Submucous Fibrosis
Your patient is a 48-year-old male named Mr. Patel who is originally from Bangladesh.
Mr. Patel has been in the United States for approximately five years and works as a design engineer with a large company in your city. He has not had dental care during this five-year period and is seeking treatment for several complaints. Mr. Patel believes that his mouth is "becoming very tight and drawn" and describes a sense of discomfort when swallowing. He is also concerned about the appearance of his teeth since they are worn and discolored.
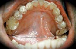
Mr. Patel drinks alcohol several times a week, smokes about half a pack of cigarettes daily, exercises periodically, and eats fast food on a regular basis. You begin the health history and note that Mr. Patel uses a nasal wash, and takes over-the-counter antacids on a regular basis. He tells you that he is slightly overweight and is trying to get into a healthy state. As you begin your intraoral examination, you notice some very noteworthy findings such as tooth wear and a strange white, striated pattern associated with the oral tissues. See Figure 1.
Diagnosis:Submucous fibrosis
Etiology:Multiple causes are documented for this premalignant condition. The prime cause of the condition is from a combination of products used by the person in the form of betel leaf (which is from the piper betel vine, a relative of the pepper family), tobacco, areca palm (the seed of the area palm), additional spice flavoring additives such as cinnamon, cloves, melon, cucumber seeds and sweets, and slaked lime paste (from chalk, coral, and sea shells). The ingredients are placed directly on a betel leaf and rolled tightly into what is termed a quid. The quid is chewed or held in the mouth for a period of time against the tissues, and in some instances, the patient may even sleep with the quid in place. Other contributors to the etiology of submucous fibrosis are nutritional factors such as vitamin deficiency and a genetic predisposition. The combination of these products and the potency will vary with each user. Individuals who are raised in certain areas of the world may also use betel and areca nut by chewing the product in addition to quid placement or as a separate habit. The way the products are used is determined by ritual as well as cultural practices. In India, catechu is a product that is derived from acacia pods and poor quality areca nuts that are often boiled or roasted in the sun. The mixture is considered especially astringent due to the high concentration of tannin. An added enhancer of the product is the lime preparation which acts to release an alkaloid from the areca nut, producing a feeling of euphoria and well-being. The combination of the products is referred to as pan. See Figure 2.
Epidemiology:High rates exist in populations of South Asian countries such as Bangladesh, India, Pakistan, Sri Lanka, and other populations where betel quid containing tobacco and areca nut are used. Diagnosis of this type of lesion is reported in some areas such as Taiwan, China, Nepal, Thailand, and Vietnam (Avon, 2004). Rarely, the condition is found in white individuals, especially in the United States, since these products are not routinely used and are not a part of the American culture. Estimates of 2.5 million individuals may be affected, but the true number is unknown since many users are never diagnosed. However, high rates of oral cancer are also exhibited in these locations of the world.
Perioral and intraoral characteristics: Oral submucous fibrosis produces constriction and stiffness of the oral mucosa and may extend into the oral pharynx. Trismus and difficulty in the ability to eat, speak, and swallow are common complaints as the damage to the tissue progresses. Arecoline, a substance found in betel nuts, stimulates the production of collagen by fibroblasts, producing a pale, marblelike appearance in the tissues. Other substances cause the collagen fibers to cross-link, enhancing their strength and inhibiting the body's attempts to break them down. The oral tissue has a leatherlike appearance and consistency. The bands of tissue produce a rippled texture when palpated due to the fibrosis and banding of the tissue structure. See Figure 1.
Distinguishing characteristics:Submucous fibrosis appears to be striated, white, and marblelike with the textured appearance described above. Depending upon the additives and the length of time the substances have been used by the patient, the following may also be observed:
• In the early stage of submucous fibrosis, pigmented areas may be present and the tissue may even appear similar to lichen planus with a weblike appearance. This is termed a betel-quid lichenoid reaction that is usually found in younger individuals and is a response to tobacco products in the quid. In the early stage, petechia and increased melanin production may be noted. See Figure 3. Submucous fibrosis may also be preceded by vesicles in the early stages.
• The tissue may return to normal in the early stage when the product is discontinued. Unlike the premalignant condition of submucous fibrosis, the lesion may be reversed at this stage.
• The second stage of development of submucous fibrosis is characterized by stiff, fibrous bands of tissue that have a white marblelike appearance. See Figure 4. At this stage, there is noted difficulty in the pliability of the tissue and constriction in opening the mouth.
• In the third stage of submucous fibrosis, noted premalignant leukoplakia lesions are evident and frank carcinoma is a concern.
