse and/or add to water irrigation unit in 1:10 dilution.
Table 3
Removable Prosthesis Guidelines
- Remove the prosthesis (overdenture) daily to soak in specific cleaner for recommended time only.
- Do a visual check of O-rings, locator caps, and clips. Alert dental professional if worn or missing, to be replaced.
- Remove the prosthesis from the cleaner and brush the underside with denture brush, being careful not to damage the attachments.
- Rinse off the prosthesis thoroughly with water and/or non-alcohol antimicrobial rinse.
- Rinse mouth with antimicrobial for 30 to 60 seconds and reinsert the overdenture into place.
Past RDH Issues










