Orthodontic Referral Resource
This underutilized resource is called a dental hygienist
by Constance Schuster, RDH, BS
One of the underutilized skills of a dental hygienist is an orthodontic assessment and the potential referrals following them. Going back to the good old days of oral anatomy, we are reminded of occlusal classification. As a dental professional, it is not unusual to desire ideal occlusion. However, many of our patients are also on this same quest. It is our responsibility to help them achieve the goal of perfect dental esthetics and function.
For every appointment, patients open wide for treatment. But how many times do we ask them to bite down and record molar and canine classification, overbite, overjet, crossbite, and malocclusion? This data should be routinely recorded as baseline information for each and every patient, especially since the majority of patients desire teeth that are straighter and whiter.
The standard of care is to recommend a full-mouth series of digital images or radiographs in the form of either periapicals and bitewings - or a panorex and bitewings at a patient's initial visit - with a frequency of every three to five years. This regimen is extremely important when it comes to patients with mixed dentition. The American Dental Association recommends that a panorex should be taken after the eruption of the first permanent tooth. Typically, this occurs at approximately age six. The panorex helps to evaluate the patient for congenitally missing teeth, mesiodens, and supernumerary teeth. As the child matures and a new panorex is taken, the clinician then evaluates the patient for impacted or ankylosed teeth and the presence of third molars.
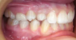
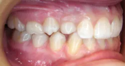
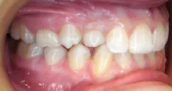
On occasion, a patient may present to the office with delayed eruption of the permanent canines. To evaluate for canine impaction, the clinician should digitally palpate the canine eminence. It should be palpable in the vestibule by ages nine to 11, although eruption of canines may be as late as 13 years old1 (see Figures 1, 2).
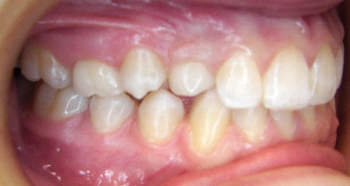
Typically, the canines are palpable one to 1.5 years prior to eruption.1,2 Palatally impacted canines occur twice as often in females with a high familial incidence.3 On occasion, maxillary canine impactions occur bilaterally, although unilateral impactions are more frequent4 (see Figure 3).
When occlusal classification is determined, the clinician must not only evaluate molar relationship, but it is a good idea to also record cuspid relationship. When evaluating the relationship of the molars, the key landmarks are the maxillary first molar's MB cusp and the mandibular first molar's buccal groove. In Class I occlusion, these landmarks line up. Class II relationships can be divided into divisions. The molar relationship would have the mandibular buccal groove distal to the maxillary MB cusp. The divisions are determined by either the protrusion of the maxillary incisors (Division 1), or the central incisors are tipped palatally toward the mandibular arch and the lateral incisors protrude labially (Division 2). A patient presenting a Class III occlusion would have the appearance of a prominent jaw with molar relationship of the mandibular buccal groove mesial to the maxillary MB cusp.
Overjet is a horizontal measurement between the mandibular central incisors and the maxillary central incisors, while overbite is the vertical measurement between the incisal edges of the central incisors. These measurements are quantitatively recorded as either a percentage or in millimeters. This can be confusing at times because some people think an overbite is a description of a person with "buck teeth."
If a patient presents with an anterior open bite, one must evaluate the patient for a soft tissue dysfunction. Interestingly, an additional muscle force of only 1.68 g above resting force is needed to move a tooth.5 Tongue thrusts, reverse swallowing, finger habits, lip strength, or weakness all contribute to the alignment of the teeth and increase the possibility for relapse after orthodontic treatment. Approximately 100 to 225 grams of force is exhibited from the tongue to anterior teeth during swallowing.6 Given these facts, if oral habits are not taken into consideration prior to orthodontic treatment, relapse is highly probable.
In the past, some orthodontists preferred to wait until all of the primary teeth were exfoliated. But today, many orthodontists start treatment earlier as either phased treatment or early intervention. It is important to understand the recommendations of the specialist where patients are referred. The American Association of Orthodontics recommends that all children have an orthodontic evaluation by age seven because the posterior occlusion is established with the eruption of the first molars, and the incisor eruption can signal problems with crowding and open/deep bites. Early intervention has many benefits, including improved esthetics and increased self-esteem, along with simplifying and shortening later treatment time for orthodontic correction.
Encountering people who are self-conscience of their appearance is not unusual. Many people are in search of perfection of their bodies through diet and exercise or even surgical means. It is said that the eyes are the windows to the soul. I believe the smile is the expression of a person's soul or light within each individual. But when it comes to someone's smile, it is difficult for a person to let their inner light show when they are afraid to smile or cover their mouth with their hand due to a severe overjet or malocclusion. As a dental professional, it is nice to know there is a solution that can make a world of difference to patients wanting orthodontic correction. It is up to the professional to educate the patient and make the recommendation.
Hygienists are a valuable asset to the practice and the patients under their care because of their ability to evaluate the need for an orthodontic consultation - not only for esthetic reasons, but also for functionality. Challenge yourself and pay attention to everyone you encounter, whether they are the grocery clerk, the gas attendant, or the waitress. Watch them smile. Is it natural or awkward because they are afraid to show it?
Our patients have these same fears and we sometimes forget about them because we are focusing on caries or their periodontal condition. We must observe their body language and ask patients if they are happy with their smiles. Sometimes we need to prompt patients into a conversation regarding orthodontic treatment. One of my favorite questions asked of patients from a great dentist I know is, "If you had a magic wand, is there anything you would change regarding your smile?" This question is a great way to open the conversation with your patients.
Author's note: A special thank you to Bubon, Bell & Associates, Waukesha, WI, for the use of the orthodontic photographs and panorex image.
Constance Schuster, RDH, BS, received her bachelor's of science in biomedical science from Marquette University. She is a past president of Wisconsin Dental Hygienists' Association. Her experience is in general dentistry, orthodontics, pedodontics, prosthodontics, and periodontics. Her passion for dentistry continues to grow by mentoring hygienists and networking with other dental professionals through the ADHA and involvement with CareerFusion.
References- Ericson S, Kurol J. Longitudinal study and analysis of clinical supervision of maxillary canine eruption. Community Dent Oral Epidemiol 1986; 14:172-6.
- Jacoby H. The etiology of maxillary canine impactions. Am J Orthod 1983; 84:125-32.
- Bishara SE. Impacted maxillary canines: a review. Am J Orthod Dentofacial Orthop 1992; 101:159-71.
- Peck S, Peck L, Kataja M. The palatally displaced canine as a dental anomaly of genetic origin. Angle Orthod 1994; 64:249-56.
- Wienstein S. Minimal Forces in Tooth Movement. American Journal of Orthodontics 1967; 53;881-903.
- Proffit W, McGlone R, Barrett M. Lip and Tongue Pressures Related to Dental Arch and Oral Cavity Size in Australian Aborigines. Journal of Dental Research 1975; 54;1161-1172.



