Air polishing deserves another visit
Advanced materials offer less restrictions and a better patient experience
By Deborah Mills, RDH
Figures 1, 2: A young orthodontic patient presents with a large amount of plaque accumulation around her brackets, as well as in the maxillary vestibule. Glycine powder is used to effectively and safely remove plaque and biofilm both on hard and soft tissue.
Fig 1
Fig 2
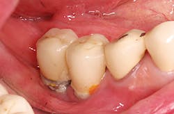
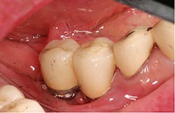
Figures 3, 4: Implant patient presents with a moderate amount of marginal plaque surrounding the titanium implant abutments. Clinpro Glycine Prophy Powder is used to gently remove all plaque accumulation without damaging or abrading the titanium or restorative material.
Fig 3
Fig 4
It might be a little known or little talked about fact, but air polishing is not what it used to be. Gone are the days of clunky systems that created an unnecessary mess, clogging easily and sending patients into full complaint mode about the salty taste and unpleasant overspray.
New systems and materials on the market mean that air polishing is now an accessible and pleasant option for more patients than ever before. I've been air polishing on a selective, but routine basis for over 20 years, and have seen first hand that modern air polishing helps make my practice more efficient, and is gentler and more comfortable for my patients.
Early Air Polishing
First introduced in the 1940s, air polishing has changed noticeably since its inception, thanks mainly to advances in materials science. Compared to polishing with a prophy cup and paste, air polishing eliminates the need for direct tooth contact or pressure against the tooth, along with any discomfort from potential heat generated with prophy cups. This technique also offers more efficient biofilm removal, easier access into pits and fissures, and a less abrasive nature than pumice or prophy pastes.1
Many hygienists and dentists will be most familiar with sodium bicarbonate powder, one of the first materials introduced for use with early air polishing systems. In my experience, sodium bicarbonate has been an excellent tool for heavy stain removal, but patients react poorly to the salty taste and abrasive feel. Sodium bicarbonate powders generally have a particle size up to 250 μm,2 and while damage to enamel has not been reported, researchers and manufacturers warn against prolonged use on cementum, dentin, and certain restorative materials such as composites.3
This means that a considerable number of patients are poor candidates for air polishing with sodium bicarbonate powder, including those with implants, restorative materials, sealants, or orthodontic appliances. Other patients contraindicated for treatment with sodium bicarbonate powder include patients on sodium-restricted diets, or those with renal diseases or hypertension.4
Advancements
Recent developments have brought new options to the market, including glycine, erythritol, calcium sodium phosphosilicate, calcium carbonate, and aluminum trihydroxide (to name a few). It's not necessary to review each in detail, but it's important that hygienists are generally educated on the many options now available for use.
In addition to being less restrictive when it comes to pre-existing patient conditions, two powders can now be used safely in subgingival air polishing: erythritol and glycine. Air polishing has traditionally been thought of as a technique for supragingival plaque and stain removal only; but these new options open the door for effective removal of subgingival plaque and biofilm, even in deep periodontal pockets.
Erythritol, while not currently available in the United States, is a sugar alcohol that has been shown to offer less discomfort, decreased treatment times, and reduced bleeding on probing when compared to scaling and root planing.5 Glycine is a naturally occurring amino acid that is water soluble, with a non-salty taste that patients often describe as a little bit sweet. This powder offers similar benefits to erythritol, and offers an option that's less abrasive with a particle size approximately four times smaller than sodium bicarbonate.6,7 This smaller particle size means that it's safe for all the same supragingival applications as sodium bicarbonate powders, but also offers the option to treat patients with periodontal infections, peri-implantitis, patients on a sodium-restricted diet, and those who have cosmetic or other restorative work.