• Wearing of the teeth may be present, especially if the patient is chewing certain products such as betel and areca nut. Deep staining of the teeth may also be noted due to the pigments from these products.
• Periodontal involvement may be present depending upon the products and additives that are part of the patient's usual ritual (Akhter, 2008).
Significant microscopic features:Early stages show edema, large fibroblast, and inflammatory infiltrates. More advanced stages show dense bundles of collagen, decreased vascularity, and no edema (Wright, 2007).
Dental implications:The premalignant nature of submucous fibrosis is a significant concern and careful monitoring of the condition is crucial. Recent reports suggest that betel quid additives might significantly enhance periodontitis in a group of Bangladeshi subjects. Akhter, et al. 2008, studied 864 subjects and found that higher frequency and longer duration of betel quid use showed a significant relation to an increase in periodontal parameters. Akhter, et al. 2008, cite a possible cause for this may be the cholinergic effect of betel quid together with calcium salt in the saliva, causing a heavy deposit of calculus, destroying gingival tissues and periodontal attachment.
Differential diagnosis:Considerations should be the following:
- Lichen planus
- Schleroderma
- As with any leukoplakia and tissue change, ruling out squamous cell carcinoma is crucial.
Treatment and prognosis:The tissue changes are reversible in early changes of the tissue, but not in more advanced cases. As more individuals are seen in the United States from other countries and cultures, the dental practitioner is very likely to treat a patient with oral submucous fibrosis, and to witness the effects of quid use. Many individuals from cultures where quid chewing and the use of the betel products is accepted develop lifelong habits of use that are very difficult to change. The use of betel quid and tobacco products are culturally reinforced by the ethnic community of many Asian populations here in the United States, especially the first generation immigrants. The products themselves produce a euphoric sense of well-being that is an added restraint in trying to discontinue the use of products. Additionally, there is a sense of community, cultural practice, and encouragement in the use of the products by other members. Children are introduced to the use early in life and parents may be opposed to stopping the practice. A clear indication of what is occurring in the tissue and the long-term effects of continued use should be conveyed to the patient or parent by the practitioner. However, just telling the individual that a habit is bad for him or her does not usually succeed in the termination of the detrimental habit (Charlton, et al., 1995). The practitioner must be well-versed in the use of these products in order to provide counsel to the patient. In the case presented, the patient is also using alcohol and smoking cigarettes as well. This is an added risk factor for oral cancer as is his diet since the nutritional factor is a risk factor alone. A biopsy may be needed to determine the lesion's origin and to rule out frank SCC depending upon the stage of development and individual tissue changes. Blood profiles are needed to evaluate any deficiency or systemic problems. The assistance of a nutritionist and physician is also needed if the patient is agreeable. Discontinuing the practice is the optimal goal, and continued monitoring with regular professional cleanings are crucial for monitoring of the tissue and the assessment of periodontal disease. One key suggestion is to have the patient rinse thoroughly after using any of the above-mentioned products to lessen the effects until he or she can stop using the ingredients altogether.
The prognosis depends upon the stage of tissue damage. Surgery is sometimes indicated to release the bands of tissue and lessen the constriction. In the case of malignant lesions, the patient would be treated by an oral surgeon or ENT physician.
About the Author
Nancy Burkhart, RDH, EdD, is an adjunct associate professor in the Department of Periodontics at Baylor College of Dentistry and Texas A & M Health Science Center in Dallas. Nancy is also a cohost of the International Oral Lichen Planus Support Group through Baylor (www.bcd.tamhsc.edu/lichen). She is the coauthor of General and Oral Pathology for the Dental Hygienist, published by Lippincott Williams & Wilkins in Baltimore, which was released in October 2007. She can be contacted at [email protected].
References
Avon SL. Oral mucosal lesions associated with the use of quid. J Can Dent Assoc. 2004; 70(4):244-8.
Akhter R, Monsur Hassan N W, Aida J, Takinami S, Morita M. Relationship between betel quid additives and established periodontitis among Bangladeshi subjects. J Clin Periodontol 2008; 35:9-15.
Charlton A. Health promotion strategies in relation to betel-quid and oral health. Centre for Transcultural Oral Health Betel-Quid and tobacco chewing among the Bangladeshi community in the United Kingdom, Editors: Bedi R, Jones P. 1995; 1-10.
Wright J. White lesions from DeLong L and Burkhart N. General and Oral Pathology for the Dental Hygienist. Lippincott, Williams & Wilkins. Baltimore, Md., 2007.




