Pediatric oral care: Assisting parents and children
Nancy W. Burkhart, EdD, BSDH, AFAAOM
Many oral diseases, such as dental caries, are public health concerns that are preventable. Dental professionals can facilitate prevention of these diseases in children by presenting home care education, encouraging skill development, and fostering self-efficacy techniques. Additionally, by assisting parents in developing values of total health for their children, long-term health goals can be achieved.
© Kiriill Ryzhov | Dreamstime.com
Oral care is vital to the well-being of children, both in the short term and for their entire lives. This includes brushing, flossing, and acquiring key knowledge related to nutrition. Dental hygienists, in particular, are vital to promoting a total health concept and assisting parents in teaching the best oral health practices for their children.
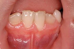
Figures 1 and 2 are examples of potential damage by children. In Figure 1, the damage is related to pressure applied by a power toothbrush over time to a specific area of the mouth. Very young children are sometimes given toothbrushes and allowed to “play” with them, potentially keeping brushes in their mouths for long periods of time. For example, power toothbrushes are sometimes given to children while they watch television shows. Children may hold power toothbrushs in one area or on one tooth for an extended period of time, such as is seen in Figure 2.
Figure 1: A child was allowed to “play” with a manual toothbrush throughout the day. Note the recession and the tissue trauma on all anterior teeth.
Introducing children to toothbrushes in this way, as well as the effects of doing so, is controversial. Retrospective studies report unclear and debatable findings regarding prior studies on toothbrush damage.1 For practicing clinicians, making diagnoses and identifying etiology when damage is noted can be difficult without careful questioning of the parent. For example, a child who is applying more pressure to the gingival area with a toothbrush may induce trauma and abrasion that can lead to recession.2
Educating parents on toothbrushing techniques is critically important, as parents should be supervising children during this activity. Moreover, parents should be providing specific instructions to children regarding toothbrushing. Monitoring children is especially important when they are using power toothbrushes, and even more so with very young children, who have undeveloped motor skills. For these reasons and others, dental professionals should always provide basic instructions in the use of toothbrushes during dental appointments. When it is determined that children are using any type of toothbrush—powered or manual—reinforcement at each visit is a key factor for continued and proper oral care.
Figure 2: An 11-year-old boy frequently used an electric toothbrush while watching television or reading. He was right-handed and comfortably left the brush in place on No. 24. He would forget to move the brush, leaving the head in rotation. This resulted in recession.
The variety and scope of toothbrush choices for very young children has increased over the years. For example, children’s favorite characters are being placed on the handles of brushes, and advertisements in stores promote their use. If children’s friends use electric toothbrushes, they will want to as well.
Recent meta-analysis research examined oral health education and promotion intervention (OHEPI) programs.3 A research team that evaluated subjects following a three-month period concluded that these programs are effective, and oral health behaviors related to brushing and flossing were improved.
Figure 3: Toy hands are sometimes used to demonstrate the wrapping of floss around the fingers. (Photo courtesy of Carol Perkins)
Studies have published data on the use of waiting room time to educate caregivers about children’s oral care.4 For example, the University of British Columbia Children’s Dental Program provided free dental treatments to underserved and low income children with a goal of enhancing its preventive program. Through a PowerPoint presentation, structured interviews and oral health information were presented to caregivers. Follow-up results were positive.
Daly et al. looked at a group of 1,323 parent-infant pairs enrolled in several university studies to determine how well parents did in taking care of infants’ teeth and tissues.5 In the study, 861 parents (65%) did better jobs in taking care of an infants’ medical needs in comparison to infants’ oral needs. Those who perceived that they provided excellent care also brushed infants’ teeth daily, used toothpaste daily, and cleaned inside infants’ mouths. They also did not give infants anything other than water prior to bedtime, thereby decreasing caries rates.
A recent study of a dental school’s patient population by Mattos-Silveira et al. suggested that 36 children and 59 adolescents lacked oral care motivation and had manual skill deficiencies related to oral care.6 Other research by Gholami et al. examined the effects of intervening in flossing behavior among 166 girls aged 11–15 years.7 The intervention group was given theory-guided materials on oral hygiene. They were then assessed four weeks later. The researchers concluded that intention information and self-efficacy played an instrumental role in the mechanisms that facilitated dental flossing frequency in adolescent girls.