An Option For Many Patients' Needs
Selective treatment with sodium bicarbonate air polishing has been a part of my hygiene routine for many years. During the last six months, though, I've had the opportunity to try a powder that's new to the U.S. market. Clinpro Glycine Prophy Powder (3M) has been used successfully abroad for many years, and is now available to American dentists and hygienists. With implants in particular, I find that this type of powder is much gentler and more comfortable for patients when compared to manual scaling. Studies have proved its gentleness as compared to sodium bicarbonate, showing less surface roughness created on the titanium surface of implants.8
When my patients have bridge work or pontics that are tight against the tissue, or bridge work with a great deal of recession or hard-to-access areas, I'm able to use the glycine powder to reach those difficult areas. While larger particle powders like sodium bicarbonate are contraindicated for root surface application and subgingival deposits, glycine powder is safe for use along the gingival margins and in deep subgingival pockets.
I've even found success using Clinpro Glycine Prophy Powder on soft tissue to break up plaque deposits. A study that compared the safety of glycine powder to sodium bicarbonate powder showed glycine to be 80% less abrasive on human root surfaces.9 Many air polishing units now offer specialized nozzles designed for subgingival insertion, adding to the efficacy of this technique.
My patients who are in orthodontic treatment generally have more frequent hygiene visits to remove the plaque that accumulates around the brackets. Because it's so gentle, glycine powder can be used on these patients as frequently as they need it, without causing damage or irritation. It also offers easy access to the nooks and crannies in and around their brackets and wires. Best of all, teenage patients don't complain about the taste or about the procedure in general; it's quick and easy to get them in and out of the chair.
Revisit Your Opinion on Air Polishing
As we all know, hygiene materials and techniques are always evolving. Take a look at any material or tool in your armamentarium, and chances are it has changed considerably since you began using it. Air polishing is no different, and this technique is begging for a second look. New powder materials like glycine offer the opportunity to treat a wider patient base, and to explore more effective ways to remove subgingival plaque and biofilm while providing gentle treatment that neither tastes nor feels unpleasant. RDH
Deborah Mills, RDH, brings 25 years experience to Dr. Gary Alex's cosmetic/prosthetic practice in Huntington N.Y. She holds a number of qualifications including an Invisalign certification, license to deliver local anesthesia, and has been a part of the 3M ESPE hygiene advisory panel. Mills lives in Huntington with her husband, two children, and values her healthy, active lifestyle.
References
- Barnes CM. An in-depth look at air-polishing. Dimensions of Dental Hygiene. 2010;8(3);32, 34-36, 40.
- Petersilka GJ. Subgingival air-polishing in the treatment of periodontal biofilm infections. J Clin Periodontol 2000. 2011;55(1):124-142
- Gutmann ME. Air polishing: a comprehensive review of the literature. J Dent Hyg. 1998;72(3):47-56.
- Barnes CM. An in-depth look at air-polishing. Dimensions of Dental Hygiene. 2010;8(3);32, 34-36, 40.
- Daubert D. Subgingival Air Polishing. Available at: http://www.dimensionsofdentalhygiene.com/2013/12_December/Features/Subgingival_Air_Polishing.aspx. Accessed March 16, 2016.
- Petersilka GJ. Subgingival air-polishing in the treatment of periodontal biofilm infections. J Clin Periodontol 2000. 2011;55(1):124-142
- Degrange M. Powder from sub- and supragingival plaque removal using power stream devices. 3M ESPE [Internet]. 2007 [cited 2016 March 10] available from: http://solutions.3m.com.br/3MContentRetrievalAPI/BlobServlet?lmd=1383134844000&locale=pt_BR&assetType=MMM_Image&assetId=1361748240761&blobAttribute=ImageFile
- Cochis A, Fini M, Carrassi A, Migliario M, Visai L, Rimondini L. Effect of air polishing with glycine powder on titanium abutment surfaces. Clin Oral Implants Res 00, 2012 1-6 doi: 101111/j.1600-0501. 2012. 02490.x.
- Petersilka GJ, Bell M, Haberlein I, Mehl A, Hickel R, Flemmig TF. In victo evaluation of novel low abrasive air polishing powders. J Clin Periodontol. 2003;30:9-13




