Case #10
By Joen Iannucci Haring
A 30-year-old female visited a dentist for a routine checkup. During the oral examination, a blue discoloration was noted on the gingiva near tooth #22.
History
The patient was aware of the blue discoloration and stated that it had been present for at least several years. The patient described the area as asymptomatic. The patient reported no history of trauma to the area.
The patient's past medical history included no significant positive findings. The patient's past dental history included regular dental examinations and routine restorative treatment.
Examinations
The patient's vital signs were all found to be within normal limits. Examination of the head and neck region revealed no enlarged or palpable lymph nodes and no significant extraoral findings.
Intraoral examination revealed a solitary dark blue discoloration of the marginal gingiva facial to tooth #22 (see photo). The area appeared diffuse and measured approximately 5 mm by 4 mm in diameter. The bluish area would not blanch with pressure.Further oral examination revealed no other areas of the oral mucosa with a similar discoloration.
Clinical diagnosis
Based on the clinical information presented, which of the following is the most likely clinical diagnosis?
o ecchymosis
o varicosity
o amalgam tattoo
o intraoral nevus
o melanoma
Diagnosis
• amalgam tattoo
Discussion
The amalgam tattoo is a very common intraoral finding. A tattoo found in the oral cavity can be defined as a discoloration that results from the deposition of an exogenous pigment in mucosa. The amalgam tattoo, the most common intraoral tattoo, is caused by the accidental or traumatic implantation of amalgam in oral tissues. The amalgam tattoo is considered iatrogenic in nature.
Clinical features
The amalgam tattoo typically appears as a blue, black, or gray nonelevated discoloration with a diffuse or indistinct border. The diffuse border is believed to result from the affinity of the elastic fibers in blood vessels for the silver found in amalgam. The amalgam tattoo may range in size from very small to more than one centimeter in diameter, depending upon the amount of amalgam implanted in the oral tissues. The amalgam tattoo may appear as a solitary discoloration or in multiple areas. The amalgam tattoo does not blanch with pressure. Vascular abnormalities (varicosities, for example) may be confused with the amalgam tattoo; however, vascular abnormalities blanch when pressure is applied.
The amalgam tattoo results from the entrapment of amalgam in soft tissue or bone. The implantation of amalgam may occur during one of the following instances:
• In gingival tissues during the condensing of amalgam during placement of a restoration
• In lacerated mucosa during the removal of an old amalgam restoration
• In a tooth socket following extraction of a tooth with an amalgam restoration
• During an endodontic procedure requiring a retrograde amalgam filling
The amalgam tattoo is most often located adjacent to teeth with large amalgam restorations, or in edentulous areas where teeth with amalgam restorations previously existed. The gingiva in posterior areas is affected most frequently followed by the buccal mucosa and alveolar mucosa.
Other areas involved include the edentulous ridge, hard palate, and floor of the mouth. The amalgam tattoo is asymptomatic.
Diagnosis
The diagnosis of an amalgam tattoo is based on its suggestive clinical appearance along with radiographic confirmation.
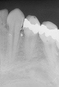
When an amalgam tattoo is suspected, a radiograph of the area should be exposed. The amalgam fragments, embedded in soft tissue or bone, should appear radiopaque on an exposed radiograph (see film).
In some cases, however, there is no radiographic evidence of the amalgam fragments. If no evidence of amalgam is seen on a dental radiograph, and the lesion cannot be diagnosed on a clinical basis, a biopsy should be performed in order to rule out melanocytic neoplasia.
When examined microscopically the amalgam tattoo exhibits amalgam particles aligned along the collagen fibers and around blood vessels in the submucosa.
Typically, no inflammatory cells are seen in response to the deposition of amalgam.
Treatment
The amalgam tattoo is a benign intraoral finding that does not require treatment. Patients should be reassured that there are no scientific studies that indicate that amalgam embedded in oral tissue poses a health hazard or necessitates surgical removal.
Joen Iannucci Haring, DDS, MS, is a professor of clinical dentistry, Section of Primary Care, The Ohio State University College of Dentistry.


