Tips for working around a lingual permanent retainer
Isn’t it interesting that depending on where you live or what age of patients you see, you’ll see different styles of dental work? I recently started seeing patients in a new office in a different town, and with that, a new set of patients. New patients mean different specialists. One of the big changes I’ve noticed is a different type of permanent retainer. Have you noticed this if you’ve switched offices or areas?
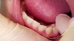
No matter what permanent retainer your patient presents with, they’re one of my least favorite parts of patient treatment. They’re a bit cumbersome, always have lots of buildup around them, and never look as perfect as I’d like them to when the patient treatment is complete.
After years of working around them, here are a few helpful tips I’ve been applying to make the calculus removal process around a permanent retainer go as smoothly as possible (pun intended).
1. Make sure your instruments are sharp. Working around a bulky bar with extra cement needs precision and a tiny instrument. If your instrument is dull, it is so difficult to be in control of your blade.
2. Use proper ultrasonic technique. When you ultrasonic this area, it’s tempting to start in the middle of the deposit that’s bulky and so satisfying to remove. However, to be the most effective with your time and with bacteria removal, you want to start the ultrasonic at the top/edge of the deposit and do a channeling technique.
3. For a few more, check out our video from Hygiene Edge.
The next time you have a patient with a permanent retainer, slow down just a bit to make sure you’re being effective and efficient.
What do you like to do around permanent retainers to aid in calculus removal?
Hygiene Edge was created by three dental hygiene educators who love both dentistry and education. With over 40 years of experience both in the education space and in the dental field, Melia Lewis, Jessica Atkinson, and Shelley Brown love sharing their knowledge through helpful, short videos online, speaking, and working with amazing companies. You can find more information at Hygiene Edge, on YouTube, and Instagram @hygieneedge. Have a question or a tricky area? Let us know! We'd love to help.
About the Author

Melia Lewis, MEd, RDH
Melia Lewis, MEd, RDH, is a dedicated clinical dental hygiene professional with a passion for advancing oral health education and patient care. She practices at Aspen Heights Dental in Highland, Utah, and is an adjunct professor at Colorado Northwestern Community College. She is cofounder of Hygiene Edge, an online education platform full of helpful tips to make dental professionals' lives easier, and she owns and operates Acuti Sharpening, a dental hygiene instrument sharpening company. Contact her at [email protected] or on Instagram @hygieneedge and @meliardh.