These two studies appear to indicate that a lack of motivation, perceived benefits of improved oral care, and poor skills may play large roles in the lack of flossing in children and adolescents. Developing skills through demonstration and enhancing self-efficacy may improve flossing techniques and encourage regular use of floss.
Taken altogether, these studies reinforce the need for more education of parents in their children’s oral care needs. Hygienists are in a prime position to address some of the educational needs. Offices such as the University of British Columbia Children’s Dental Program that provide treatments to underserved, low income patients have reported ways that even waiting room time can be used effectively for educating children and parents.
Dental hygienists’ role in teaching flossing
Carol Perkins, BA, AS, RDH, suggests the following tips for teaching flossing to children.
Use show-and-tell techniques for children
Explanation of flossing should meet children’s’ intelligence and hand-eye performance. Consider the following techniques for each individual child:
• Use proper phrases for the developmental ability of the child.
• To demonstrate, use a picture or puppet gloves with an open mouth, as shown in Figure 3.
• A patient with special needs should be approached in a way that meets his or her specific level of understanding and ability. For example, a patient with autism will take everything that is said literally. He or she will interpret comments as stated.
• Floss holders for younger children may be appropriate. With a very young child, gauze or baby soft toothbrush may be used to wipe teeth. Choose the proper style of floss holder—long handle or short handle. The use of disclosing solution makes plaque more visible for the child. Consider brushing after flossing rather than before.
• To teach flossing, wrap floss on the child’s middle fingers. Place the child’s hands in his or her mouth.
• Have the child wash his or her hands after touching the mouth. Ask the child to rinse after brushing and flossing.
• To increase flossing behavior, reward a child with words like “well done” or “good job.” Give a sticker as a reinforcement-based teaching method at home or in the office.
• Bands and orthodontic wires need proper floss threaders. Some products have the floss already attached to the stiff threader and make this a simple job for a child.
• Keep in mind that infants’ teeth are widely spaced and teeth are not touching. It is more appropriate to scrape with floss in a downward motion. In appropriate cases, demonstrate to a parent the use of a gauze or a very soft brush.
Goals of education
• Lower caries and decay rates
• Understand children’s behavior and individualize for each patient’s needs
• Create positive dental experiences for children that will result in better lifelong outcomes
Refrain from the following
• Do not snap floss between two teeth. Floss must press against a tooth. It is moved up and down two or three times on the distal of one tooth and the mesial of another tooth. Gently lift the floss up using the fingers and over the papillae. Move up and down four times on the adjacent tooth. Demonstrate by having childen hold a mirror and parents watch your technique. Disclosing solution used prior to demonstration will allow more visibility of removal.
• Do not saw back and forth once the dental floss is against a tooth. It should hug the tooth and not cut the tissue.
• Do not use the dental floss in a slanted direction. This will slice the tissue.
Figure 4: Carol Perkins, RDH, made this clock to promote flossing for pediatric patients in the office. (Photo courtesy Carol Perkins)
Toothpaste
Depending upon the age of the child, the selection of toothpaste will vary, with many choices for the parent. Toothpaste designed for very young children will have fewer ingredients and flavoring agents. Children usually have fewer reactions to these specialized toothpastes. A key factor is to let children and parents know that rinsing after using toothpaste is needed. Some children will use toothpaste and fail to rinse residue from the mouth, which can cause oral or lip reactions to the agents that resemble chapping or lip sucking. As children get older, they may prefer flavored toothpaste, with taste being a promoter to more frequent brushing. Fluoride content is also important in caries reduction, especially when poor nutrition exists.
Author’snote: Thank you to Carol Perkins, BA, AS, RDH, for her advice on teaching flossing to children in her practice. Perkins designed the featured puppet (figure 3) and clock (figure 4) for flossing. She makes dental visits fun for children and teaches children and parents home care during visits.
References
1. Rajapakse PS, McCracken GI, Gwynett E, Steen ND, Guentsch A, Heasman PA. Does tooth brushing influence the development and progression of non-inflammatory gingival recession? A systematic review. J Clin Periodontol. 2007;34(12):1046-1061.
2. Addy M, Hunter ML. Can tooth brushing damage your health? Effects on oral and dental tissues. Int Dent J. 2003:53(31);177-186.
3. Ghaffari M, Rakhshanderou S, Ramezankhani A, Noroozi M, Armoon B. Oral health education and promotion programmes: Meta-analysis of 17-year Intervention. Int J Dent Hyg. 2018;16(1):59-67. https://doi:10.111/idh.12304.
4. Soussou R, Aleksejuniene J, Harrison R. Waiting room time: An opportunity for parental oral health education. Can J Public Health. 2017;108(3):e251-e256. http://dx.doi:10.17269/cjph.108.5984.
5. Daly JM, Levy SM, Xu Y, Jackson RD, Eckert GJ, Levy BT, Fontana M. Factors associated with parents’ perceptions of their infants’ oral health care. J Prim Care Community Health. 2016;7(3):180-187. https://doi:10.1177/2150131.
6. Mattos-Silveira J, Matos-Lima BB, Oliveira TA, et al. Why do children and adolescents neglect dental flossing? Eur Arch Paediatr Dent. 2017;18(1):45-50. https://Doi:10.1007/s40368-016-0266-4.
7. Gholami M, Knoll N, Schwarzer R. A brief self-regulatory intervention increases dental flossing in adolescent girls. Int J Behav Med. 2015;22(5):645-51. https://doi:10.1007/s12529-014-9459-6.
Further reading
• Best Ways to Improve Fine Motor Skills. Very Well Family website. https://www.verywellfamily.com/what-are-fine-motor-skills-2162037. Updated October 31, 2018.
• What Are Fine Motor Skills in Children? Development, Definition & Examples. Video & Lesson Transcript. Study.com website. https://study.com/academy/lesson/what-are-fine-motor-skills-in-children-development-definition-examples.html.
• Management of children with autism spectrum disorder in the dental setting: Concerns, behavioral approaches and recommendations. https://www.ncbi.nlm.nih.gov/pmc/articles/PMC3854078/.
Nancy W. Burkhart, EdD, BSDH, AFAAOM, is an adjunct associate professor in the Department of Periodontics-
Stomatology, College of Dentistry, Texas A&M University, Dallas, Texas. Dr. Burkhart is founder and cohost of the International Oral Lichen Planus Support Group (dentistry.tamhsc.edu/olp/) and coauthor of General and Oral Pathology for the Dental Hygienist, now in its third edition. Dr. Burkhart was awarded an affiliate fellow status in the American Academy of Oral Medicine in 2016. She was awarded the Dental Professional of the Year in 2017 through the International Pemphigus and Pemphigoid Foundation and is a 2017 Sunstar/RDH Award of Distinction recipient. She can be be contacted at [email protected].
About the Author
Nancy W. Burkhart, EdD, MEd, BSDH, AAFAAOM
NANCY W. BURKHART, EdD, MEd, BSDH, AAFAAOM, is an adjunct professor in the Department of Periodontics-Stomatology, College of Dentistry, Texas A&M University, Dallas, Texas. She is founder and cohost of the International Oral Lichen Planus Support Group (dentistry.tamhsc.edu/olp/) and coauthor of General and Oral Pathology for the Dental Hygienist, now in its third edition. Dr. Burkhart is an academic affiliate fellow with the American Academy of Oral Medicine, where she also serves as chair of the Affiliate Fellowship Program Committee. She was awarded the Dental Professional of the Year in 2017 through the International Pemphigus and Pemphigoid Foundation, and she is a 2017 Sunstar/RDH Award of Distinction recipient. Her professional interests are in the areas of oral medicine and the relationship between oral and whole-body health, with a focus on mucosal disease and early oral cancer detection. Contact her at [email protected].






